Rabbit Glycogen Synthase Polyclonal Antibody | anti-GYS1 antibody
Phospho-Glycogen Synthase (Ser645) Antibody
Phosphate buffered saline, pH 7.4, 150mM NaCl, 0.02% sodium azide and 50% glycerol.
WB (Western Blot)
(Western blot analysis of Glycogen Synthase phosphorylation expression in PMA treated NIH-3T3 whole cell lysates, The lane on the left is treated with the antigen-specific peptide.)
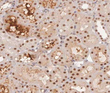
IHC (Immunohistochemisry)
(AAA321520 at 1/200 staining human kidney tissue sections by IHC-P. The tissue was formaldehyde fixed and a heat mediated antigen retrieval step in citrate buffer was performed. The tissue was then blocked and incubated with the antibody for 1.5 hours at 22 degree C. An HRP conjugated goat anti-rabbit antibody was used as the secondary.)
WB (Western Blot)
(Western blot analysis of Phospho-Glycogen Synthase (Ser645) Antibody expression in PMA treated NIH-3T3 cells lysates.The lane on the right is treated with the antigen-specific peptide.)
IF (Immunofluorescence)
(AAA321520 staining NIH-3T3 by IF/ICC. The sample were fixed with PFA and permeabilized in 0.1% Triton X-100, then blocked in 10% serum for 45 minutes at 25 degree C. The primary antibody was diluted at 1/200 and incubated with the sample for 1 hour at 37 degree C. An Alexa Fluor 594 conjugated goat anti-rabbit IgG (H+L) Ab, diluted at 1/600, was used as the secondary antibody.)
Function: Transfers the glycosyl residue from UDP-Glc to the non-reducing end of alpha-1, 4-glucan.
Subunit Structure: Interacts with GYG1.
Post-translational Modifications: Phosphorylation at Ser-8 by AMPK inactivates the enzyme activity. Primed phosphorylation at Ser-657 (site 5) by CSNK2A1 and CSNK2A2 is required for inhibitory phosphorylation at Ser-641 (site 3a), Ser-645 (site 3b), Ser-649 (site 3c) and Ser-653 (site 4) by GSK3A an GSK3B (By similarity). Phosphorylated at Ser-641 by DYRK2, leading to inactivation (By similarity). Phosphorylated at Ser-641 by PASK, leading to inactivation; phosphorylation by PASK is inhibited by glycogen. Dephosphorylation at Ser-641 and Ser-645 by PP1 activates the enzyme.
Similarity: Belongs to the glycosyltransferase 3 family.
NCBI and Uniprot Product Information
Predicted: 84 kDa
Customer Reviews
Loading reviews...
Share Your Experience
Similar Products
Product Notes
The GYS1 gys1 (Catalog #AAA321520) is an Antibody produced from Rabbit and is intended for research purposes only. The product is available for immediate purchase. The Phospho-Glycogen Synthase (Ser645) Antibody reacts with Human, Mouse, Rat and may cross-react with other species as described in the data sheet. AAA Biotech's Glycogen Synthase can be used in a range of immunoassay formats including, but not limited to, ELISA, ICC (Immunocytochemistry), IF (Immunofluorescence), IHC (Immunohistochemistry), WB (Western Blot). Researchers should empirically determine the suitability of the GYS1 gys1 for an application not listed in the data sheet. Researchers commonly develop new applications and it is an integral, important part of the investigative research process. It is sometimes possible for the material contained within the vial of "Glycogen Synthase, Polyclonal Antibody" to become dispersed throughout the inside of the vial, particularly around the seal of said vial, during shipment and storage. We always suggest centrifuging these vials to consolidate all of the liquid away from the lid and to the bottom of the vial prior to opening. Please be advised that certain products may require dry ice for shipping and that, if this is the case, an additional dry ice fee may also be required.Precautions
All products in the AAA Biotech catalog are strictly for research-use only, and are absolutely not suitable for use in any sort of medical, therapeutic, prophylactic, in-vivo, or diagnostic capacity. By purchasing a product from AAA Biotech, you are explicitly certifying that said products will be properly tested and used in line with industry standard. AAA Biotech and its authorized distribution partners reserve the right to refuse to fulfill any order if we have any indication that a purchaser may be intending to use a product outside of our accepted criteria.Disclaimer
Though we do strive to guarantee the information represented in this datasheet, AAA Biotech cannot be held responsible for any oversights or imprecisions. AAA Biotech reserves the right to adjust any aspect of this datasheet at any time and without notice. It is the responsibility of the customer to inform AAA Biotech of any product performance issues observed or experienced within 30 days of receipt of said product. To see additional details on this or any of our other policies, please see our Terms & Conditions page.Item has been added to Shopping Cart
If you are ready to order, navigate to Shopping Cart and get ready to checkout.
