Rabbit GABARAP Polyclonal Antibody | anti-GABARAP antibody
GABARAP Antibody
Phosphate buffered saline, pH 7.4, 150mM NaCl, 0.02% sodium azide and 50% glycerol.
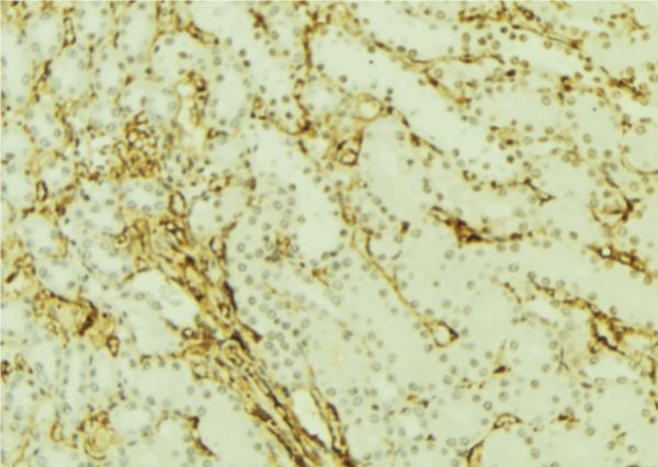
IHC (Immunohiostchemistry)
(AAA327118 at 1/100 staining Mouse kidney tissue by IHC-P. The sample was formaldehyde fixed and a heat mediated antigen retrieval step in citrate buffer was performed. The sample was then blocked and incubated with the antibody for 1.5 hours at 22 degree C. An HRP conjugated goat anti-rabbit antibody was used as the secondary.)
WB (Western Blot)
(Western blot analysis of HEK293 cell lysate, using GABARAP Antibody. The lane on the left is treated with the antigen-specific peptide.)
Function: Ubiquitin-like modifier that plays a role in intracellular transport of GABA(A) receptors and its interaction with the cytoskeleton. Involved in apoptosis. Involved in autophagy. Whereas LC3s are involved in elongation of the phagophore membrane, the GABARAP/GATE-16 subfamily is essential for a later stage in autophagosome maturation.
Subunit Structure: Interacts with GPHN and NSF (By similarity). Interacts with ATG3, ATG7, ATG13 (PubMed:11096062, PubMed:11825910, PubMed:12507496, PubMed:23043107). Interacts with alpha-and beta-tubulin (PubMed:9892355, PubMed:11729197). Interacts with GABRG2 (PubMed:9892355, PubMed:11729197). Interacts with RB1CC1 (PubMed:23043107). Interacts with ULK1 (PubMed:11146101, PubMed:23043107). Interacts with CALR (PubMed:19154346). Interacts with DDX47 (PubMed:15977068). Interacts with TP53INP1 and TP53INP2 (PubMed:19056683, PubMed:22421968, PubMed:22470510). Interacts with TBC1D5 and TBC1D25 (PubMed:21383079, PubMed:22354992). Directly interacts with SQSTM1 (PubMed:17580304, PubMed:24668264). Interacts with MAPK15 (PubMed:22948227). Interacts with TECPR2 (PubMed:20562859). Interacts with PCM1 (PubMed:24089205). Interacts with TRIM5 and TRIM21 (PubMed:25127057, PubMed:26347139). Interacts with MEFV (PubMed:26347139). Interacts with KIF21B (By similarity). Interacts with WDFY3; this interaction is required for WDFY3 recruitment to MAP1LC3B-positive p62/SQSTM1 bodies (PubMed:24668264).
Post-translational Modifications: The precursor molecule is cleaved by ATG4B to form the cytosolic form, GABARAP-I. This is activated by APG7L/ATG7, transferred to ATG3 and conjugated to phospholipid to form the membrane-bound form, GABARAP-II.
Similarity: Belongs to the ATG8 family.
NCBI and Uniprot Product Information
Predicted: 14 kDa
Customer Reviews
Loading reviews...
Share Your Experience
Similar Products
Product Notes
The GABARAP gabarap (Catalog #AAA327118) is an Antibody produced from Rabbit and is intended for research purposes only. The product is available for immediate purchase. The GABARAP Antibody reacts with Human, Mouse, Rat and may cross-react with other species as described in the data sheet. AAA Biotech's GABARAP can be used in a range of immunoassay formats including, but not limited to, ELISA, IHC (Immunohistochemistry), WB (Western Blot). Researchers should empirically determine the suitability of the GABARAP gabarap for an application not listed in the data sheet. Researchers commonly develop new applications and it is an integral, important part of the investigative research process. It is sometimes possible for the material contained within the vial of "GABARAP, Polyclonal Antibody" to become dispersed throughout the inside of the vial, particularly around the seal of said vial, during shipment and storage. We always suggest centrifuging these vials to consolidate all of the liquid away from the lid and to the bottom of the vial prior to opening. Please be advised that certain products may require dry ice for shipping and that, if this is the case, an additional dry ice fee may also be required.Precautions
All products in the AAA Biotech catalog are strictly for research-use only, and are absolutely not suitable for use in any sort of medical, therapeutic, prophylactic, in-vivo, or diagnostic capacity. By purchasing a product from AAA Biotech, you are explicitly certifying that said products will be properly tested and used in line with industry standard. AAA Biotech and its authorized distribution partners reserve the right to refuse to fulfill any order if we have any indication that a purchaser may be intending to use a product outside of our accepted criteria.Disclaimer
Though we do strive to guarantee the information represented in this datasheet, AAA Biotech cannot be held responsible for any oversights or imprecisions. AAA Biotech reserves the right to adjust any aspect of this datasheet at any time and without notice. It is the responsibility of the customer to inform AAA Biotech of any product performance issues observed or experienced within 30 days of receipt of said product. To see additional details on this or any of our other policies, please see our Terms & Conditions page.Item has been added to Shopping Cart
If you are ready to order, navigate to Shopping Cart and get ready to checkout.
