Rabbit anti-Mouse, Rat GDNF Polyclonal Antibody | anti-GDNF antibody
GDNF Polyclonal Antibody
Gene Names
Gdnf; gndf
Reactivity
Mouse, Rat
Applications
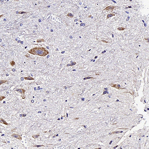
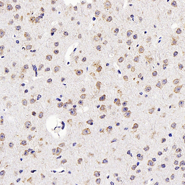
Immunohistochemistry
Purity
Affinity Purification
Synonyms
GDNF, Antibody; GDNF Polyclonal Antibody; Astrocyte derived trophic factor; Astrocyte derived trophic factor 1; Astrocyte-derived trophic factor; ATF 1; ATF 2; Atf; ATF1; ATF2; gdnf; GDNF; Glial cell derived neurotrophic factor; Glial Cell Line Derived Neurotrophic Factor; Glial cell line-derived neurotrophic factor; Glial derived neurotrophic factor; HFB1 GDNF; hGDNF; HSCR3; anti-GDNF antibody
Host
Rabbit
Reactivity
Mouse, Rat
Clonality
Polyclonal
Isotype
IgG
Purity/Purification
Affinity Purification
Form/Format
PBS with 0.02% sodium azide, 100 mug/ml BSA and 50% glycerol.
Concentration
80 mug/mL (varies by lot)
Sequence Length
185
Applicable Applications for anti-GDNF antibody
IHC (Immunohistochemistry)
Immunogen
KLH conjugated synthetic peptide corresponding to mouse GDNF
Conjugation
Unconjugated
Preparation and Storage
Store at -20 degree C. Avoid freeze/thaw cycles.
Related Product Information for anti-GDNF antibody
This gene encodes a secreted ligand of the TGF-beta (transforming growth factor-beta) superfamily of proteins. Ligands of this family bind various TGF-beta receptors leading to recruitment and activation of SMAD family transcription factors that regulate gene expression. The encoded preproprotein is proteolytically processed to generate each subunit of the disulfide-linked homodimer. The recombinant form of this protein, a highly conserved neurotrophic factor, was shown to promote the survival and differentiation of dopaminergic neurons in culture, and was able to prevent apoptosis of motor neurons induced by axotomy. This protein is a ligand for the product of the RET (rearranged during transfection) protooncogene. Mutations in this gene may be associated with Hirschsprung disease and Tourette syndrome. This gene encodes multiple protein isoforms that may undergo similar proteolytic processing.
Product Categories/Family for anti-GDNF antibody
NCBI and Uniprot Product Information
NCBI GI #
NCBI GeneID
NCBI Accession #
NCBI GenBank Nucleotide #
Molecular Weight
20,748 Da
NCBI Official Full Name
glial cell line-derived neurotrophic factor
NCBI Official Synonym Full Names
glial cell derived neurotrophic factor
NCBI Official Symbol
Gdnf
NCBI Official Synonym Symbols
gndf
NCBI Protein Information
glial cell line-derived neurotrophic factor
UniProt Protein Name
Glial cell line-derived neurotrophic factor
UniProt Gene Name
Gdnf
UniProt Synonym Gene Names
ATF
Similar Products
Product Notes
The GDNF gdnf (Catalog #AAA174531) is an Antibody produced from Rabbit and is intended for research purposes only. The product is available for immediate purchase. The GDNF Polyclonal Antibody reacts with Mouse, Rat and may cross-react with other species as described in the data sheet. AAA Biotech's GDNF can be used in a range of immunoassay formats including, but not limited to, IHC (Immunohistochemistry). Researchers should empirically determine the suitability of the GDNF gdnf for an application not listed in the data sheet. Researchers commonly develop new applications and it is an integral, important part of the investigative research process. It is sometimes possible for the material contained within the vial of "GDNF, Polyclonal Antibody" to become dispersed throughout the inside of the vial, particularly around the seal of said vial, during shipment and storage. We always suggest centrifuging these vials to consolidate all of the liquid away from the lid and to the bottom of the vial prior to opening. Please be advised that certain products may require dry ice for shipping and that, if this is the case, an additional dry ice fee may also be required.Precautions
All products in the AAA Biotech catalog are strictly for research-use only, and are absolutely not suitable for use in any sort of medical, therapeutic, prophylactic, in-vivo, or diagnostic capacity. By purchasing a product from AAA Biotech, you are explicitly certifying that said products will be properly tested and used in line with industry standard. AAA Biotech and its authorized distribution partners reserve the right to refuse to fulfill any order if we have any indication that a purchaser may be intending to use a product outside of our accepted criteria.Disclaimer
Though we do strive to guarantee the information represented in this datasheet, AAA Biotech cannot be held responsible for any oversights or imprecisions. AAA Biotech reserves the right to adjust any aspect of this datasheet at any time and without notice. It is the responsibility of the customer to inform AAA Biotech of any product performance issues observed or experienced within 30 days of receipt of said product. To see additional details on this or any of our other policies, please see our Terms & Conditions page.Item has been added to Shopping Cart
If you are ready to order, navigate to Shopping Cart and get ready to checkout.
