Rabbit GDNF Polyclonal Antibody | anti-GDNF antibody
GDNF Antibody: FITC
Tissue Specificity: In the brain, predominantly expressed in the striatum with highest levels in the caudate and lowest in the putamen. Isoform 2 is absent from most tissues except for low levels in intestine and kidney. Highest expression of isoform 3 is found in pancreatic islets. Isoform 5 is expressed at very low levels in putamen, nucleus accumbens, prefrontal cortex, amygdala, hypothalamus and intestine. Isoform 3 is up-regulated in the middle temporal gyrus of Alzheimer disease patients while isoform 2 shows no change.
WB (Western Blot)
(Western blot analysis with AAA Biotech's anti-GDNF polyclonal antibody showing detection of GDNF protein in rat brain lysate (prepared in-house). Rat GNDF protein with signal and pro-peptide segments has a predicted molecular weight of 23.6 kDa (UniProt Q07731). Block: 5% skim milk. Primary Antibody: Rabbit Anti-GDNF Polyclonal Antibody at 1:1000 for 2 hours at RT. Secondary Antibody: Goat anti-rabbit IgG:HRP at 1:5000 for 1 hour at RT. Color Development: Chemiluminescent for HRP (Moss) for 3 min in RT. Exposed 7.299 seconds. NOTE secondary antibody shows some non-specific binding in the control, but not to the GNDF protein.)
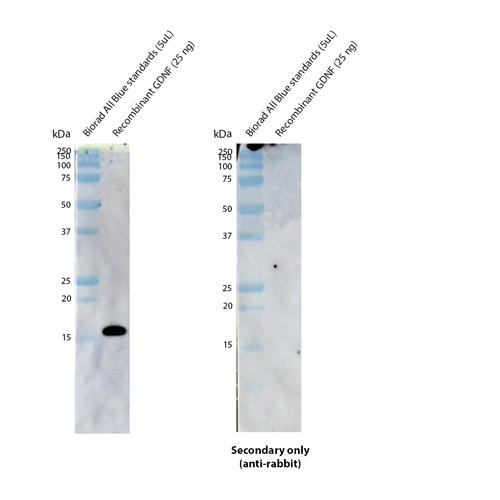
WB (Western Blot)
(Western blot analysis with AAA Biotech's anti-GDNF polyclonal antibody showing detection of human recombinant GDNF protein . This recombinant protein has a predicted molecular weight of 15.2 kDa. Block: 5% skim milk. Primary Antibody: Rabbit Anti-GDNF Polyclonal Antibody at 1:5000 for 2 hours at RT. Secondary Antibody: Goat anti-rabbit IgG:HRP at 1:5000 for 1 hour at RT. Color Development: Chemiluminescent for HRP (Moss) for 3 min in RT. Exposed 9.122 seconds.)
Glial cell line-derived neurotrophic factor (GDNF), a highly conserved multifunctional secretory protein, is distributed throughout the peripheral and central nervous system to support neuronal growth, proliferation, and survival (1-3). It was the first member of the GDNF family ligands (GFL). Pro-GDNF, a 211 residue precursor sequence, folds via disulphide bonding and dimerization in the endoplasmic reticulum (ER). N-linked glycosylation subsequently takes place at the tip of one of the protein's two finger-like structures. These structures facilitate contact between the mature protein, the GRFalpha1 receptor, and RET, that is necessary for GDNF signalling. A similar configuration is observed in the cytokine TGFbeta2 (2). The mature GDNF protein (134 residues) is produced by proteolysis of processed pro-GDNF at a proteolytic consensus sequence situated within the C-terminus (1). Through interactions between Cys131, Cys133, Cys68 & Cys72, the C-terminus forms a ring-like structure (3). As multiple proteases can cleave the precursor sequence, different forms of mature GDNF are possible (1). GDNF is implicated in the promotion of dopamine uptake within midbrain dopaminergic neurons, as well as the proliferation and migration of gliomas. Motor neurons, Schwann cells, oligodendrocytes, astrocytes, and skeletal muscle have been shown to secrete GDNF during neuronal development and growth (1,3). Initial studies suggested that GDNF may play a neuroprotective role in neurodegenerative disease such as amyotrophic lateral sclerosis (ALS), Parkinson's disease and various synucleinopathies (4,5), however, recent research has indicated inconsistent levels of neuroprotective ability in neurodegenerative disease models (1, 6-8).
NCBI and Uniprot Product Information
Customer Reviews
Loading reviews...
Share Your Experience
Similar Products
Product Notes
The GDNF gdnf (Catalog #AAA254108) is an Antibody produced from Rabbit and is intended for research purposes only. The product is available for immediate purchase. The GDNF Antibody: FITC reacts with Human, Mouse, Rat and may cross-react with other species as described in the data sheet. AAA Biotech's GDNF can be used in a range of immunoassay formats including, but not limited to, WB (Western Blot). Researchers should empirically determine the suitability of the GDNF gdnf for an application not listed in the data sheet. Researchers commonly develop new applications and it is an integral, important part of the investigative research process. It is sometimes possible for the material contained within the vial of "GDNF, Polyclonal Antibody" to become dispersed throughout the inside of the vial, particularly around the seal of said vial, during shipment and storage. We always suggest centrifuging these vials to consolidate all of the liquid away from the lid and to the bottom of the vial prior to opening. Please be advised that certain products may require dry ice for shipping and that, if this is the case, an additional dry ice fee may also be required.Precautions
All products in the AAA Biotech catalog are strictly for research-use only, and are absolutely not suitable for use in any sort of medical, therapeutic, prophylactic, in-vivo, or diagnostic capacity. By purchasing a product from AAA Biotech, you are explicitly certifying that said products will be properly tested and used in line with industry standard. AAA Biotech and its authorized distribution partners reserve the right to refuse to fulfill any order if we have any indication that a purchaser may be intending to use a product outside of our accepted criteria.Disclaimer
Though we do strive to guarantee the information represented in this datasheet, AAA Biotech cannot be held responsible for any oversights or imprecisions. AAA Biotech reserves the right to adjust any aspect of this datasheet at any time and without notice. It is the responsibility of the customer to inform AAA Biotech of any product performance issues observed or experienced within 30 days of receipt of said product. To see additional details on this or any of our other policies, please see our Terms & Conditions page.Item has been added to Shopping Cart
If you are ready to order, navigate to Shopping Cart and get ready to checkout.
