Rabbit GFAP Polyclonal Antibody | anti-GFAP antibody
Anti-GFAP Antibody
Application Data
(Anti-GFAP Picoband antibody, AAA45724-4.jpgAll lanes: Anti-GFAP(AAA45724) at 0.5ug/mlLane 1: Rat Brain Tissue Lysate at 40ugLane 2: Mouse Brain Tissue Lysate at 40ugLane 3: U87 Whole Cell Lysate at 40ugLane 4: SHG Whole Cell Lysate at 40ugLane 5: NEURO Whole Cell Lysate at 40ugLane 6: Hela Whole Cell Lysate at 40ugPredicted bind size: 49KDObserved bind size: 49KD)
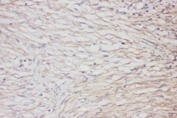
IHC (Immunohistochemisry)
(Anti-GFAP Picoband antibody, AAA45724-3.JPGIHC(P): Human meningioma Tissue)
Background: Glial fibrillary acidic protein (GFAP) is a protein that is encoded by the GFAP gene in humans. It is an intermediate filament(IF) protein that is expressed by numerous cell types of the central nervous system (CNS) including astrocytes, and ependymal cells. It is mapped to 17q21.31. GFAP is closely related to its non-epithelial family members, vimentin, desmin, and peripherin, which are all involved in the structure and function of the cell's cytoskeleton. GFAP is thought to help to maintain astrocyte mechanical strength, as well as the shape of cells. This gene has been shown to play a role in mitosis by adjusting the filament network present in the cell. GFAP is necessary for many critical roles in the CNS. What's more, GFAP also plays a role in astrocyte-neuron interactions as well as cell-cell communication.
NCBI and Uniprot Product Information
Customer Reviews
Loading reviews...
Share Your Experience
Similar Products
Product Notes
The GFAP gfap (Catalog #AAA45724) is an Antibody produced from Rabbit and is intended for research purposes only. The product is available for immediate purchase. The Anti-GFAP Antibody reacts with Human, Mouse, Rat and may cross-react with other species as described in the data sheet. AAA Biotech's GFAP can be used in a range of immunoassay formats including, but not limited to, IF (Immunofluorescence), IHC (Immunohistochemistry), WB (Western Blot). Researchers should empirically determine the suitability of the GFAP gfap for an application not listed in the data sheet. Researchers commonly develop new applications and it is an integral, important part of the investigative research process. It is sometimes possible for the material contained within the vial of "GFAP, Polyclonal Antibody" to become dispersed throughout the inside of the vial, particularly around the seal of said vial, during shipment and storage. We always suggest centrifuging these vials to consolidate all of the liquid away from the lid and to the bottom of the vial prior to opening. Please be advised that certain products may require dry ice for shipping and that, if this is the case, an additional dry ice fee may also be required.Precautions
All products in the AAA Biotech catalog are strictly for research-use only, and are absolutely not suitable for use in any sort of medical, therapeutic, prophylactic, in-vivo, or diagnostic capacity. By purchasing a product from AAA Biotech, you are explicitly certifying that said products will be properly tested and used in line with industry standard. AAA Biotech and its authorized distribution partners reserve the right to refuse to fulfill any order if we have any indication that a purchaser may be intending to use a product outside of our accepted criteria.Disclaimer
Though we do strive to guarantee the information represented in this datasheet, AAA Biotech cannot be held responsible for any oversights or imprecisions. AAA Biotech reserves the right to adjust any aspect of this datasheet at any time and without notice. It is the responsibility of the customer to inform AAA Biotech of any product performance issues observed or experienced within 30 days of receipt of said product. To see additional details on this or any of our other policies, please see our Terms & Conditions page.Item has been added to Shopping Cart
If you are ready to order, navigate to Shopping Cart and get ready to checkout.
