Rabbit Glutamate--cysteine ligase catalytic subunit Polyclonal Antibody | anti-GCLC antibody
Anti-GCLC Antibody
Each vial contains 5mg BSA, 0.9mg NaCl, 0.2mg Na2HPO4, 0.05mg NaN3.
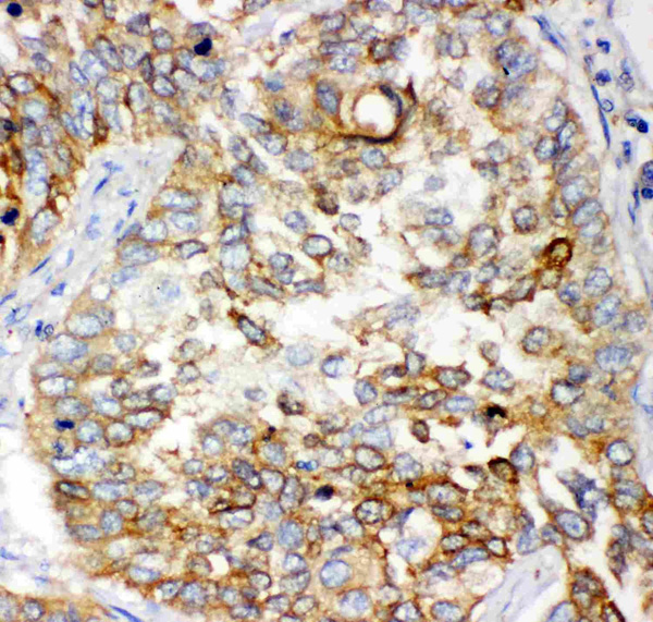
IHC (Immunohistochemistry)
(Anti- GCLC antibody, AAA46079, IHC(P)IHC(P): Human Mammary Cancer Tissue)
WB (Western Blot)
(Anti- GCLC antibody, AAA46079, Western blottingAll lanes: Anti GCLC (AAA46079) at 0.5ug/mlLane 1: Rat Brain Tissue Lysate at 50ugLane 2: Rat Cardiac Muscle Tissue Lysate at 50ugLane 3: HELA Cell Lysate at 40ugLane 4: PC-12 Whole Cell Lysate at 40ugLane 5: NRK Whole Cell Lysate at 40ugLane 6: HEPA Whole Cell Lysate at 40ugLane 7: A549 Whole Cell Lysate at 40ugPredicted bind size: 72KDObserved bind size: 72KD)
WB (Western Blot)
(Anti- GCLC antibody, AAA46079, Western blottingAll lanes: Anti GCLC (AAA46079) at 0.5ug/mlWB: Recombinant Human GCLC Protein 0.5ngPredicted bind size: 40KDObserved bind size: 40KD)
Background: GCLC, also named Glutamate--cysteine ligase catalytic subunit, is an enzyme that in humans is encoded by the GCLC gene. Glutamate-cysteine ligase, also known as gamma-glutamylcysteine synthetase is the first rate limiting enzyme of glutathione synthesis. The enzyme consists of two subunits, a heavy catalytic subunit and a light regulatory subunit. The gene encoding the catalytic subunit encodes a protein of 367 amino acids with a calculated molecular weight of 72.773 kDa and maps to chromosome 6p12.1. Deficiency of gamma-glutamylcysteine synthetase in human is associated with enzymopathic hemolytic anemia.
NCBI and Uniprot Product Information
Customer Reviews
Loading reviews...
Share Your Experience
Similar Products
Product Notes
The GCLC gclc (Catalog #AAA46079) is an Antibody produced from Rabbit and is intended for research purposes only. The product is available for immediate purchase. The Anti-GCLC Antibody reacts with Human, Rat. No cross reactivity with other proteins. and may cross-react with other species as described in the data sheet. AAA Biotech's Glutamate--cysteine ligase catalytic subunit can be used in a range of immunoassay formats including, but not limited to, IHC (Immunohistochemistry), WB (Western Blot). Researchers should empirically determine the suitability of the GCLC gclc for an application not listed in the data sheet. Researchers commonly develop new applications and it is an integral, important part of the investigative research process. It is sometimes possible for the material contained within the vial of "Glutamate--cysteine ligase catalytic subunit, Polyclonal Antibody" to become dispersed throughout the inside of the vial, particularly around the seal of said vial, during shipment and storage. We always suggest centrifuging these vials to consolidate all of the liquid away from the lid and to the bottom of the vial prior to opening. Please be advised that certain products may require dry ice for shipping and that, if this is the case, an additional dry ice fee may also be required.Precautions
All products in the AAA Biotech catalog are strictly for research-use only, and are absolutely not suitable for use in any sort of medical, therapeutic, prophylactic, in-vivo, or diagnostic capacity. By purchasing a product from AAA Biotech, you are explicitly certifying that said products will be properly tested and used in line with industry standard. AAA Biotech and its authorized distribution partners reserve the right to refuse to fulfill any order if we have any indication that a purchaser may be intending to use a product outside of our accepted criteria.Disclaimer
Though we do strive to guarantee the information represented in this datasheet, AAA Biotech cannot be held responsible for any oversights or imprecisions. AAA Biotech reserves the right to adjust any aspect of this datasheet at any time and without notice. It is the responsibility of the customer to inform AAA Biotech of any product performance issues observed or experienced within 30 days of receipt of said product. To see additional details on this or any of our other policies, please see our Terms & Conditions page.Item has been added to Shopping Cart
If you are ready to order, navigate to Shopping Cart and get ready to checkout.
