Rabbit anti-Human GH Polyclonal Antibody | anti-GH antibody
GH Polyclonal Antibody
Gene Names
GH1; GH; GHN; GH-N; GHB5; hGH-N; IGHD1B
Reactivity
Human
Applications
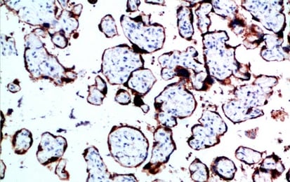
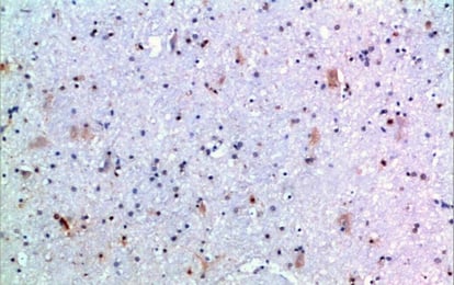
ELISA, Immunohistochemistry
Purity
Affinity Purification
Synonyms
GH, Antibody; GH Polyclonal Antibody; Somatotropin (Growth hormone) (GH) (GH-N) (Growth hormone 1) (Pituitary growth hormone) Growth hormone variant (GH-V) (Growth hormone 2) (Placenta-specific growth hormone); anti-GH antibody
Host
Rabbit
Reactivity
Human
Clonality
Polyclonal
Isotype
IgG
Purity/Purification
Affinity Purification
Concentration
1mg/mL (varies by lot)
Sequence Length
217
Applicable Applications for anti-GH antibody
ELISA, IHC (Immunohistochemistry)
Immunogen
Synthetic peptide from human protein
Buffer
PBS with 0.02% sodium azide and 50% glycerol pH 7.4.
Preparation and Storage
Store at -20 degree C. Avoid freeze / thaw cycles.
Related Product Information for anti-GH antibody
GH1 (Growth Hormone 1) is a Protein Coding gene. Diseases associated with GH1 include Growth Hormone Deficiency, Isolated, Type Ii and Kowarski Syndrome. Among its related pathways are GPCR Pathway and Phospholipase-C Pathway. GO annotations related to this gene include growth factor activity and growth hormone receptor binding. An important paralog of this gene is CSH1.The protein encoded by this gene is a member of the somatotropin/prolactin family of hormones which play an important role in growth control. The gene, along with four other related genes, is located at the growth hormone locus on chromosome 17 where they are interspersed in the same transcriptional orientation; an arrangement which is thought to have evolved by a series of gene duplications. The five genes share a remarkably high degree of sequence identity. Alternative splicing generates additional isoforms of each of the five growth hormones, leading to further diversity and potential for specialization. This particular family member is expressed in the pituitary but not in placental tissue as is the case for the other four genes in the growth hormone locus. Mutations in or deletions of the gene lead to growth hormone deficiency and short stature. GH2 (Growth Hormone 2) is a Protein Coding gene. Diseases associated with GH2 include Choriocarcinoma and Prostate Carcinoma In Situ. Among its related pathways are GPCR Pathway and Phospholipase-C Pathway. GO annotations related to this gene include hormone activity. An important paralog of this gene is GH1.The protein encoded by this gene is a member of the somatotropin/prolactin family of hormones which play an important role in growth control. The gene, along with four other related genes, is located at the growth hormone locus on chromosome 17 where they are interspersed in the same transcriptional orientation; an arrangement which is thought to have evolved by a series of gene duplications. The five genes share a remarkably high degree of sequence identity. Alternative splicing generates additional isoforms of each of the five growth hormones, leading to further diversity and potential for specialization. As in the case of its pituitary counterpart, growth hormone 1, the predominant isoform of this particular family member shows similar somatogenic activity, with reduced lactogenic activity. Mutations in this gene lead to placental growth hormone/lactogen deficiency.
NCBI and Uniprot Product Information
NCBI GI #
NCBI GeneID
NCBI Accession #
NCBI GenBank Nucleotide #
Molecular Weight
20,201 Da
NCBI Official Full Name
somatotropin isoform 1
NCBI Official Synonym Full Names
growth hormone 1
NCBI Official Symbol
GH1
NCBI Official Synonym Symbols
GH; GHN; GH-N; GHB5; hGH-N; IGHD1B
NCBI Protein Information
somatotropin
UniProt Protein Name
Somatotropin
UniProt Gene Name
GH1
UniProt Synonym Gene Names
GH; GH-N
Similar Products
Product Notes
The GH gh1 (Catalog #AAA173897) is an Antibody produced from Rabbit and is intended for research purposes only. The product is available for immediate purchase. The GH Polyclonal Antibody reacts with Human and may cross-react with other species as described in the data sheet. AAA Biotech's GH can be used in a range of immunoassay formats including, but not limited to, ELISA, IHC (Immunohistochemistry). Researchers should empirically determine the suitability of the GH gh1 for an application not listed in the data sheet. Researchers commonly develop new applications and it is an integral, important part of the investigative research process. It is sometimes possible for the material contained within the vial of "GH, Polyclonal Antibody" to become dispersed throughout the inside of the vial, particularly around the seal of said vial, during shipment and storage. We always suggest centrifuging these vials to consolidate all of the liquid away from the lid and to the bottom of the vial prior to opening. Please be advised that certain products may require dry ice for shipping and that, if this is the case, an additional dry ice fee may also be required.Precautions
All products in the AAA Biotech catalog are strictly for research-use only, and are absolutely not suitable for use in any sort of medical, therapeutic, prophylactic, in-vivo, or diagnostic capacity. By purchasing a product from AAA Biotech, you are explicitly certifying that said products will be properly tested and used in line with industry standard. AAA Biotech and its authorized distribution partners reserve the right to refuse to fulfill any order if we have any indication that a purchaser may be intending to use a product outside of our accepted criteria.Disclaimer
Though we do strive to guarantee the information represented in this datasheet, AAA Biotech cannot be held responsible for any oversights or imprecisions. AAA Biotech reserves the right to adjust any aspect of this datasheet at any time and without notice. It is the responsibility of the customer to inform AAA Biotech of any product performance issues observed or experienced within 30 days of receipt of said product. To see additional details on this or any of our other policies, please see our Terms & Conditions page.Item has been added to Shopping Cart
If you are ready to order, navigate to Shopping Cart and get ready to checkout.
