Rabbit anti-Human Glucosidase 2 subunit beta Polyclonal Antibody | anti-PRKCSH antibody
Rabbit anti-human Glucosidase 2 subunit beta polyclonal Antibody
Gene Names
PRKCSH; PCLD; PLD1; G19P1; PKCSH; AGE-R2
Reactivity
Human
Applications
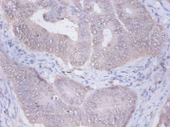
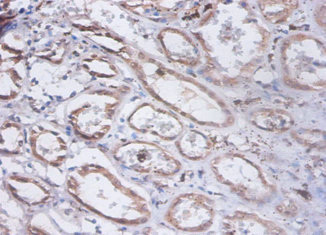
Immunohistochemistry, ELISA
Purity
Caprylic Acid Ammonium Sulfate Precipitation purified
Synonyms
Glucosidase 2 subunit beta, Antibody; Rabbit anti-human Glucosidase 2 subunit beta polyclonal Antibody; Glucosidase 2 subunit beta protein; Glucosidase 2 subunit beta; 80K-H protein; Glucosidase II subunit beta; Protein kinase C substrate 60.1 kDa protein heavy chain; PKCSH; PRKCSH; G19P1; anti-PRKCSH antibody
Host
Rabbit
Reactivity
Human
Clonality
Polyclonal
Isotype
IgG
Purity/Purification
Caprylic Acid Ammonium Sulfate Precipitation purified
Form/Format
Liquid
Sequence Length
525
Applicable Applications for anti-PRKCSH antibody
IHC (Immunohistochemistry), ELISA
Immunogen
Recombinant human Glucosidase 2 subunit beta protein
Conjugation
Non-conjugated
Storage Buffer
Preservative: 0.03% Proclin 300; Constituents: 50% Glycerol, 0.01M PBS, PH 7.4
Santa Cruz Alternative
Potential replacement for Santa Cruz Biotechnology antibody catalog# sc-6451 / sc-6452 / sc-20283 / sc-20280 / sc-20282 / sc-10774
Preparation and Storage
Shipped at 4 degree C. Upon delivery, aliquot and store at -20 degree C or -80 degree C.
Related Product Information for anti-PRKCSH antibody
Regulatory subunit of glucosidase II.
This gene encodes the beta-subunit of glucosidase II, an N-linked glycan-processing enzyme in the endoplasmic reticulum (ER). This protein is an acidic phospho-protein known to be a substrate for protein kinase C. Mutations in this gene have been associated with the autosomal dominant polycystic liver disease (PCLD). Alternatively spliced transcript variants encoding distinct isoforms have been observed.
This gene encodes the beta-subunit of glucosidase II, an N-linked glycan-processing enzyme in the endoplasmic reticulum (ER). This protein is an acidic phospho-protein known to be a substrate for protein kinase C. Mutations in this gene have been associated with the autosomal dominant polycystic liver disease (PCLD). Alternatively spliced transcript variants encoding distinct isoforms have been observed.
Product Categories/Family for anti-PRKCSH antibody
NCBI and Uniprot Product Information
NCBI GI #
NCBI GeneID
NCBI Accession #
NCBI GenBank Nucleotide #
Molecular Weight
59,178 Da
NCBI Official Full Name
glucosidase 2 subunit beta isoform 2
NCBI Official Synonym Full Names
protein kinase C substrate 80K-H
NCBI Official Symbol
PRKCSH
NCBI Official Synonym Symbols
PCLD; PLD1; G19P1; PKCSH; AGE-R2
NCBI Protein Information
glucosidase 2 subunit beta
UniProt Protein Name
Glucosidase 2 subunit beta
UniProt Gene Name
PRKCSH
UniProt Synonym Gene Names
G19P1; PKCSH
UniProt Entry Name
GLU2B_HUMAN
Customer Reviews
Loading reviews...
Share Your Experience
Similar Products
Product Notes
The PRKCSH prkcsh (Catalog #AAA229912) is an Antibody produced from Rabbit and is intended for research purposes only. The product is available for immediate purchase. The Rabbit anti-human Glucosidase 2 subunit beta polyclonal Antibody reacts with Human and may cross-react with other species as described in the data sheet. AAA Biotech's Glucosidase 2 subunit beta can be used in a range of immunoassay formats including, but not limited to, IHC (Immunohistochemistry), ELISA. Researchers should empirically determine the suitability of the PRKCSH prkcsh for an application not listed in the data sheet. Researchers commonly develop new applications and it is an integral, important part of the investigative research process. It is sometimes possible for the material contained within the vial of "Glucosidase 2 subunit beta, Polyclonal Antibody" to become dispersed throughout the inside of the vial, particularly around the seal of said vial, during shipment and storage. We always suggest centrifuging these vials to consolidate all of the liquid away from the lid and to the bottom of the vial prior to opening. Please be advised that certain products may require dry ice for shipping and that, if this is the case, an additional dry ice fee may also be required.Precautions
All products in the AAA Biotech catalog are strictly for research-use only, and are absolutely not suitable for use in any sort of medical, therapeutic, prophylactic, in-vivo, or diagnostic capacity. By purchasing a product from AAA Biotech, you are explicitly certifying that said products will be properly tested and used in line with industry standard. AAA Biotech and its authorized distribution partners reserve the right to refuse to fulfill any order if we have any indication that a purchaser may be intending to use a product outside of our accepted criteria.Disclaimer
Though we do strive to guarantee the information represented in this datasheet, AAA Biotech cannot be held responsible for any oversights or imprecisions. AAA Biotech reserves the right to adjust any aspect of this datasheet at any time and without notice. It is the responsibility of the customer to inform AAA Biotech of any product performance issues observed or experienced within 30 days of receipt of said product. To see additional details on this or any of our other policies, please see our Terms & Conditions page.Item has been added to Shopping Cart
If you are ready to order, navigate to Shopping Cart and get ready to checkout.
