Rabbit anti-Human GATA3 Polyclonal Antibody | anti-GATA3 antibody
Rabbit anti GATA3
Storage in frost-free freezers is not recommended. This product should be stored undiluted.
Avoid repeated freezing and thawing as this may denature the antibody. Should this product contain a precipitate we recommend microcentrifugation before use. Shelf Life: 12 months from date of despatch
IF (Immunofluorescence)
(Immunofluorescent analysis of GATA3 (green) in MCF7 (left panel) and SH-SY5Y cells (right panel). Formalin fixed cells were permeabilized with 0.1% Triton X-100 in TBS for 10 minutes at room temperature. Cells were blocked with 1% BSA for 15 minutes at room temperature. Cells were probed with GATA3 polyclonal antibody at a dilution of 1/50 for at least 1 hour at room temperature, washed with PBS, and incubated with a goat anti-rabbit IgG secondary antibody (green) for 30 minutes at room temperature. Cells were counterstained with phalloidin (F-actin, red) and Hoechst 33342 (Nucleus, blue). Cells were viewed at 20x magnification)
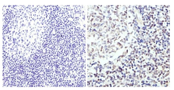
IHC (Immunohiostchemistry)
(Immunohistochemistry analysis of GATA3 showing staining in the nucleus of paraffin-embedded human tonsil tissue (right) compared to a negative control without primary antibody (left). To expose target proteins, antigen retrieval was performed using 10 mM sodium citrate (pH 6.0), microwaved for 8-15 min. Following antigen retrieval, tissues were blocked in 3% H2O2-methanol for 15 min at room temperature, washed with ddH2O and PBS, and then probed with GATA3 polyclonal antibody diluted in 3% BSA-PBS at a dilution of 1/200 overnight at 4 degree C in a humidified chamber. Tissues were washed extensively in PBST and detection was performed using an HRP-conjugated secondary antibody followed by colorimetric detection using DAB. Tissues were counterstained with hematoxylin and dehydrated with ethanol and xylene to prep for mounting)
WB (Western Blot)
(Western blot analysis of GATA3 was performed by loading 15 ug of SH-SY5Y whole cell lysate (WCL), SH-SY5Y nuclear extract (NE) onto a 4-20% Tris-HCl polyacrylamide gel. Proteins were transferred to a PVDF membrane and blocked for at least 1 hour. The membrane was probed with GATA3 polyclonal antibody at a dilution of 1/1000 overnight at 4 degree C on a rocking platform, washed in TBS-0.1%Tween-20, and probed with an HRP-conjugated goat anti-rabbit IgG secondary antibody for 1 hour. Chemiluminescence was performed for band detection)
GATA3 has been shown to play a critical role in T cell development and the differentiation of T helper 2 (Th2) cells (Ho et al.1991). In addition, GATA3 has been implied to have tissue specific functions such as a regulatory role in the development of the mammary gland epithelium and skin tissue (Chou et al. 2010).
Aberrant GATA3 levels have been identified in a variety of cancers including breast cancer. Indeed, GATA3 has become a marker for certain breast cancer types and GATA3 antibodies are commonly used for the immunohistochemical evaluation of breast cancer samples (Krings et al. 2014).
NCBI and Uniprot Product Information
Customer Reviews
Loading reviews...
Share Your Experience
Similar Products
Product Notes
The GATA3 gata3 (Catalog #AAA50288) is an Antibody produced from Rabbit and is intended for research purposes only. The product is available for immediate purchase. The Rabbit anti GATA3 reacts with Human and may cross-react with other species as described in the data sheet. AAA Biotech's GATA3 can be used in a range of immunoassay formats including, but not limited to, WB (Western Blot), IHC (Immunohistochemistry), IF (Immunofluorescence), ICC (Immunocytochemistry). Researchers should empirically determine the suitability of the GATA3 gata3 for an application not listed in the data sheet. Researchers commonly develop new applications and it is an integral, important part of the investigative research process. It is sometimes possible for the material contained within the vial of "GATA3, Polyclonal Antibody" to become dispersed throughout the inside of the vial, particularly around the seal of said vial, during shipment and storage. We always suggest centrifuging these vials to consolidate all of the liquid away from the lid and to the bottom of the vial prior to opening. Please be advised that certain products may require dry ice for shipping and that, if this is the case, an additional dry ice fee may also be required.Precautions
All products in the AAA Biotech catalog are strictly for research-use only, and are absolutely not suitable for use in any sort of medical, therapeutic, prophylactic, in-vivo, or diagnostic capacity. By purchasing a product from AAA Biotech, you are explicitly certifying that said products will be properly tested and used in line with industry standard. AAA Biotech and its authorized distribution partners reserve the right to refuse to fulfill any order if we have any indication that a purchaser may be intending to use a product outside of our accepted criteria.Disclaimer
Though we do strive to guarantee the information represented in this datasheet, AAA Biotech cannot be held responsible for any oversights or imprecisions. AAA Biotech reserves the right to adjust any aspect of this datasheet at any time and without notice. It is the responsibility of the customer to inform AAA Biotech of any product performance issues observed or experienced within 30 days of receipt of said product. To see additional details on this or any of our other policies, please see our Terms & Conditions page.Item has been added to Shopping Cart
If you are ready to order, navigate to Shopping Cart and get ready to checkout.
