Rabbit anti-Human GPR68 Polyclonal Antibody | anti-GPR68 antibody
GPR68 Antibody
Gene Names
GPR68; OGR1; GPR12A
Reactivity
Human
Applications
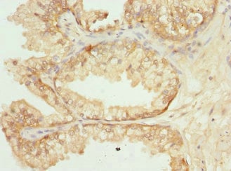
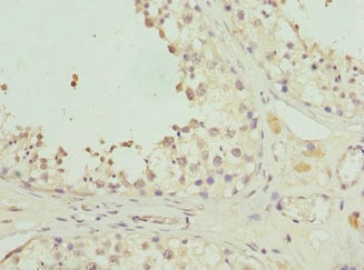
Immunohistochemistry, ELISA
Purity
Antigen Affinity Purified
Synonyms
GPR68, Antibody; GPR68 Antibody; Ovarian cancer G-protein coupled receptor 1; OGR-1; G-protein coupled receptor 68; GPR12A; Sphingosylphosphorylcholine receptor; GPR68; OGR1; anti-GPR68 antibody
Host
Rabbit
Reactivity
Human
Clonality
Polyclonal
Isotype
IgG
Purity/Purification
Antigen Affinity Purified
Form/Format
Liquid
Sequence Length
365
Applicable Applications for anti-GPR68 antibody
IHC (Immunohistochemistry), ELISA
Species
Human
Immunogen
Recombinant human Ovarian cancer G-protein coupled receptor 1 protein (C-90AA)
Conjugate
Non-conjugated
Buffer
PBS with 0.02% sodium azide, 50% glycerol, pH7.3.
Santa Cruz Alternative
Potential replacement for Santa Cruz Biotechnology antibody catalog# sc-79622 / sc-79624 / sc-98437
Preparation and Storage
Upon receipt aliquot and store at -20 degree C or -80 degree C. Avoid repeated freeze.
Related Product Information for anti-GPR68 antibody
Proton-sensing receptor involved in pH homeostasis. May represents an osteoblastic pH sensor regulating cell-mediated responses to acidosis in bone. Mediates its action by association with G proteins that stimulates inositol phosphate (IP) production or Ca(2+) mobilization. The receptor is almost silent at pH 7.8 but fully activated at pH 6.8. Function also as a metastasis suppressor gene in prostate cancer (By similarity).
NCBI and Uniprot Product Information
NCBI GI #
NCBI GeneID
NCBI Accession #
NCBI GenBank Nucleotide #
NCBI Official Full Name
ovarian cancer G-protein coupled receptor 1
NCBI Official Synonym Full Names
G protein-coupled receptor 68
NCBI Official Symbol
GPR68
NCBI Official Synonym Symbols
OGR1; GPR12A
NCBI Protein Information
ovarian cancer G-protein coupled receptor 1
UniProt Protein Name
Ovarian cancer G-protein coupled receptor 1
UniProt Gene Name
GPR68
UniProt Synonym Gene Names
OGR1; OGR-1
UniProt Entry Name
OGR1_HUMAN
Customer Reviews
Loading reviews...
Share Your Experience
Similar Products
Product Notes
The GPR68 gpr68 (Catalog #AAA231421) is an Antibody produced from Rabbit and is intended for research purposes only. The product is available for immediate purchase. The GPR68 Antibody reacts with Human and may cross-react with other species as described in the data sheet. AAA Biotech's GPR68 can be used in a range of immunoassay formats including, but not limited to, IHC (Immunohistochemistry), ELISA. Researchers should empirically determine the suitability of the GPR68 gpr68 for an application not listed in the data sheet. Researchers commonly develop new applications and it is an integral, important part of the investigative research process. It is sometimes possible for the material contained within the vial of "GPR68, Polyclonal Antibody" to become dispersed throughout the inside of the vial, particularly around the seal of said vial, during shipment and storage. We always suggest centrifuging these vials to consolidate all of the liquid away from the lid and to the bottom of the vial prior to opening. Please be advised that certain products may require dry ice for shipping and that, if this is the case, an additional dry ice fee may also be required.Precautions
All products in the AAA Biotech catalog are strictly for research-use only, and are absolutely not suitable for use in any sort of medical, therapeutic, prophylactic, in-vivo, or diagnostic capacity. By purchasing a product from AAA Biotech, you are explicitly certifying that said products will be properly tested and used in line with industry standard. AAA Biotech and its authorized distribution partners reserve the right to refuse to fulfill any order if we have any indication that a purchaser may be intending to use a product outside of our accepted criteria.Disclaimer
Though we do strive to guarantee the information represented in this datasheet, AAA Biotech cannot be held responsible for any oversights or imprecisions. AAA Biotech reserves the right to adjust any aspect of this datasheet at any time and without notice. It is the responsibility of the customer to inform AAA Biotech of any product performance issues observed or experienced within 30 days of receipt of said product. To see additional details on this or any of our other policies, please see our Terms & Conditions page.Item has been added to Shopping Cart
If you are ready to order, navigate to Shopping Cart and get ready to checkout.
