Rabbit GAB2 Polyclonal Antibody | anti-GAB2 antibody
GAB2 Antibody
Phosphate buffered saline, pH 7.4, 150mM NaCl, 0.02% sodium azide and 50% glycerol.
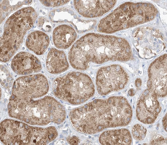
IHC (Immunohiostchemistry)
(AAA320760 at 1/100 staining human kidney tissue sections by IHC-P. The tissue was formaldehyde fixed and a heat mediated antigen retrieval step in citrate buffer was performed. The tissue was then blocked and incubated with the antibody for 1.5 hours at 22 degree C. An HRP conjugated goat anti-rabbit antibody was used as the secondary.)
WB (Western Blot)
(Western blot analysis on HT29 cell lysate using Gab2 Antibody, The lane on the left is treated with the antigen-specific peptide.)
Function: Adapter protein which acts downstream of several membrane receptors including cytokine, antigen, hormone, cell matrix and growth factor receptors to regulate multiple signaling pathways. Regulates osteoclast differentiation mediating the TNFRSF11A/RANK signaling. In allergic response, it plays a role in mast cells activation and degranulation through PI-3-kinase regulation. Also involved in the regulation of cell proliferation and hematopoiesis.
Subunit Structure: Interacts with SHC1; may mediate interaction with receptors (By similarity). Interacts with SYK (By similarity). Interacts with PI-3 kinase. Interacts with GRB2 (via SH3 2 domain). Interacts (phosphorylated) with PTPN11. Interacts with TNFRSF11A (via cytoplasmic domain). Interacts (phosphorylated) with 14-3-3 family proteins SFN, YWHAB, YWHAE, YWHAG, YWHAH, YWHAQ and YWHAZ; prevents interaction with GRB2 and attenuates GAB2 signaling. Interacts with HCK.
Post-translational Modifications: Phosphorylated on tyrosine residue(s) by the thrombopoietin receptor (TPOR), stem cell factor receptor (SCFR), and T-cell and B-cell antigen receptors, gp130, IL-2R and IL-3R (By similarity). Phosphorylated upon stimulation of TNFRSF11A/RANK by TNFSF11/RANKL (By similarity). Phosphorylated upon EGF stimulation. Phosphorylated on tyrosine residues by HCK upon IL6 signaling. Dephosphorylated by PTPN11.
Similarity: The SH3-binding motifs mediate interaction with SHC1 and GRB2.The PH domain mediates phosphatidylinositol 3, 4, 5-trisphosphate and phosphatidylinositol 3, 4-bisphosphate binding. Belongs to the GAB family.
NCBI and Uniprot Product Information
Predicted: 75 kDa
Customer Reviews
Loading reviews...
Share Your Experience
Similar Products
Product Notes
The GAB2 gab2 (Catalog #AAA320760) is an Antibody produced from Rabbit and is intended for research purposes only. The product is available for immediate purchase. The GAB2 Antibody reacts with Human, Mouse, Rat and may cross-react with other species as described in the data sheet. AAA Biotech's GAB2 can be used in a range of immunoassay formats including, but not limited to, ELISA, IHC (Immunohistochemistry), WB (Western Blot). Researchers should empirically determine the suitability of the GAB2 gab2 for an application not listed in the data sheet. Researchers commonly develop new applications and it is an integral, important part of the investigative research process. It is sometimes possible for the material contained within the vial of "GAB2, Polyclonal Antibody" to become dispersed throughout the inside of the vial, particularly around the seal of said vial, during shipment and storage. We always suggest centrifuging these vials to consolidate all of the liquid away from the lid and to the bottom of the vial prior to opening. Please be advised that certain products may require dry ice for shipping and that, if this is the case, an additional dry ice fee may also be required.Precautions
All products in the AAA Biotech catalog are strictly for research-use only, and are absolutely not suitable for use in any sort of medical, therapeutic, prophylactic, in-vivo, or diagnostic capacity. By purchasing a product from AAA Biotech, you are explicitly certifying that said products will be properly tested and used in line with industry standard. AAA Biotech and its authorized distribution partners reserve the right to refuse to fulfill any order if we have any indication that a purchaser may be intending to use a product outside of our accepted criteria.Disclaimer
Though we do strive to guarantee the information represented in this datasheet, AAA Biotech cannot be held responsible for any oversights or imprecisions. AAA Biotech reserves the right to adjust any aspect of this datasheet at any time and without notice. It is the responsibility of the customer to inform AAA Biotech of any product performance issues observed or experienced within 30 days of receipt of said product. To see additional details on this or any of our other policies, please see our Terms & Conditions page.Item has been added to Shopping Cart
If you are ready to order, navigate to Shopping Cart and get ready to checkout.
