FXYD1 Polyclonal Antibody | anti-FXYD1 antibody
Anti-FXYD1 Antibody
IHC (Immunohistochemistry)
(Anti- FXYZ1 Picoband antibody, AAA46254, IHC(P)IHC(P): Human Prostatic Cancer Tissue)
IHC (Immunohistochemisry)
(Anti- FXYZ1 Picoband antibody, AAA46254, IHC(P)IHC(P): Rat Cardiac Muscle Tissue)
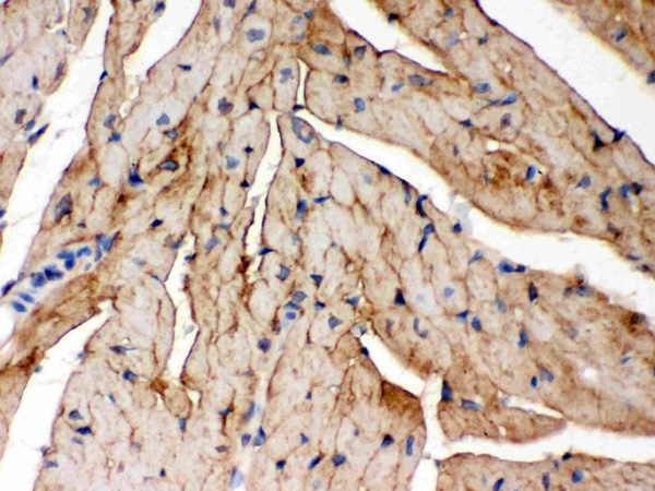
IHC (Immunohiostchemistry)
(Anti- FXYZ1 Picoband antibody, AAA46254, IHC(P)IHC(P): Mouse Cardiac Muscle Tissue)
WB (Western Blot)
(Anti- FXYZ1 Picoband antibody, AAA46254, Western blottingAll lanes: Anti FXYZ1 (AAA46254) at 0.5ug/mlLane 1: Rat Liver Tissue Lysate at 50ugLane 2: Rat Cardiac Muscle Tissue Lysate at 50ugLane 3: Mouse Cardiac Muscle Tissue Lysate at 50ugLane 4: HEPG2 Whole Cell Lysate at 40ugLane 5: HELA Whole Cell Lysate at 40ugPredicted bind size: 10KDObserved bind size: 10KD)
Background: Phospholemman is a protein that in humans is encoded by the FXYD1 gene. This gene encodes a member of a family of small membrane proteins that share a 35-amino acid signature sequence domain, beginning with the sequence PFXYD and containing 7 invariant and 6 highly conserved amino acids. The approved human gene nomenclature for the family is FXYD-domain containing ion transport regulator. FXYD1 (phospholemman), FXYD2 (gamma), FXYD3 (MAT-8), FXYD4 (CHIF), and FXYD5 (RIC) have been shown to induce channel activity in experimental expression systems. Transmembrane topology has been established for two family members (FXYD1 and FXYD2), with the N-terminus extracellular and the C-terminus on the cytoplasmic side of the membrane. The protein encoded by this gene is a plasma membrane substrate for several kinases, including protein kinase A, protein kinase C, NIMA kinase, and myotonic dystrophy kinase. Transcript variants with different 5' UTR sequences have been described in the literature.
NCBI and Uniprot Product Information
Customer Reviews
Loading reviews...
Share Your Experience
Similar Products
Product Notes
The FXYD1 fxyd1 (Catalog #AAA46254) is an Antibody and is intended for research purposes only. The product is available for immediate purchase. The Anti-FXYD1 Antibody reacts with Human, Mouse, Rat and may cross-react with other species as described in the data sheet. AAA Biotech's FXYD1 can be used in a range of immunoassay formats including, but not limited to, IHC (Immunohistochemistry), WB (Western Blot). Researchers should empirically determine the suitability of the FXYD1 fxyd1 for an application not listed in the data sheet. Researchers commonly develop new applications and it is an integral, important part of the investigative research process. It is sometimes possible for the material contained within the vial of "FXYD1, Polyclonal Antibody" to become dispersed throughout the inside of the vial, particularly around the seal of said vial, during shipment and storage. We always suggest centrifuging these vials to consolidate all of the liquid away from the lid and to the bottom of the vial prior to opening. Please be advised that certain products may require dry ice for shipping and that, if this is the case, an additional dry ice fee may also be required.Precautions
All products in the AAA Biotech catalog are strictly for research-use only, and are absolutely not suitable for use in any sort of medical, therapeutic, prophylactic, in-vivo, or diagnostic capacity. By purchasing a product from AAA Biotech, you are explicitly certifying that said products will be properly tested and used in line with industry standard. AAA Biotech and its authorized distribution partners reserve the right to refuse to fulfill any order if we have any indication that a purchaser may be intending to use a product outside of our accepted criteria.Disclaimer
Though we do strive to guarantee the information represented in this datasheet, AAA Biotech cannot be held responsible for any oversights or imprecisions. AAA Biotech reserves the right to adjust any aspect of this datasheet at any time and without notice. It is the responsibility of the customer to inform AAA Biotech of any product performance issues observed or experienced within 30 days of receipt of said product. To see additional details on this or any of our other policies, please see our Terms & Conditions page.Item has been added to Shopping Cart
If you are ready to order, navigate to Shopping Cart and get ready to checkout.
