Rabbit GPR124 Polyclonal Antibody | anti-GPR124 antibody
GPR124 Polyclonal Antibody
Gene Names
GPR124; TEM5
Reactivity
Human, Mouse, Rat
Applications
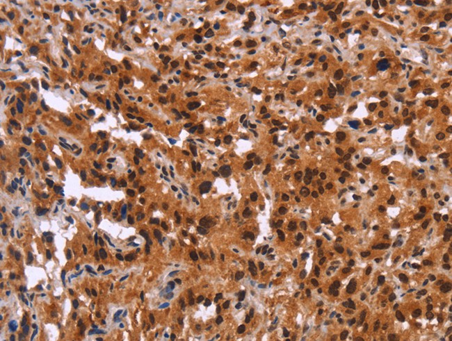
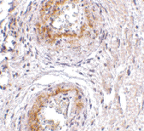
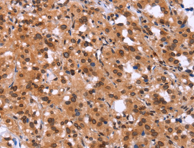
Immunohistochemistry, ELISA
Purity
Antigen affinity purification
Synonyms
GPR124, Antibody; GPR124 Polyclonal Antibody; TEM5; anti-GPR124 antibody
Host
Rabbit
Reactivity
Human, Mouse, Rat
Clonality
Polyclonal
Isotype
IgG
Purity/Purification
Antigen affinity purification
Concentration
2.2mg/mL (varies by lot)
Sequence Length
1114
Applicable Applications for anti-GPR124 antibody
IHC (Immunohistochemistry), ELISA
Immunogen
Synthetic peptide of human GPR124
Buffer
PBS with 0.05% sodium azide, 50% glycerol, pH7.3
Preparation and Storage
Store at -20 degree C (regular) and -80 degree C (long term). Avoid freeze / thaw cycles.
Related Product Information for anti-GPR124 antibody
Tumor endothelial markers (TEMs) are abundantly expressed in the blood vessels of human solid tumors during angiogenesis and neoangiogensis. These include TEM1 (endosialin), TEM5 (G-protein coupled receptor 124) and TEM7 (plexin domain containing 1). TEMs are associated with the cell surface membrane at low levels in normal human and mouse tissues. TEM5 is a seven-pass transmembrane receptor, whereas TEM1, TEM7 and TEM8 span the membrane once. TEM5 expression is elevated during tumor angiogenesis and neoangiogenesis. TEM7 is highly expressed in tumor endothelium and neurons. Therefore, TEM5 and TEM7 may be suitable targets for the development of antiangiogenic therapies.
NCBI and Uniprot Product Information
NCBI GI #
NCBI GeneID
Molecular Weight
19,530 Da
NCBI Official Full Name
GPR124 protein
NCBI Official Synonym Full Names
G protein-coupled receptor 124
NCBI Official Symbol
GPR124
NCBI Official Synonym Symbols
TEM5
NCBI Protein Information
G-protein coupled receptor 124; tumor endothelial marker 5
UniProt Protein Name
G-protein coupled receptor 124
UniProt Gene Name
GPR124
UniProt Synonym Gene Names
KIAA1531; TEM5
UniProt Entry Name
GP124_HUMAN
Customer Reviews
Loading reviews...
Share Your Experience
Similar Products
Product Notes
The GPR124 gpr124 (Catalog #AAA170431) is an Antibody produced from Rabbit and is intended for research purposes only. The product is available for immediate purchase. The GPR124 Polyclonal Antibody reacts with Human, Mouse, Rat and may cross-react with other species as described in the data sheet. AAA Biotech's GPR124 can be used in a range of immunoassay formats including, but not limited to, IHC (Immunohistochemistry), ELISA. Researchers should empirically determine the suitability of the GPR124 gpr124 for an application not listed in the data sheet. Researchers commonly develop new applications and it is an integral, important part of the investigative research process. It is sometimes possible for the material contained within the vial of "GPR124, Polyclonal Antibody" to become dispersed throughout the inside of the vial, particularly around the seal of said vial, during shipment and storage. We always suggest centrifuging these vials to consolidate all of the liquid away from the lid and to the bottom of the vial prior to opening. Please be advised that certain products may require dry ice for shipping and that, if this is the case, an additional dry ice fee may also be required.Precautions
All products in the AAA Biotech catalog are strictly for research-use only, and are absolutely not suitable for use in any sort of medical, therapeutic, prophylactic, in-vivo, or diagnostic capacity. By purchasing a product from AAA Biotech, you are explicitly certifying that said products will be properly tested and used in line with industry standard. AAA Biotech and its authorized distribution partners reserve the right to refuse to fulfill any order if we have any indication that a purchaser may be intending to use a product outside of our accepted criteria.Disclaimer
Though we do strive to guarantee the information represented in this datasheet, AAA Biotech cannot be held responsible for any oversights or imprecisions. AAA Biotech reserves the right to adjust any aspect of this datasheet at any time and without notice. It is the responsibility of the customer to inform AAA Biotech of any product performance issues observed or experienced within 30 days of receipt of said product. To see additional details on this or any of our other policies, please see our Terms & Conditions page.Item has been added to Shopping Cart
If you are ready to order, navigate to Shopping Cart and get ready to checkout.
