Rabbit anti-Human Glucokinase regulatory Polyclonal Antibody | anti-GCKR antibody
Rabbit anti-human Glucokinase regulatory polyclonal Antibody
Gene Names
GCKR; GKRP; FGQTL5
Reactivity
Human
Applications
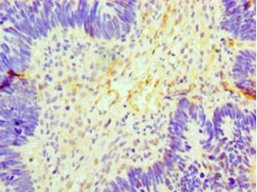
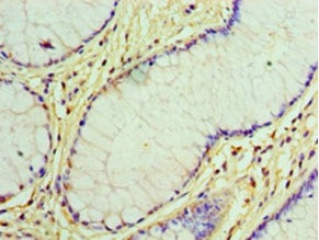
Immunohistochemistry, ELISA
Purity
Caprylic Acid Ammonium Sulfate Precipitation purified
Synonyms
Glucokinase regulatory, Antibody; Rabbit anti-human Glucokinase regulatory polyclonal Antibody; Glucokinase regulator; GCKR; anti-GCKR antibody
Host
Rabbit
Reactivity
Human
Clonality
Polyclonal
Isotype
IgG
Purity/Purification
Caprylic Acid Ammonium Sulfate Precipitation purified
Form/Format
Liquid
Sequence Length
625
Applicable Applications for anti-GCKR antibody
IHC (Immunohistochemistry), ELISA
Immunogen
Recombinant human Glucokinase regulatory protein(1-625aa)
Conjugation
Non-conjugated
Storage Buffer
Preservative: 0.03% Proclin 300; Constituents: 50% Glycerol, 0.01M PBS, PH 7.4
Santa Cruz Alternative
Potential replacement for Santa Cruz Biotechnology antibody catalog# sc-6340 / sc-11416
Preparation and Storage
Shipped at 4 degree C. Upon delivery, aliquot and store at -20 degree C or -80 degree C.
Related Product Information for anti-GCKR antibody
Inhibits glucokinase (GCK) by forming an inactive complex with this enzyme. The affinity of GCKR for GCK is modulated by fructose metabolites: GCKR with bound fructose 6-phosphate has increased affinity for GCK, while GCKR with bound fructose 1-phosphate has strongly decreased affinity for GCK and does not inhibit GCK activity.
This gene encodes a protein belonging to the GCKR subfamily of the SIS (Sugar ISomerase) family of proteins. The gene product is a regulatory protein that inhibits glucokinase in liver and pancreatic islet cells by binding non-covalently to form an inactive complex with the enzyme. This gene is considered a susceptibility gene candidate for a form of maturity-onset diabetes of the young (MODY).
This gene encodes a protein belonging to the GCKR subfamily of the SIS (Sugar ISomerase) family of proteins. The gene product is a regulatory protein that inhibits glucokinase in liver and pancreatic islet cells by binding non-covalently to form an inactive complex with the enzyme. This gene is considered a susceptibility gene candidate for a form of maturity-onset diabetes of the young (MODY).
NCBI and Uniprot Product Information
NCBI GI #
NCBI GeneID
NCBI Accession #
NCBI GenBank Nucleotide #
Molecular Weight
16,477 Da
NCBI Official Full Name
glucokinase regulatory protein
NCBI Official Synonym Full Names
glucokinase (hexokinase 4) regulator
NCBI Official Symbol
GCKR
NCBI Official Synonym Symbols
GKRP; FGQTL5
NCBI Protein Information
glucokinase regulatory protein
UniProt Protein Name
Glucokinase regulatory protein
UniProt Gene Name
GCKR
UniProt Synonym Gene Names
GKRP; Glucokinase regulator
UniProt Entry Name
GCKR_HUMAN
Customer Reviews
Loading reviews...
Share Your Experience
Similar Products
Product Notes
The GCKR gckr (Catalog #AAA230266) is an Antibody produced from Rabbit and is intended for research purposes only. The product is available for immediate purchase. The Rabbit anti-human Glucokinase regulatory polyclonal Antibody reacts with Human and may cross-react with other species as described in the data sheet. AAA Biotech's Glucokinase regulatory can be used in a range of immunoassay formats including, but not limited to, IHC (Immunohistochemistry), ELISA. Researchers should empirically determine the suitability of the GCKR gckr for an application not listed in the data sheet. Researchers commonly develop new applications and it is an integral, important part of the investigative research process. It is sometimes possible for the material contained within the vial of "Glucokinase regulatory, Polyclonal Antibody" to become dispersed throughout the inside of the vial, particularly around the seal of said vial, during shipment and storage. We always suggest centrifuging these vials to consolidate all of the liquid away from the lid and to the bottom of the vial prior to opening. Please be advised that certain products may require dry ice for shipping and that, if this is the case, an additional dry ice fee may also be required.Precautions
All products in the AAA Biotech catalog are strictly for research-use only, and are absolutely not suitable for use in any sort of medical, therapeutic, prophylactic, in-vivo, or diagnostic capacity. By purchasing a product from AAA Biotech, you are explicitly certifying that said products will be properly tested and used in line with industry standard. AAA Biotech and its authorized distribution partners reserve the right to refuse to fulfill any order if we have any indication that a purchaser may be intending to use a product outside of our accepted criteria.Disclaimer
Though we do strive to guarantee the information represented in this datasheet, AAA Biotech cannot be held responsible for any oversights or imprecisions. AAA Biotech reserves the right to adjust any aspect of this datasheet at any time and without notice. It is the responsibility of the customer to inform AAA Biotech of any product performance issues observed or experienced within 30 days of receipt of said product. To see additional details on this or any of our other policies, please see our Terms & Conditions page.Item has been added to Shopping Cart
If you are ready to order, navigate to Shopping Cart and get ready to checkout.
