Rabbit anti-Human galanin receptor 2 Polyclonal Antibody | anti-GALR2 antibody
galanin receptor 2 antibody
Gene Names
GALR2; GAL2-R; GALNR2; GALR-2
Reactivity
Human
Applications
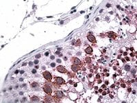
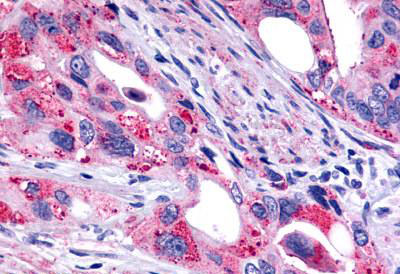
Immunohistochemistry, Western Blot
Purity
Purified by antigen-affinity chromatography.
Synonyms
galanin receptor 2, Antibody; galanin receptor 2 antibody; anti-GALR2 antibody
Host
Rabbit
Reactivity
Human
Clonality
Polyclonal
Purity/Purification
Purified by antigen-affinity chromatography.
Form/Format
Supplied in 0.1M Tris-buffered saline with 10% Glycerol (pH7.0). 0.01% Thimerosal was added as a preservative.
Sequence Length
387
Applicable Applications for anti-GALR2 antibody
IHC (Immunohistochemistry), WB (Western Blot)
Immunogen Type
Peptide
Immunogen Description
Synthetic peptide contain a sequence corresponding to a region within amino acids 212 and 277 of Human GALR2
Target Name
galanin receptor 2
Preparation and Storage
Store at -20 degree C for long term preservation (recommended). Store at 4 degree C for short term use.
Related Product Information for anti-GALR2 antibody
Galanin is an important neuromodulator present in the brain, gastrointestinal system, and hypothalamopituitary axis. It is a 30-amino acid non-C-terminally amidated peptide that potently stimulates growth hormone secretion, inhibits cardiac vagal slowing of heart rate, abolishes sinus arrhythmia, and inhibits postprandial gastrointestinal motility. The actions of galanin are mediated through interaction with specific membrane receptors that are members of the 7-transmembrane family of G protein-coupled receptors. GALR2 interacts with the N-terminal residues of the galanin peptide. The primary signaling mechanism for GALR2 is through the phospholipase C/protein kinase C pathway (via Gq), in contrast to GALR1, which communicates its intracellular signal by inhibition of adenylyl cyclase through Gi. However, it has been demonstrated that GALR2 couples efficiently to both the Gq and Gi proteins to simultaneously activate 2 independent signal transduction pathways. [provided by RefSeq]
Product Categories/Family for anti-GALR2 antibody
NCBI and Uniprot Product Information
NCBI GI #
NCBI GeneID
NCBI Accession #
NCBI GenBank Nucleotide #
Molecular Weight
41,700 Da
NCBI Official Full Name
galanin receptor type 2
NCBI Official Synonym Full Names
galanin receptor 2
NCBI Official Symbol
GALR2
NCBI Official Synonym Symbols
GAL2-R; GALNR2; GALR-2
NCBI Protein Information
galanin receptor type 2
UniProt Protein Name
Galanin receptor type 2
UniProt Gene Name
GALR2
UniProt Synonym Gene Names
GALNR2; GAL2-R; GALR-2
UniProt Entry Name
GALR2_HUMAN
Customer Reviews
Loading reviews...
Share Your Experience
Similar Products
Product Notes
The GALR2 galr2 (Catalog #AAA307900) is an Antibody produced from Rabbit and is intended for research purposes only. The product is available for immediate purchase. The galanin receptor 2 antibody reacts with Human and may cross-react with other species as described in the data sheet. AAA Biotech's galanin receptor 2 can be used in a range of immunoassay formats including, but not limited to, IHC (Immunohistochemistry), WB (Western Blot). Researchers should empirically determine the suitability of the GALR2 galr2 for an application not listed in the data sheet. Researchers commonly develop new applications and it is an integral, important part of the investigative research process. It is sometimes possible for the material contained within the vial of "galanin receptor 2, Polyclonal Antibody" to become dispersed throughout the inside of the vial, particularly around the seal of said vial, during shipment and storage. We always suggest centrifuging these vials to consolidate all of the liquid away from the lid and to the bottom of the vial prior to opening. Please be advised that certain products may require dry ice for shipping and that, if this is the case, an additional dry ice fee may also be required.Precautions
All products in the AAA Biotech catalog are strictly for research-use only, and are absolutely not suitable for use in any sort of medical, therapeutic, prophylactic, in-vivo, or diagnostic capacity. By purchasing a product from AAA Biotech, you are explicitly certifying that said products will be properly tested and used in line with industry standard. AAA Biotech and its authorized distribution partners reserve the right to refuse to fulfill any order if we have any indication that a purchaser may be intending to use a product outside of our accepted criteria.Disclaimer
Though we do strive to guarantee the information represented in this datasheet, AAA Biotech cannot be held responsible for any oversights or imprecisions. AAA Biotech reserves the right to adjust any aspect of this datasheet at any time and without notice. It is the responsibility of the customer to inform AAA Biotech of any product performance issues observed or experienced within 30 days of receipt of said product. To see additional details on this or any of our other policies, please see our Terms & Conditions page.Item has been added to Shopping Cart
If you are ready to order, navigate to Shopping Cart and get ready to checkout.
