Rabbit GFI1 Polyclonal Antibody | anti-GFI1 antibody
Anti-GFI1 Picoband antibody
No cross reactivity with other proteins.
No cross reactivity with other proteins.
IHC (Immunohiostchemistry)
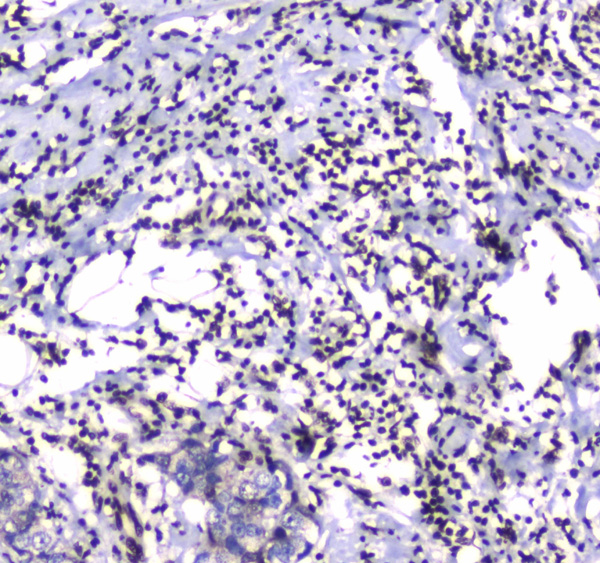
(Figure 2. IHC analysis of GFI1 using anti-GFI1 antibody (AAA124598).GFI1 was detected in paraffin-embedded section of human rectal cancer tissue. Heat mediated antigen retrieval was performed in citrate buffer (pH6, epitope retrieval solution) for 20 mins. The tissue section was blocked with 10% goat serum. The tissue section was then incubated with 1ug/ml rabbit anti-GFI1 Antibody (AAA124598) overnight at 4 degree C. Biotinylated goat anti-rabbit IgG was used as secondary antibody and incubated for 30 minutes at 37 degree C. The tissue section was developed using Strepavidin-Biotin-Complex (SABC) with DAB as the chromogen.)
IHC (Immunohistochemistry)
(Figure 1. IHC analysis of GFI1 using anti-GFI1 antibody (AAA124598).GFI1 was detected in paraffin-embedded section of human mammary cancer tissue. Heat mediated antigen retrieval was performed in citrate buffer (pH6, epitope retrieval solution) for 20 mins. The tissue section was blocked with 10% goat serum. The tissue section was then incubated with 1ug/ml rabbit anti-GFI1 Antibody (AAA124598) overnight at 4 degree C. Biotinylated goat anti-rabbit IgG was used as secondary antibody and incubated for 30 minutes at 37 degree C. The tissue section was developed using Strepavidin-Biotin-Complex (SABC) with DAB as the chromogen.)
Protein Function: Transcription repressor essential for hematopoiesis. Functions in a cell-context and development-specific manner. Binds to 5'-TAAATCAC[AT]GCA-3' in the promoter region of a large number of genes. Component of several complexes, including the EHMT2- GFI1-HDAC1, AJUBA-GFI1-HDAC1 and RCOR-GFI-KDM1A-HDAC complexes, that suppress, via histone deacetylase (HDAC) recruitment, a number of genes implicated in multilineage blood cell development. Regulates neutrophil differentiation, promotes proliferation of lymphoid cells, and is required for granulocyte development. Mediates, together with U2AF1L4, the alternative splicing of CD45 and controls T-cell receptor signaling. Regulates the endotoxin- mediated Toll-like receptor (TLR) inflammatory response by antagonizing RELA. Cooperates with CBFA2T2 to regulate ITGB1- dependent neurite growth. Controls cell-cycle progression by repressing CDKNIA/p21 transcription in response to TGFB1 via recruitment of GFI1 by ZBTB17 to the CDKNIA/p21 and CDKNIB promoters. Required for the maintenance of inner ear hair cells.
NCBI and Uniprot Product Information
Customer Reviews
Loading reviews...
Share Your Experience
Similar Products
Product Notes
The GFI1 gfi1 (Catalog #AAA124598) is an Antibody produced from Rabbit and is intended for research purposes only. The product is available for immediate purchase. The Anti-GFI1 Picoband antibody reacts with Human, Mouse, Rat No cross reactivity with other proteins. and may cross-react with other species as described in the data sheet. AAA Biotech's GFI1 can be used in a range of immunoassay formats including, but not limited to, IHC (Immunohistochemistry). Researchers should empirically determine the suitability of the GFI1 gfi1 for an application not listed in the data sheet. Researchers commonly develop new applications and it is an integral, important part of the investigative research process. It is sometimes possible for the material contained within the vial of "GFI1, Polyclonal Antibody" to become dispersed throughout the inside of the vial, particularly around the seal of said vial, during shipment and storage. We always suggest centrifuging these vials to consolidate all of the liquid away from the lid and to the bottom of the vial prior to opening. Please be advised that certain products may require dry ice for shipping and that, if this is the case, an additional dry ice fee may also be required.Precautions
All products in the AAA Biotech catalog are strictly for research-use only, and are absolutely not suitable for use in any sort of medical, therapeutic, prophylactic, in-vivo, or diagnostic capacity. By purchasing a product from AAA Biotech, you are explicitly certifying that said products will be properly tested and used in line with industry standard. AAA Biotech and its authorized distribution partners reserve the right to refuse to fulfill any order if we have any indication that a purchaser may be intending to use a product outside of our accepted criteria.Disclaimer
Though we do strive to guarantee the information represented in this datasheet, AAA Biotech cannot be held responsible for any oversights or imprecisions. AAA Biotech reserves the right to adjust any aspect of this datasheet at any time and without notice. It is the responsibility of the customer to inform AAA Biotech of any product performance issues observed or experienced within 30 days of receipt of said product. To see additional details on this or any of our other policies, please see our Terms & Conditions page.Item has been added to Shopping Cart
If you are ready to order, navigate to Shopping Cart and get ready to checkout.
