Rabbit GLUD1 Polyclonal Antibody | anti-GLUD1 antibody
GLUD1 antibody - N-terminal region
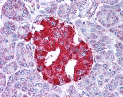
WB (Western Blot)
(GLUD1 antibody - N-terminal region validated by WB using HT1080 cell lysate at 1ug/ml.GLUD1 is strongly supported by BioGPS gene expression data to be expressed in Human HT1080 cells)
Target Description: L-glutamate dehydrogenase (EC 1.4.1.3) has a central role in nitrogen metabolism in plants and animals. Glutamate dehydrogenase is found in all organisms and catalyzes the oxidative deamination of 1-glutamate to 2-oxoglutarate. Glutamate, the main substrate of GLUD, is present in brain in concentrations higher than in other organs. In nervous tissue, GLUD appears to function in both the synthesis and the catabolism of glutamate and perhaps in ammonia detoxification. L-glutamate dehydrogenase (EC 1.4.1.3) has a central role in nitrogen metabolism in plants and animals. Glutamate dehydrogenase is found in all organisms and catalyzes the oxidative deamination of 1-glutamate to 2-oxoglutarate (Smith et al., 2001 [PubMed 11254391]). Glutamate, the main substrate of GLUD, is present in brain in concentrations higher than in other organs. In nervous tissue, GLUD appears to function in both the synthesis and the catabolism of glutamate and perhaps in ammonia detoxification (Mavrothalassitis et al., 1988 [PubMed 3368458]).[supplied by OMIM]. Publication Note: This RefSeq record includes a subset of the publications that are available for this gene. Please see the Entrez Gene record to access additional publications. PRIMARYREFSEQ_SPAN PRIMARY_IDENTIFIER PRIMARY_SPAN COMP 1-51 M20867.1 1-51 52-3120 BC112946.1 16-3084
NCBI and Uniprot Product Information
Customer Reviews
Loading reviews...
Share Your Experience
Similar Products
Product Notes
The GLUD1 glud1 (Catalog #AAA199599) is an Antibody produced from Rabbit and is intended for research purposes only. The product is available for immediate purchase. The GLUD1 antibody - N-terminal region reacts with Cow, Dog, Horse, Human, Mouse, Pig, Rat, Sheep, Yeast, Zebrafish and may cross-react with other species as described in the data sheet. AAA Biotech's GLUD1 can be used in a range of immunoassay formats including, but not limited to, WB (Western Blot), IHC (Immunohistochemistry). Researchers should empirically determine the suitability of the GLUD1 glud1 for an application not listed in the data sheet. Researchers commonly develop new applications and it is an integral, important part of the investigative research process. The amino acid sequence is listed below: Synthetic peptide located within the following region: EGFFDRGASI VEDKLVEDLR TRESEEQKRN RVRGILRIIK PCNHVLSLSF. It is sometimes possible for the material contained within the vial of "GLUD1, Polyclonal Antibody" to become dispersed throughout the inside of the vial, particularly around the seal of said vial, during shipment and storage. We always suggest centrifuging these vials to consolidate all of the liquid away from the lid and to the bottom of the vial prior to opening. Please be advised that certain products may require dry ice for shipping and that, if this is the case, an additional dry ice fee may also be required.Precautions
All products in the AAA Biotech catalog are strictly for research-use only, and are absolutely not suitable for use in any sort of medical, therapeutic, prophylactic, in-vivo, or diagnostic capacity. By purchasing a product from AAA Biotech, you are explicitly certifying that said products will be properly tested and used in line with industry standard. AAA Biotech and its authorized distribution partners reserve the right to refuse to fulfill any order if we have any indication that a purchaser may be intending to use a product outside of our accepted criteria.Disclaimer
Though we do strive to guarantee the information represented in this datasheet, AAA Biotech cannot be held responsible for any oversights or imprecisions. AAA Biotech reserves the right to adjust any aspect of this datasheet at any time and without notice. It is the responsibility of the customer to inform AAA Biotech of any product performance issues observed or experienced within 30 days of receipt of said product. To see additional details on this or any of our other policies, please see our Terms & Conditions page.Item has been added to Shopping Cart
If you are ready to order, navigate to Shopping Cart and get ready to checkout.
