Rabbit Glutathione peroxidase 1 Polyclonal Antibody | anti-GPX1 antibody
Anti-GPX1 Antibody
Each vial contains 5mg BSA, 0.9mg NaCl, 0.2mg Na2HPO4, 0.05mg Thimerosal, 0.05mg NaN3.
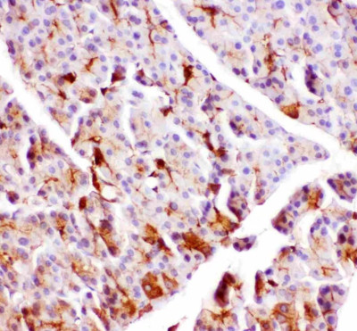
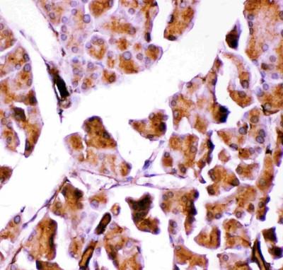
IHC (Immunohistochemistry)
(Anti- GPX1 antibody, AAA46015, IHC(P)IHC(P): Human Intestinal Cancer Tissue)
WB (Western Blot)
(Anti- GPX1 antibody, AAA46015, Western blottingAll lanes: Anti GPX1 (AAA46015) at 0.5ug/mlLane 1: Rat Kidney Tissue Lysate at 50ugLane 2: Mouse Kidney Tissue Lysate at 50ugLane 3: Rat Spleen Tissue Lysate at 50ugLane 4: HELA Whole Cell Lysate at 40ugLane 5: JURKAT Whole Cell Lysate at 40ugPredicted bind size: 22,44KDObserved bind size: 22,44KD)
WB (Western Blot)
(Anti- GPX1 antibody, AAA46015, Western blottingAll lanes: Anti GPX1 (AAA46015) at 0.5ug/mlWB: Recombinant Human GPX1 Protein 0.5ngPredicted bind size: 36KDObserved bind size: 36KD)
Background: Glutathione peroxidase 1, also known as, GPX-1 is an enzyme that in humans is encoded by the GPX1 gene. It is mapped to 3p21.31. This gene encodes a member of the glutathione peroxidase family, consisting of eight known glutathione peroxidases (Gpx1-8) in humans. Glutathione peroxidase functions in the detoxification of hydrogen peroxide, and is one of the most important antioxidant enzymes in humans. It has been reported that the protein encoded by this gene protects from CD95-induced apoptosis in cultured breast cancer cells and inhibits 5-lipoxygenase in blood cells, and its overexpression delays endothelial cell growth and increases resistance to toxic challenges. GPX1 is one of only a few proteins known in higher vertebrates to contain selenocysteine, which occurs at the active site of glutathione peroxidase and is coded by the nonsense (stop) codon TGA.
NCBI and Uniprot Product Information
Customer Reviews
Loading reviews...
Share Your Experience
Similar Products
Product Notes
The GPX1 gpx1 (Catalog #AAA46015) is an Antibody produced from Rabbit and is intended for research purposes only. The product is available for immediate purchase. The Anti-GPX1 Antibody reacts with Human, Mouse, Rat. No cross reactivity with other proteins. and may cross-react with other species as described in the data sheet. AAA Biotech's Glutathione peroxidase 1 can be used in a range of immunoassay formats including, but not limited to, IHC (Immunohistochemistry), WB (Western Blot). Researchers should empirically determine the suitability of the GPX1 gpx1 for an application not listed in the data sheet. Researchers commonly develop new applications and it is an integral, important part of the investigative research process. It is sometimes possible for the material contained within the vial of "Glutathione peroxidase 1, Polyclonal Antibody" to become dispersed throughout the inside of the vial, particularly around the seal of said vial, during shipment and storage. We always suggest centrifuging these vials to consolidate all of the liquid away from the lid and to the bottom of the vial prior to opening. Please be advised that certain products may require dry ice for shipping and that, if this is the case, an additional dry ice fee may also be required.Precautions
All products in the AAA Biotech catalog are strictly for research-use only, and are absolutely not suitable for use in any sort of medical, therapeutic, prophylactic, in-vivo, or diagnostic capacity. By purchasing a product from AAA Biotech, you are explicitly certifying that said products will be properly tested and used in line with industry standard. AAA Biotech and its authorized distribution partners reserve the right to refuse to fulfill any order if we have any indication that a purchaser may be intending to use a product outside of our accepted criteria.Disclaimer
Though we do strive to guarantee the information represented in this datasheet, AAA Biotech cannot be held responsible for any oversights or imprecisions. AAA Biotech reserves the right to adjust any aspect of this datasheet at any time and without notice. It is the responsibility of the customer to inform AAA Biotech of any product performance issues observed or experienced within 30 days of receipt of said product. To see additional details on this or any of our other policies, please see our Terms & Conditions page.Item has been added to Shopping Cart
If you are ready to order, navigate to Shopping Cart and get ready to checkout.
