Rabbit anti-Human, Mouse GANP Polyclonal Antibody | anti-GANP antibody
GANP Antibody
Phosphate buffered saline, pH 7.4, 150mM NaCl, 0.02% sodium azide and 50% glycerol.
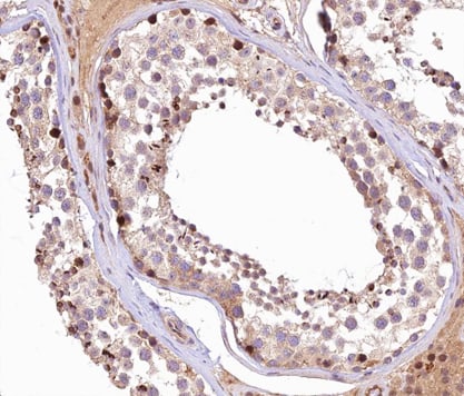
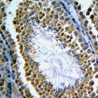
IHC (Immunohistochemistry)
(AAA320810 at 1/100 staining human Testis tissue sections by IHC-P. The tissue was formaldehyde fixed and a heat mediated antigen retrieval step in citrate buffer was performed. The tissue was then blocked and incubated with the antibody for 1.5 hours at 22 degree C. An HRP conjugated goat anti-rabbit antibody was used as the secondary.)
IF (Immunofluorescence)
(AAA320810 staining NIH-3T3 by IF/ICC. The sample were fixed with PFA and permeabilized in 0.1% Triton X-100, then blocked in 10% serum for 45 minutes at 25 degree C. The primary antibody was diluted at 1/200 and incubated with the sample for 1 hour at 37 degree C. An Alexa Fluor 594 conjugated goat anti-rabbit IgG (H+L) Ab, diluted at 1/600, was used as the secondary antibody.)
WB (Western Blot)
(Western blot analysis on NIH-3T3 cell lysate using GANP Antibody, The lane on the left is treated with the antigen-specific peptide.)
Function: Isoform GANP: Essential for the generation of high-affinity B-cells against T-cell-dependent antigens by affecting somatic hypermutation at the IgV-regions. May have stimulation-dependent DNA primase activity that would generate extra RNA primers in very rapidely proliferating cells and would support clonal expansion of differentiating B-cells (By similarity). Involved in the nuclear export of poly(A)-containing mRNAs by acting as a scaffold for the TREX-2 complex. The TREX-2 complex functions in docking export-competent ribonucleoprotein particles (mRNPs) to the nuclear entrance of the nuclear pore complex (nuclear basket). TREX-2 participates in mRNA export and accurate chromatin positioning in the nucleus by tethering genes to the nuclear periphery.
Subunit Structure: Interacts with AICDA/AID (By similarity). Component of the nuclear pore complex (NPC)-associated TREX-2 complex (transcription and export complex 2), composed of at least GANP, two copies of ENY2, PCID2, SEM1, and either centrin CETN2 or CETN3. Isoform MCM3AP interacts with MCM3. Interacts with NXF1 (By via FG-repeats).
Post-translational Modifications: Phosphorylation at Ser-508 by CDKs is required for DNA primase activity.
Similarity: Belongs to the SAC3 family.
NCBI and Uniprot Product Information
Predicted: 219 kDa
Customer Reviews
Loading reviews...
Share Your Experience
Similar Products
Product Notes
The GANP mcm3ap (Catalog #AAA320810) is an Antibody produced from Rabbit and is intended for research purposes only. The product is available for immediate purchase. The GANP Antibody reacts with Human, Mouse and may cross-react with other species as described in the data sheet. AAA Biotech's GANP can be used in a range of immunoassay formats including, but not limited to, ELISA, ICC (Immunocytochemistry), IF (Immunofluorescence), IHC (Immunohistochemistry), WB (Western Blot). Researchers should empirically determine the suitability of the GANP mcm3ap for an application not listed in the data sheet. Researchers commonly develop new applications and it is an integral, important part of the investigative research process. It is sometimes possible for the material contained within the vial of "GANP, Polyclonal Antibody" to become dispersed throughout the inside of the vial, particularly around the seal of said vial, during shipment and storage. We always suggest centrifuging these vials to consolidate all of the liquid away from the lid and to the bottom of the vial prior to opening. Please be advised that certain products may require dry ice for shipping and that, if this is the case, an additional dry ice fee may also be required.Precautions
All products in the AAA Biotech catalog are strictly for research-use only, and are absolutely not suitable for use in any sort of medical, therapeutic, prophylactic, in-vivo, or diagnostic capacity. By purchasing a product from AAA Biotech, you are explicitly certifying that said products will be properly tested and used in line with industry standard. AAA Biotech and its authorized distribution partners reserve the right to refuse to fulfill any order if we have any indication that a purchaser may be intending to use a product outside of our accepted criteria.Disclaimer
Though we do strive to guarantee the information represented in this datasheet, AAA Biotech cannot be held responsible for any oversights or imprecisions. AAA Biotech reserves the right to adjust any aspect of this datasheet at any time and without notice. It is the responsibility of the customer to inform AAA Biotech of any product performance issues observed or experienced within 30 days of receipt of said product. To see additional details on this or any of our other policies, please see our Terms & Conditions page.Item has been added to Shopping Cart
If you are ready to order, navigate to Shopping Cart and get ready to checkout.
