Rabbit GRHL2 Polyclonal Antibody | anti-GRHL2 antibody
GRHL2 antibody - middle region
Gene Names
GRHL2; BOM; ECTDS; PPCD4; DFNA28; TFCP2L3
Reactivity
Cow, Dog, Guinea Pig, Horse, Human, Mouse, Rabbit, Rat, Zebrafish
Applications
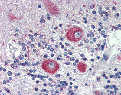
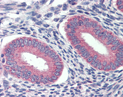
Western Blot, Immunohistochemistry
Purity
Affinity Purified
Synonyms
GRHL2, Antibody; GRHL2 antibody - middle region; anti-GRHL2 antibody
Host
Rabbit
Reactivity
Cow, Dog, Guinea Pig, Horse, Human, Mouse, Rabbit, Rat, Zebrafish
Clonality
Polyclonal
Purity/Purification
Affinity Purified
Form/Format
Liquid. Purified antibody supplied in 1x PBS buffer with 0.09% (w/v) sodium azide and 2% sucrose.
Sequence
Synthetic peptide located within the following region: VEKIAKLYKKSKKGILVNMDDNIIEHYSNEDTFILNMESMVEGFKVTLME
Sequence Length
625
Applicable Applications for anti-GRHL2 antibody
WB (Western Blot), IHC (Immunohistochemistry)
Homology
Cow: 100%; Dog: 100%; Guinea Pig: 100%; Horse: 100%; Human: 100%; Mouse: 100%; Rabbit: 100%; Rat: 100%; Zebrafish: 100%
Immunogen
The immunogen is a synthetic peptide directed towards the middle region of human GRHL2
Preparation and Storage
For short term use, store at 2-8 degree C up to 1 week. For long term storage, store at -20 degree C in small aliquots to prevent freeze-thaw cycles.
Related Product Information for anti-GRHL2 antibody
This is a rabbit polyclonal antibody against GRHL2. It was validated on Western Blot using a cell lysate as a positive control.
Target Description: GRHL2 is a transcription factor that can act as a homodimer or as a heterodimer with either GRHL1 or GRHL3. Defects in this gene are a cause of non-syndromic sensorineural deafness autosomal dominant type 28 (DFNA28).TFCP2L3 is a member of a family of transcription factor genes whose archetype is TFCP2 (MIM 189889), a mammalian ortholog of the Drosophila gene 'grainyhead' (grh).[supplied by OMIM]. Sequence Note: This RefSeq record was created from transcript and genomic sequence data because transcript sequence consistent with the reference genome assembly was not available for all regions of the RefSeq transcript. The extent of this transcript is supported by transcript alignments.
Target Description: GRHL2 is a transcription factor that can act as a homodimer or as a heterodimer with either GRHL1 or GRHL3. Defects in this gene are a cause of non-syndromic sensorineural deafness autosomal dominant type 28 (DFNA28).TFCP2L3 is a member of a family of transcription factor genes whose archetype is TFCP2 (MIM 189889), a mammalian ortholog of the Drosophila gene 'grainyhead' (grh).[supplied by OMIM]. Sequence Note: This RefSeq record was created from transcript and genomic sequence data because transcript sequence consistent with the reference genome assembly was not available for all regions of the RefSeq transcript. The extent of this transcript is supported by transcript alignments.
Product Categories/Family for anti-GRHL2 antibody
NCBI and Uniprot Product Information
NCBI GI #
NCBI GeneID
NCBI Accession #
NCBI GenBank Nucleotide #
UniProt Accession #
Molecular Weight
71kDa
NCBI Official Full Name
grainyhead-like protein 2 homolog isoform 1
NCBI Official Synonym Full Names
grainyhead like transcription factor 2
NCBI Official Symbol
GRHL2
NCBI Official Synonym Symbols
BOM; ECTDS; PPCD4; DFNA28; TFCP2L3
NCBI Protein Information
grainyhead-like protein 2 homolog
UniProt Protein Name
Grainyhead-like protein 2 homolog
UniProt Gene Name
GRHL2
UniProt Synonym Gene Names
BOM; TFCP2L3
UniProt Entry Name
GRHL2_HUMAN
Customer Reviews
Loading reviews...
Share Your Experience
Similar Products
Product Notes
The GRHL2 grhl2 (Catalog #AAA198515) is an Antibody produced from Rabbit and is intended for research purposes only. The product is available for immediate purchase. The GRHL2 antibody - middle region reacts with Cow, Dog, Guinea Pig, Horse, Human, Mouse, Rabbit, Rat, Zebrafish and may cross-react with other species as described in the data sheet. AAA Biotech's GRHL2 can be used in a range of immunoassay formats including, but not limited to, WB (Western Blot), IHC (Immunohistochemistry). Researchers should empirically determine the suitability of the GRHL2 grhl2 for an application not listed in the data sheet. Researchers commonly develop new applications and it is an integral, important part of the investigative research process. The amino acid sequence is listed below: Synthetic peptide located within the following region: VEKIAKLYKK SKKGILVNMD DNIIEHYSNE DTFILNMESM VEGFKVTLME. It is sometimes possible for the material contained within the vial of "GRHL2, Polyclonal Antibody" to become dispersed throughout the inside of the vial, particularly around the seal of said vial, during shipment and storage. We always suggest centrifuging these vials to consolidate all of the liquid away from the lid and to the bottom of the vial prior to opening. Please be advised that certain products may require dry ice for shipping and that, if this is the case, an additional dry ice fee may also be required.Precautions
All products in the AAA Biotech catalog are strictly for research-use only, and are absolutely not suitable for use in any sort of medical, therapeutic, prophylactic, in-vivo, or diagnostic capacity. By purchasing a product from AAA Biotech, you are explicitly certifying that said products will be properly tested and used in line with industry standard. AAA Biotech and its authorized distribution partners reserve the right to refuse to fulfill any order if we have any indication that a purchaser may be intending to use a product outside of our accepted criteria.Disclaimer
Though we do strive to guarantee the information represented in this datasheet, AAA Biotech cannot be held responsible for any oversights or imprecisions. AAA Biotech reserves the right to adjust any aspect of this datasheet at any time and without notice. It is the responsibility of the customer to inform AAA Biotech of any product performance issues observed or experienced within 30 days of receipt of said product. To see additional details on this or any of our other policies, please see our Terms & Conditions page.Item has been added to Shopping Cart
If you are ready to order, navigate to Shopping Cart and get ready to checkout.
