Rabbit anti-Human GDF5 Polyclonal Antibody | anti-GDF5 antibody
GDF5 Polyclonal Antibody
Gene Names
GDF5; OS5; LAP4; BDA1C; BMP14; CDMP1; LAP-4; SYM1B; SYNS2; BMP-14
Reactivity
Human
Applications
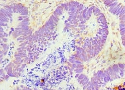
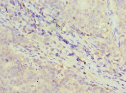
Immunohistochemistry
Purity
Antigen Affinity Purified
Synonyms
GDF5, Antibody; GDF5 Polyclonal Antibody; Growth/differentiation factor 5; GDF-5; Bone morphogenetic protein 14; BMP-14; Cartilage-derived morphogenetic protein 1; CDMP-1; Lipopolysaccharide-associated protein 4; LAP-4; LPS-associated protein 4; GDF5; BMP14; CDMP1; anti-GDF5 antibody
Host
Rabbit
Reactivity
Human
Clonality
Polyclonal
Specificity
The antibody detects endogenous level of total GDF5 polyclonal antibody.
Purity/Purification
Antigen Affinity Purified
Form/Format
PBS with 0.02% Sodium Azide, 50% Glycerol, pH7.3.
Concentration
1.0 mg/ml (varies by lot)
Sequence Length
501
Applicable Applications for anti-GDF5 antibody
IHC (Immunohistochemistry)
Immunogen
Recombinant Human Growth/differentiation factor 5 protein(202-501aa)
Immunogen Type
Protein
Preparation and Storage
Store at -20 degree C
Related Product Information for anti-GDF5 antibody
Required to prevent excessive muscle loss upon denervation. This function requires SMAD4 and is mediated by phosphorylated SMAD1/5/8 (By similarity). Could be involved in bone and cartilage formation. Chondrogenic signaling is mediated by the high-affinity receptor BMPR1B. Binds bacterial lipopolysaccharide (LPS) et mediates LPS-induced inflammatory response, including TNF secretion by monocytes.
Product Categories/Family for anti-GDF5 antibody
NCBI and Uniprot Product Information
NCBI GI #
NCBI GeneID
NCBI Accession #
NCBI GenBank Nucleotide #
Molecular Weight
55,411 Da
NCBI Official Full Name
growth/differentiation factor 5 preproprotein
NCBI Official Synonym Full Names
growth differentiation factor 5
NCBI Official Symbol
GDF5
NCBI Official Synonym Symbols
OS5; LAP4; BDA1C; BMP14; CDMP1; LAP-4; SYM1B; SYNS2; BMP-14
NCBI Protein Information
growth/differentiation factor 5
UniProt Protein Name
Growth/differentiation factor 5
UniProt Gene Name
GDF5
UniProt Synonym Gene Names
BMP14; CDMP1; GDF-5; BMP-14; CDMP-1; LAP-4; LPS-associated protein 4
UniProt Entry Name
GDF5_HUMAN
Customer Reviews
Loading reviews...
Share Your Experience
Similar Products
Product Notes
The GDF5 gdf5 (Catalog #AAA308502) is an Antibody produced from Rabbit and is intended for research purposes only. The product is available for immediate purchase. The GDF5 Polyclonal Antibody reacts with Human and may cross-react with other species as described in the data sheet. AAA Biotech's GDF5 can be used in a range of immunoassay formats including, but not limited to, IHC (Immunohistochemistry). Researchers should empirically determine the suitability of the GDF5 gdf5 for an application not listed in the data sheet. Researchers commonly develop new applications and it is an integral, important part of the investigative research process. It is sometimes possible for the material contained within the vial of "GDF5, Polyclonal Antibody" to become dispersed throughout the inside of the vial, particularly around the seal of said vial, during shipment and storage. We always suggest centrifuging these vials to consolidate all of the liquid away from the lid and to the bottom of the vial prior to opening. Please be advised that certain products may require dry ice for shipping and that, if this is the case, an additional dry ice fee may also be required.Precautions
All products in the AAA Biotech catalog are strictly for research-use only, and are absolutely not suitable for use in any sort of medical, therapeutic, prophylactic, in-vivo, or diagnostic capacity. By purchasing a product from AAA Biotech, you are explicitly certifying that said products will be properly tested and used in line with industry standard. AAA Biotech and its authorized distribution partners reserve the right to refuse to fulfill any order if we have any indication that a purchaser may be intending to use a product outside of our accepted criteria.Disclaimer
Though we do strive to guarantee the information represented in this datasheet, AAA Biotech cannot be held responsible for any oversights or imprecisions. AAA Biotech reserves the right to adjust any aspect of this datasheet at any time and without notice. It is the responsibility of the customer to inform AAA Biotech of any product performance issues observed or experienced within 30 days of receipt of said product. To see additional details on this or any of our other policies, please see our Terms & Conditions page.Item has been added to Shopping Cart
If you are ready to order, navigate to Shopping Cart and get ready to checkout.
