Grp75 Polyclonal Antibody | anti-Grp75 antibody
Anti-Grp75 Antibody
IHC (Immunohistochemistry)
(Anti- Grp75 Picoband antibody, AAA46371,IHC(P)IHC(P): Human Intestinal Cancer Tissue)
IHC (Immunohiostchemistry)
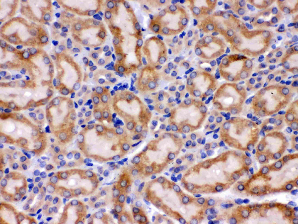
(Anti- Grp75 Picoband antibody, AAA46371,IHC(P)IHC(P): Mouse Kidney Tissue)
WB (Western Blot)
(Anti- Grp75 Picoband antibody, AAA46371, Western blottingAll lanes: Anti Grp75 (AAA46371) at 0.5ug/mlLane 1: Rat Liver Tissue Lysate at 50ugLane 2: Rat Thymus Tissue Lysate at 50ugLane 3: Rat Testis Tissue Lysate at 50ugLane 4: Mouse Liver Tissue Lysate at 50ugLane 5: Mouse Thymus Tissue Lysate at 50ugLane 6: Mouse Testis Tissue Lysate at 50ugLane 7: HELA Whole Cell Lysate at 40ugLane 8: MCF-7 Whole Cell Lysate at 40ugLane 9: SW620 Whole Cell Lysate at 40ugLane 10: SMMC Whole Cell Lysate at 40ugPredicted bind size: 74KDObserved bind size: 74KD)
Background: HSPA9 (heat shock 70kDa protein 9 (mortalin)), also known as GRP75, mot-2, mthsp75, PBP74, HSPA9B, MORTALIN or MORTALIN, PERINUCLEAR, is a highly conserved member of the HSP70 family of proteins. It functions as a chaperone in the mitochondria, cytoplasm, and centrosome. The HSPA9 gene is mapped to chromosome 5q31.2 based on an alignment of the HSPA9 sequence with the genomic sequence. Knockdown of HSPA9 in erythroid cultures was associated with an increased number of cells in the G0/G1 phase of the cell cycle and accelerated apoptosis. Knockdown of Hspa9 in mouse bone marrow cells, followed by transplantation into wildtype recipients, also resulted in loss of erythroid cell number. Haploinsufficiency for HSPA9 may contribute to abnormal hematopoiesis in myelodysplastic syndromes. This protein plays a role in the control of cell proliferation.
NCBI and Uniprot Product Information
Customer Reviews
Loading reviews...
Share Your Experience
Similar Products
Product Notes
The Grp75 hspa9 (Catalog #AAA46371) is an Antibody and is intended for research purposes only. The product is available for immediate purchase. The Anti-Grp75 Antibody reacts with Human, Mouse, Rat and may cross-react with other species as described in the data sheet. AAA Biotech's Grp75 can be used in a range of immunoassay formats including, but not limited to, IHC (Immunohistochemistry), WB (Western Blot). Researchers should empirically determine the suitability of the Grp75 hspa9 for an application not listed in the data sheet. Researchers commonly develop new applications and it is an integral, important part of the investigative research process. It is sometimes possible for the material contained within the vial of "Grp75, Polyclonal Antibody" to become dispersed throughout the inside of the vial, particularly around the seal of said vial, during shipment and storage. We always suggest centrifuging these vials to consolidate all of the liquid away from the lid and to the bottom of the vial prior to opening. Please be advised that certain products may require dry ice for shipping and that, if this is the case, an additional dry ice fee may also be required.Precautions
All products in the AAA Biotech catalog are strictly for research-use only, and are absolutely not suitable for use in any sort of medical, therapeutic, prophylactic, in-vivo, or diagnostic capacity. By purchasing a product from AAA Biotech, you are explicitly certifying that said products will be properly tested and used in line with industry standard. AAA Biotech and its authorized distribution partners reserve the right to refuse to fulfill any order if we have any indication that a purchaser may be intending to use a product outside of our accepted criteria.Disclaimer
Though we do strive to guarantee the information represented in this datasheet, AAA Biotech cannot be held responsible for any oversights or imprecisions. AAA Biotech reserves the right to adjust any aspect of this datasheet at any time and without notice. It is the responsibility of the customer to inform AAA Biotech of any product performance issues observed or experienced within 30 days of receipt of said product. To see additional details on this or any of our other policies, please see our Terms & Conditions page.Item has been added to Shopping Cart
If you are ready to order, navigate to Shopping Cart and get ready to checkout.
