Rabbit GPCR GPR43 / FFAR2 Polyclonal Antibody | anti-GPCR GPR43 antibody
GPCR GPR43 Antibody
Gene Names
FFAR2; FFA2R; GPR43
Reactivity
Human, Monkey
Applications
Western Blot, Immunoprecipitation, Immunohistochemistry, ELISA, Dot Blot
Synonyms
GPCR GPR43 / FFAR2, Antibody; GPCR GPR43 Antibody; FFA2R; free fatty acid activated receptor 2; Free fatty acid receptor 2; G-protein coupled receptor 43; GPR 43 antibody; anti-GPCR GPR43 antibody
Host
Rabbit
Reactivity
Human, Monkey
Clonality
Polyclonal
Form/Format
Affinity Purified
Concentration
0.58-0.59 ug/ul in antibody stabilization buffer (varies by lot)
Sequence Length
330
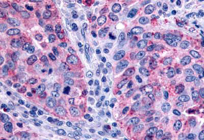
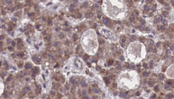
Applicable Applications for anti-GPCR GPR43 antibody
WB (Western Blot), IP (Immunoprecipitation), IHC (Immunohistochemistry), ELISA, DB (Dot Blot)
Immunogen
Synthetic peptide taken within amino acid region 280-330 on human free fatty acid receptor 2 protein.
Expression
Detected in whole wall and separated mucosa in the distal ileum and colon. Expressed by enteroendocrine cells expressing peptide YY (PYY) (at protein level).
Determinant
C-epitope
Molecular Function
G-protein coupled receptor, Receptor, Transducer
Structure
Interacts with FCN1 (via Fibrinogen C-terminal domain).
Subcellular Location
Cell membrane; Multi-pass membrane protein
Preparation and Storage
-20 degree C for long term storage
Related Product Information for anti-GPCR GPR43 antibody
Affinity Purified Free fatty acid receptor 2 Antibody C-epitope
G protein-coupled receptor that is activated by a major product of dietary fiber digestion, the short chain fatty acids (SCFAs), and that plays a role in the regulation of whole-body energy homeostasis and in intestinal immunity. In omnivorous mammals, the short chain fatty acids acetate, propionate and butyrate are produced primarily by the gut microbiome that metabolizes dietary fibers. SCFAs serve as a source of energy but also act as signaling molecules. That G protein-coupled receptor is probably coupled to the pertussis toxin-sensitive, G(i/o)-alpha family of G proteins but also to the Gq family.
G protein-coupled receptor that is activated by a major product of dietary fiber digestion, the short chain fatty acids (SCFAs), and that plays a role in the regulation of whole-body energy homeostasis and in intestinal immunity. In omnivorous mammals, the short chain fatty acids acetate, propionate and butyrate are produced primarily by the gut microbiome that metabolizes dietary fibers. SCFAs serve as a source of energy but also act as signaling molecules. That G protein-coupled receptor is probably coupled to the pertussis toxin-sensitive, G(i/o)-alpha family of G proteins but also to the Gq family.
Product Categories/Family for anti-GPCR GPR43 antibody
NCBI and Uniprot Product Information
NCBI GI #
NCBI GeneID
NCBI Accession #
NCBI GenBank Nucleotide #
Molecular Weight
37,144 Da
NCBI Official Full Name
free fatty acid receptor 2
NCBI Official Synonym Full Names
free fatty acid receptor 2
NCBI Official Symbol
FFAR2
NCBI Official Synonym Symbols
FFA2R; GPR43
NCBI Protein Information
free fatty acid receptor 2
UniProt Protein Name
Free fatty acid receptor 2
UniProt Gene Name
FFAR2
UniProt Synonym Gene Names
FFA2; GPCR43; GPR43
UniProt Entry Name
FFAR2_HUMAN
Customer Reviews
Loading reviews...
Share Your Experience
Similar Products
Product Notes
The GPCR GPR43 ffar2 (Catalog #AAA75872) is an Antibody produced from Rabbit and is intended for research purposes only. The product is available for immediate purchase. The GPCR GPR43 Antibody reacts with Human, Monkey and may cross-react with other species as described in the data sheet. AAA Biotech's GPCR GPR43 / FFAR2 can be used in a range of immunoassay formats including, but not limited to, WB (Western Blot), IP (Immunoprecipitation), IHC (Immunohistochemistry), ELISA, DB (Dot Blot). Researchers should empirically determine the suitability of the GPCR GPR43 ffar2 for an application not listed in the data sheet. Researchers commonly develop new applications and it is an integral, important part of the investigative research process. It is sometimes possible for the material contained within the vial of "GPCR GPR43 / FFAR2, Polyclonal Antibody" to become dispersed throughout the inside of the vial, particularly around the seal of said vial, during shipment and storage. We always suggest centrifuging these vials to consolidate all of the liquid away from the lid and to the bottom of the vial prior to opening. Please be advised that certain products may require dry ice for shipping and that, if this is the case, an additional dry ice fee may also be required.Precautions
All products in the AAA Biotech catalog are strictly for research-use only, and are absolutely not suitable for use in any sort of medical, therapeutic, prophylactic, in-vivo, or diagnostic capacity. By purchasing a product from AAA Biotech, you are explicitly certifying that said products will be properly tested and used in line with industry standard. AAA Biotech and its authorized distribution partners reserve the right to refuse to fulfill any order if we have any indication that a purchaser may be intending to use a product outside of our accepted criteria.Disclaimer
Though we do strive to guarantee the information represented in this datasheet, AAA Biotech cannot be held responsible for any oversights or imprecisions. AAA Biotech reserves the right to adjust any aspect of this datasheet at any time and without notice. It is the responsibility of the customer to inform AAA Biotech of any product performance issues observed or experienced within 30 days of receipt of said product. To see additional details on this or any of our other policies, please see our Terms & Conditions page.Item has been added to Shopping Cart
If you are ready to order, navigate to Shopping Cart and get ready to checkout.
