Rabbit GR Polyclonal Antibody | anti-GR antibody
GR Antibody
Phosphate buffered saline, pH 7.4, 150mM NaCl, 0.02% sodium azide and 50% glycerol.
WB (Western Blot)
(Western blot analysis of GR expression in EGF treated Jurkat whole cell lysates, The lane on the left is treated with the antigen-specific peptide.)
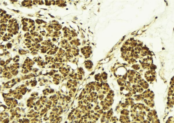
IHC (Immunohistochemisry)
(AAA322165 at 1/100 staining Mouse pancreas tissue by IHC-P. The sample was formaldehyde fixed and a heat mediated antigen retrieval step in citrate buffer was performed. The sample was then blocked and incubated with the antibody for 1.5 hours at 22 degree C. An HRP conjugated goat anti-rabbit antibody was used as the secondary.)
IF (Immunofluorescence)
(AAA322165 staining HeLa by IF/ICC. The sample were fixed with PFA and permeabilized in 0.1% Triton X-100, then blocked in 10% serum for 45 minutes at 25 degree C. The primary antibody was diluted at 1/200 and incubated with the sample for 1 hour at 37 degree C. An Alexa Fluor 594 conjugated goat anti-rabbit IgG (H+L) Ab, diluted at 1/600, was used as the secondary antibody.)
IHC (Immunohistochemistry)
(AAA322165 at 1/100 staining human brain tissues sections by IHC-P. The tissue was formaldehyde fixed and a heat mediated antigen retrieval step in citrate buffer was performed. The tissue was then blocked and incubated with the antibody for 1.5 hours at 50 degree C)
Function: Receptor for glucocorticoids (GC) (PubMed:27120390). Has a dual mode of action: as a transcription factor that binds to glucocorticoid response elements (GRE), both for nuclear and mitochondrial DNA, and as a modulator of other transcription factors. Affects inflammatory responses, cellular proliferation and differentiation in target tissues. Involved in chromatin remodeling (PubMed:9590696). Plays a role in rapid mRNA degradation by binding to the 5' UTR of target mRNAs and interacting with PNRC2 in a ligand-dependent manner which recruits the RNA helicase UPF1 and the mRNA-decapping enzyme DCP1A, leading to RNA decay (PubMed:25775514). Could act as a coactivator for STAT5-dependent transcription upon growth hormone (GH) stimulation and could reveal an essential role of hepatic GR in the control of body growth (By similarity).
Subunit Structure: Heteromultimeric cytoplasmic complex with HSP90AA1, HSPA1A/HSPA1B, and FKBP5 or another immunophilin such as PPID, STIP1, or the immunophilin homolog PPP5C (PubMed:21730050). Upon ligand binding FKBP5 dissociates from the complex and FKBP4 takes its place, thereby linking the complex to dynein and mediating transport to the nucleus, where the complex dissociates (By similarity). Probably forms a complex composed of chaperones HSP90 and HSP70, co-chaperones CDC37, PPP5C, TSC1 and client protein TSC2, CDK4, AKT, RAF1 and NR3C1; this complex does not contain co-chaperones STIP1/HOP and PTGES3/p23 (PubMed:29127155). Directly interacts with UNC45A (PubMed:16478993). Binds to DNA as a homodimer, and as heterodimer with NR3C2 or the retinoid X receptor. Binds STAT5A and STAT5B homodimers and heterodimers (By similarity). Interacts with NRIP1, POU2F1, POU2F2 and TRIM28 (By similarity). Interacts with several coactivator complexes, including the SMARCA4 complex, CREBBP/EP300, TADA2L (Ada complex) and p160 coactivators such as NCOA2 and NCOA6 (PubMed:10866662, PubMed:12151000, PubMed:12686538, PubMed:9154805, PubMed:9590696). Interaction with BAG1 inhibits transactivation (PubMed:10477749). Interacts with HEXIM1, PELP1 and TGFB1I1 (PubMed:12415108, PubMed:15211577, PubMed:15941832). Interacts with NCOA1 (PubMed:9590696). Interacts with NCOA3, SMARCA4, SMARCC1, SMARCD1, and SMARCE1 (By similarity). Interacts with CLOCK, CRY1 and CRY2 in a ligand-dependent fashion (PubMed:19141540, PubMed:21980503, PubMed:22170608). Interacts with CIART (By similarity). Interacts with RWDD3 (By similarity). Interacts with UBE2I/UBC9 and this interaction is enhanced in the presence of RWDD3 (By similarity). Interacts with GRIP1 (PubMed:15769988, PubMed:17635946). Interacts with NR4A3 (via nuclear receptor DNA-binding domain), represses transcription activity of NR4A3 on the POMC promoter Nur response element (NurRE) (PubMed:15591535). Directly interacts with PNRC2 to attract and form a complex with UPF1 and DCP1A; the interaction leads to rapid mRNA degradation (PubMed:25775514). Interacts with GSK3B (PubMed:18838540). Interacts with FNIP1 and FNIP2 (PubMed:27353360). Interacts (via C-terminus) with HNRNPU (via C-terminus) (PubMed:9353307).
Post-translational Modifications: Acetylation by CLOCK reduces its binding to glucocorticoid response elements and its transcriptional activity.Increased proteasome-mediated degradation in response to glucocorticoids (PubMed:11555652). Isoform Alpha-B appears to be more susceptible to proteolytic degradation than isoform Alpha (PubMed:11435610). Phosphorylated in the absence of hormone; becomes hyperphosphorylated in the presence of glucocorticoid. The Ser-203, Ser-226 and Ser-404-phosphorylated forms are mainly cytoplasmic, and the Ser-211-phosphorylated form is nuclear (PubMed:12000743, PubMed:18838540). Phosphorylation at Ser-211 increases transcriptional activity (PubMed:12000743, PubMed:18483179). Phosphorylation at Ser-203, Ser-226 and Ser-404 decreases signaling capacity (PubMed:12000743, PubMed:18483179, PubMed:18838540). Phosphorylation at Ser-404 may protect from glucocorticoid-induced apoptosis (PubMed:18838540). Phosphorylation at Ser-203 and Ser-211 is not required in regulation of chromosome segregation (PubMed:25847991). May be dephosphorylated by PPP5C, attenuates NR3C1 action (By similarity). Sumoylation at Lys-277 and Lys-293 negatively regulates its transcriptional activity (PubMed:12144530). Sumoylation at Lys-703 positively regulates its transcriptional activity in the presence of RWDD3 (By similarity). Sumoylation at Lys-277 and Lys-293 is dispensable whereas sumoylation at Lys-703 is critical for the stimulatory effect of RWDD3 on its transcriptional activity (By similarity). Heat shock increases sumoylation in a RWDD3-dependent manner (By similarity). Ubiquitinated; restricts glucocorticoid-mediated transcriptional signaling.
Similarity: Composed of three domains: a modulating N-terminal domain, a DNA-binding domain and a C-terminal ligand-binding domain (PubMed:3841189). The ligand-binding domain is required for correct chromosome segregation during mitosis although ligand binding is not required (PubMed:25847991). Belongs to the nuclear hormone receptor family. NR3 subfamily.
NCBI and Uniprot Product Information
Predicted: 86 kDa
Customer Reviews
Loading reviews...
Share Your Experience
Similar Products
Product Notes
The GR nr3c1 (Catalog #AAA322165) is an Antibody produced from Rabbit and is intended for research purposes only. The product is available for immediate purchase. The GR Antibody reacts with Human, Mouse, Rat and may cross-react with other species as described in the data sheet. AAA Biotech's GR can be used in a range of immunoassay formats including, but not limited to, ELISA, ICC (Immunocytochemistry), IF (Immunofluorescence), IHC (Immunohistochemistry), WB (Western Blot). Researchers should empirically determine the suitability of the GR nr3c1 for an application not listed in the data sheet. Researchers commonly develop new applications and it is an integral, important part of the investigative research process. It is sometimes possible for the material contained within the vial of "GR, Polyclonal Antibody" to become dispersed throughout the inside of the vial, particularly around the seal of said vial, during shipment and storage. We always suggest centrifuging these vials to consolidate all of the liquid away from the lid and to the bottom of the vial prior to opening. Please be advised that certain products may require dry ice for shipping and that, if this is the case, an additional dry ice fee may also be required.Precautions
All products in the AAA Biotech catalog are strictly for research-use only, and are absolutely not suitable for use in any sort of medical, therapeutic, prophylactic, in-vivo, or diagnostic capacity. By purchasing a product from AAA Biotech, you are explicitly certifying that said products will be properly tested and used in line with industry standard. AAA Biotech and its authorized distribution partners reserve the right to refuse to fulfill any order if we have any indication that a purchaser may be intending to use a product outside of our accepted criteria.Disclaimer
Though we do strive to guarantee the information represented in this datasheet, AAA Biotech cannot be held responsible for any oversights or imprecisions. AAA Biotech reserves the right to adjust any aspect of this datasheet at any time and without notice. It is the responsibility of the customer to inform AAA Biotech of any product performance issues observed or experienced within 30 days of receipt of said product. To see additional details on this or any of our other policies, please see our Terms & Conditions page.Item has been added to Shopping Cart
If you are ready to order, navigate to Shopping Cart and get ready to checkout.
