Rabbit Glutamyl Aminopeptidase Polyclonal Antibody | anti-GluAP antibody
Polyclonal Antibody to Glutamyl Aminopeptidase (GluAP)
Gene Names
ENPEP; APA; CD249; gp160
Reactivity
Human, Mouse, Rat
Applications
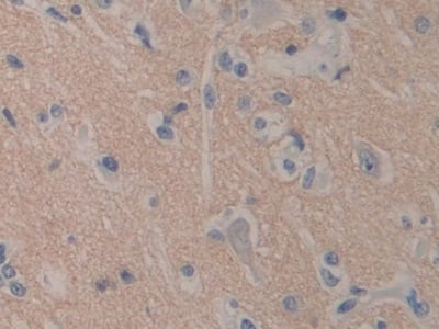
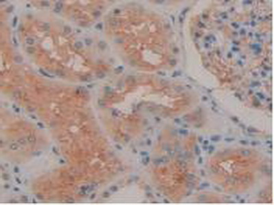
ELISA, Immunohistochemistry, Immunocytochemistry, Western Blot
Purity
Affinity Chromatography
Synonyms
Glutamyl Aminopeptidase, Antibody; Polyclonal Antibody to Glutamyl Aminopeptidase (GluAP); anti-GluAP antibody
Host
Rabbit
Reactivity
Human, Mouse, Rat
Clonality
Polyclonal
Specificity
The antibody is a rabbit polyclonal antibody raised against GluAP. It has beenselected for its ability to recognize GluAP in immunohistochemical staining andwestern blotting.
Purity/Purification
Affinity Chromatography
Form/Format
Liquid
Concentration
500ug/mL (varies by lot)
Applicable Applications for anti-GluAP antibody
ELISA, IHC (Immunohistochemistry), ICC (Immunocytochemistry), WB (Western Blot)
Fragment
GluAP (Glu718~Glu948)
Organism Species
Homo sapiens (Human)
Cross Reactivity
Human
Conjugate
No Conjugate
Immunogen
Recombinant GluAP (Glu718~Glu948) expressed in E Coli.
Conjugated Antibody
The APC conjugated antibody version of this item is also available as
Preparation and Storage
Store at 4 degree C for frequent use. Stored at -20 degree C to -80 degree C in a manual defrost freezer for one year without detectable loss of activity. Avoid repeated freeze-thaw cycles.
NCBI and Uniprot Product Information
NCBI GI #
NCBI GeneID
NCBI Accession #
NCBI GenBank Nucleotide #
Molecular Weight
109,244 Da
NCBI Official Full Name
glutamyl aminopeptidase
NCBI Official Synonym Full Names
glutamyl aminopeptidase
NCBI Official Symbol
ENPEP
NCBI Official Synonym Symbols
APA; CD249; gp160
NCBI Protein Information
glutamyl aminopeptidase
UniProt Protein Name
Glutamyl aminopeptidase
UniProt Gene Name
ENPEP
UniProt Synonym Gene Names
EAP; AP-A
Customer Reviews
Loading reviews...
Share Your Experience
Similar Products
Product Notes
The GluAP enpep (Catalog #AAA142758) is an Antibody produced from Rabbit and is intended for research purposes only. The product is available for immediate purchase. The Polyclonal Antibody to Glutamyl Aminopeptidase (GluAP) reacts with Human, Mouse, Rat and may cross-react with other species as described in the data sheet. AAA Biotech's Glutamyl Aminopeptidase can be used in a range of immunoassay formats including, but not limited to, ELISA, IHC (Immunohistochemistry), ICC (Immunocytochemistry), WB (Western Blot). Researchers should empirically determine the suitability of the GluAP enpep for an application not listed in the data sheet. Researchers commonly develop new applications and it is an integral, important part of the investigative research process. It is sometimes possible for the material contained within the vial of "Glutamyl Aminopeptidase, Polyclonal Antibody" to become dispersed throughout the inside of the vial, particularly around the seal of said vial, during shipment and storage. We always suggest centrifuging these vials to consolidate all of the liquid away from the lid and to the bottom of the vial prior to opening. Please be advised that certain products may require dry ice for shipping and that, if this is the case, an additional dry ice fee may also be required.Precautions
All products in the AAA Biotech catalog are strictly for research-use only, and are absolutely not suitable for use in any sort of medical, therapeutic, prophylactic, in-vivo, or diagnostic capacity. By purchasing a product from AAA Biotech, you are explicitly certifying that said products will be properly tested and used in line with industry standard. AAA Biotech and its authorized distribution partners reserve the right to refuse to fulfill any order if we have any indication that a purchaser may be intending to use a product outside of our accepted criteria.Disclaimer
Though we do strive to guarantee the information represented in this datasheet, AAA Biotech cannot be held responsible for any oversights or imprecisions. AAA Biotech reserves the right to adjust any aspect of this datasheet at any time and without notice. It is the responsibility of the customer to inform AAA Biotech of any product performance issues observed or experienced within 30 days of receipt of said product. To see additional details on this or any of our other policies, please see our Terms & Conditions page.Item has been added to Shopping Cart
If you are ready to order, navigate to Shopping Cart and get ready to checkout.
