Rabbit GAD2 Polyclonal Antibody | anti-GAD2 antibody
GAD2 Polyclonal Antibody
Gene Names
GAD2; GAD65
Reactivity
Human, Mouse, Rat
Applications
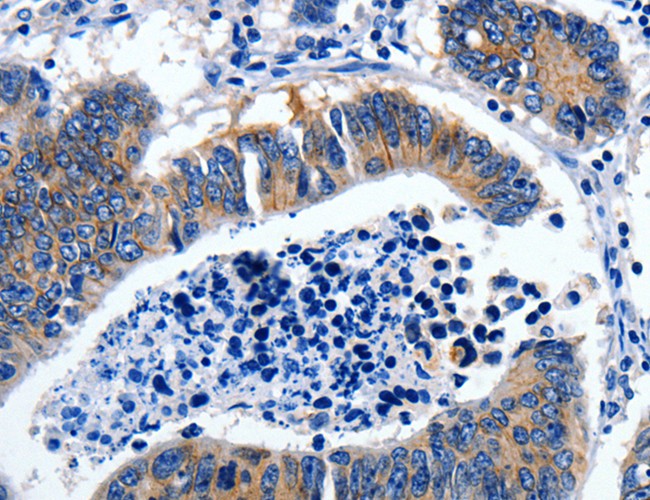
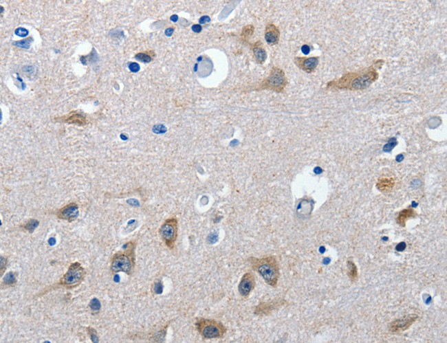
Immunohistochemistry, ELISA
Purity
Antigen affinity purification
Synonyms
GAD2, Antibody; GAD2 Polyclonal Antibody; GAD65; anti-GAD2 antibody
Host
Rabbit
Reactivity
Human, Mouse, Rat
Clonality
Polyclonal
Isotype
IgG
Purity/Purification
Antigen affinity purification
Concentration
1.7mg/mL (varies by lot)
Sequence Length
585
Applicable Applications for anti-GAD2 antibody
IHC (Immunohistochemistry), ELISA
Immunogen
Synthetic peptide of human GAD2
Buffer
PBS with 0.05% sodium azide, 50% glycerol, pH7.3
Preparation and Storage
Store at -20 degree C (regular) and -80 degree C (long term). Avoid freeze / thaw cycles.
Related Product Information for anti-GAD2 antibody
This gene encodes one of several forms of glutamic acid decarboxylase, identified as a major autoantigen in insulin-dependent diabetes. The enzyme encoded is responsible for catalyzing the production of gamma-aminobutyric acid from L-glutamic acid. A pathogenic role for this enzyme has been identified in the human pancreas since it has been identified as an autoantibody and an autoreactive T cell target in insulin-dependent diabetes. This gene may also play a role in the stiff man syndrome. Alternative splicing results in multiple transcript variants that encode the same protein.
Product Categories/Family for anti-GAD2 antibody
NCBI and Uniprot Product Information
NCBI GI #
NCBI GeneID
NCBI Accession #
NCBI GenBank Nucleotide #
Molecular Weight
65,411 Da
NCBI Official Full Name
glutamate decarboxylase 2
NCBI Official Synonym Full Names
glutamate decarboxylase 2 (pancreatic islets and brain, 65kDa)
NCBI Official Symbol
GAD2
NCBI Official Synonym Symbols
GAD65
NCBI Protein Information
glutamate decarboxylase 2; 65 kDa glutamic acid decarboxylase; GAD-65; Glutamate decarboxylase-2 (pancreas); glutamate decarboxylase 65 kDa isoform
UniProt Protein Name
Glutamate decarboxylase 2
UniProt Gene Name
GAD2
UniProt Synonym Gene Names
GAD65; GAD-65
UniProt Entry Name
DCE2_HUMAN
Similar Products
Product Notes
The GAD2 gad2 (Catalog #AAA170748) is an Antibody produced from Rabbit and is intended for research purposes only. The product is available for immediate purchase. The GAD2 Polyclonal Antibody reacts with Human, Mouse, Rat and may cross-react with other species as described in the data sheet. AAA Biotech's GAD2 can be used in a range of immunoassay formats including, but not limited to, IHC (Immunohistochemistry), ELISA. Researchers should empirically determine the suitability of the GAD2 gad2 for an application not listed in the data sheet. Researchers commonly develop new applications and it is an integral, important part of the investigative research process. It is sometimes possible for the material contained within the vial of "GAD2, Polyclonal Antibody" to become dispersed throughout the inside of the vial, particularly around the seal of said vial, during shipment and storage. We always suggest centrifuging these vials to consolidate all of the liquid away from the lid and to the bottom of the vial prior to opening. Please be advised that certain products may require dry ice for shipping and that, if this is the case, an additional dry ice fee may also be required.Precautions
All products in the AAA Biotech catalog are strictly for research-use only, and are absolutely not suitable for use in any sort of medical, therapeutic, prophylactic, in-vivo, or diagnostic capacity. By purchasing a product from AAA Biotech, you are explicitly certifying that said products will be properly tested and used in line with industry standard. AAA Biotech and its authorized distribution partners reserve the right to refuse to fulfill any order if we have any indication that a purchaser may be intending to use a product outside of our accepted criteria.Disclaimer
Though we do strive to guarantee the information represented in this datasheet, AAA Biotech cannot be held responsible for any oversights or imprecisions. AAA Biotech reserves the right to adjust any aspect of this datasheet at any time and without notice. It is the responsibility of the customer to inform AAA Biotech of any product performance issues observed or experienced within 30 days of receipt of said product. To see additional details on this or any of our other policies, please see our Terms & Conditions page.Item has been added to Shopping Cart
If you are ready to order, navigate to Shopping Cart and get ready to checkout.
