Rabbit GOLGA2 Polyclonal Antibody | anti-GOLGA2 antibody
GOLGA2 Antibody
Phosphate buffered saline, pH 7.4, 150mM NaCl, 0.02% sodium azide and 50% glycerol.
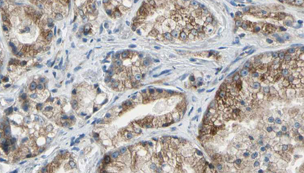
IHC (Immunohiostchemistry)
(AAA326989 at 1/100 staining Human prostate tissue by IHC-P. The sample was formaldehyde fixed and a heat mediated antigen retrieval step in citrate buffer was performed. The sample was then blocked and incubated with the antibody for 1.5 hours at 22 degree C. An HRP conjugated goat anti-rabbit antibody was used as the secondary.)
WB (Western Blot)
(Western blot analysis of Hela whole cell lysates, using GOLGA2 Antibody. The lane on the left is treated with the antigen-specific peptide.)
Function: Peripheral membrane component of the cis-Golgi stack that acts as a membrane skeleton that maintains the structure of the Golgi apparatus, and as a vesicle thether that facilitates vesicle fusion to the Golgi membrane. Together with p115/USO1 and STX5, involved in vesicle tethering and fusion at the cis-Golgi membrane to maintain the stacked and inter-connected structure of the Golgi apparatus. Plays a central role in mitotic Golgi disassembly: phosphorylation at Ser-37 by CDK1 at the onset of mitosis inhibits the interaction with p115/USO1, preventing tethering of COPI vesicles and thereby inhibiting transport through the Golgi apparatus during mitosis (By similarity). Also plays a key role in spindle pole assembly and centrosome organization (PubMed:26165940). Promotes the mitotic spindle pole assembly by activating the spindle assembly factor TPX2 to nucleate microtubules around the Golgi and capture them to couple mitotic membranes to the spindle: upon phosphorylation at the onset of mitosis, GOLGA2 interacts with importin-alpha via the nuclear localization signal region, leading to recruit importin-alpha to the Golgi membranes and liberate the spindle assembly factor TPX2 from importin-alpha. TPX2 then activates AURKA kinase and stimulates local microtubule nucleation. Upon filament assembly, nascent microtubules are further captured by GOLGA2, thus linking Golgi membranes to the spindle (PubMed:19242490, PubMed:26165940). Regulates the meiotic spindle pole assembly, probably via the same mechanism (By similarity). Also regulates the centrosome organization (PubMed:18045989, PubMed:19109421). Also required for the Golgi ribbon formation and glycosylation of membrane and secretory proteins (PubMed:16489344, PubMed:17314401).
Subunit Structure: Part of a larger oligomeric complex (By similarity). Interacts with p115/USO1 (By similarity). Interacts with RAB1B that has been activated by GTP-binding (PubMed:11306556). Interacts with GORASP1/GRASP65 (PubMed:16489344, PubMed:18045989). Interacts with ZFPL1 (PubMed:18323775). Interacts with AKAP450/AKAP9; leading to recruit AKAP450/AKAP9 to the cis-Golgi (PubMed:19242490).
Post-translational Modifications: Cleaved by caspases at the onset of apoptosis. Methylation by PRMT5 is required for Golgi ribbon formation. While dimethylation at Arg-30 and Arg-35 are confirmed in vivo, it is unclear whether Arg-18 is methylated in vivo. Phosphorylated at Ser-37 by CDK1 at the onset of mitosis, inhibiting the interaction with p115/USO1 and triggering Golgi disassembly (PubMed:20421892, PubMed:26165940). Phosphorylated at Ser-37 in prophase as the Golgi complex starts to break down, and remains phosphorylated during further breakdown and partitioning of the Golgi fragments in metaphase and anaphase. In telophase, GM130 is dephosphorylated by PP2A as the Golgi fragments start to reassemble (By similarity).
Similarity: The nuclear localization signal (cNLS) mediates interaction with importin-alpha, recruiting importin-alpha to the Golgi membrane and liberating TPX2. Belongs to the GOLGA2 family.
NCBI and Uniprot Product Information
Predicted: 114 kDa
Customer Reviews
Loading reviews...
Share Your Experience
Similar Products
Product Notes
The GOLGA2 golga2 (Catalog #AAA326989) is an Antibody produced from Rabbit and is intended for research purposes only. The product is available for immediate purchase. The GOLGA2 Antibody reacts with Human, Mouse, Rat and may cross-react with other species as described in the data sheet. AAA Biotech's GOLGA2 can be used in a range of immunoassay formats including, but not limited to, ELISA, IHC (Immunohistochemistry), WB (Western Blot). Researchers should empirically determine the suitability of the GOLGA2 golga2 for an application not listed in the data sheet. Researchers commonly develop new applications and it is an integral, important part of the investigative research process. It is sometimes possible for the material contained within the vial of "GOLGA2, Polyclonal Antibody" to become dispersed throughout the inside of the vial, particularly around the seal of said vial, during shipment and storage. We always suggest centrifuging these vials to consolidate all of the liquid away from the lid and to the bottom of the vial prior to opening. Please be advised that certain products may require dry ice for shipping and that, if this is the case, an additional dry ice fee may also be required.Precautions
All products in the AAA Biotech catalog are strictly for research-use only, and are absolutely not suitable for use in any sort of medical, therapeutic, prophylactic, in-vivo, or diagnostic capacity. By purchasing a product from AAA Biotech, you are explicitly certifying that said products will be properly tested and used in line with industry standard. AAA Biotech and its authorized distribution partners reserve the right to refuse to fulfill any order if we have any indication that a purchaser may be intending to use a product outside of our accepted criteria.Disclaimer
Though we do strive to guarantee the information represented in this datasheet, AAA Biotech cannot be held responsible for any oversights or imprecisions. AAA Biotech reserves the right to adjust any aspect of this datasheet at any time and without notice. It is the responsibility of the customer to inform AAA Biotech of any product performance issues observed or experienced within 30 days of receipt of said product. To see additional details on this or any of our other policies, please see our Terms & Conditions page.Item has been added to Shopping Cart
If you are ready to order, navigate to Shopping Cart and get ready to checkout.
