Rabbit GRP78 BiP Polyclonal Antibody | anti-GRP78BiP antibody
GRP78 BiP Polyclonal Antibody
Gene Names
HSPA5; BIP; MIF2; GRP78
Reactivity
Human, Mouse, Rat
Applications
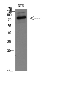
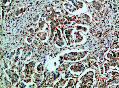
Immunohistochemistry, Western Blot
Synonyms
GRP78 BiP, Antibody; GRP78 BiP Polyclonal Antibody; 78 kDa glucose-regulated protein (GRP-78)(Endoplasmic reticulum lumenal Ca (2+)-binding protein grp78)(Heat shock 70 kDa protein 5)(Immunoglobulin heavy chain-binding protein)(BiP); anti-GRP78BiP antibody
Host
Rabbit
Reactivity
Human, Mouse, Rat
Clonality
Polyclonal
Applicable Applications for anti-GRP78BiP antibody
IHC (Immunohistochemistry), WB (Western Blot)
Preparation and Storage
Maintain refrigerated at 2-8 degree C for up to 2 weeks. For long term storage store at -20 degree C in small aliquots to prevent freeze-thaw cycles.
Related Product Information for anti-GRP78BiP antibody
Endoplasmic reticulum chaperone that plays a key role in protein folding and quality control in the endoplasmic reticulum lumen (PubMed:23769672, PubMed:23990668, PubMed:28332555). Involved in the correct folding of proteins and degradation of misfolded proteins via its interaction with DNAJC10/ERdj5, probably to facilitate the release of DNAJC10/ERdj5 from its substrate (By similarity). Acts as a key repressor of the ERN1/IRE1-mediated unfolded protein response (UPR)(PubMed:19538957). In the unstressed endoplasmic reticulum, recruited by DNAJB9/ERdj4 to the luminal region of ERN1/IRE1, leading to disrupt the dimerization of ERN1/IRE1, thereby inactivating ERN1/IRE1 (By similarity). Accumulation of misfolded protein in the endoplasmic reticulum causes release of HSPA5/BiP from ERN1/IRE1, allowing homodimerization and subsequent activation of ERN1/IRE1 (By similarity). Plays an auxiliary role in post-translational transport of small presecretory proteins across endoplasmic reticulum (ER). May function as an allosteric modulator for SEC61 channel-forming translocon complex, likely cooperating with SEC62 to enable the productive insertion of these precursors into SEC61 channel. Appears to specifically regulate translocation of precursors having inhibitory residues in their mature region that weaken channel gating.
NCBI and Uniprot Product Information
NCBI GI #
NCBI GeneID
NCBI Accession #
NCBI GenBank Nucleotide #
Molecular Weight
72,333 Da
NCBI Official Full Name
78 kDa glucose-regulated protein
NCBI Official Synonym Full Names
heat shock 70kDa protein 5 (glucose-regulated protein, 78kDa)
NCBI Official Symbol
HSPA5
NCBI Official Synonym Symbols
BIP; MIF2; GRP78
NCBI Protein Information
78 kDa glucose-regulated protein; immunoglobulin heavy chain-binding protein; endoplasmic reticulum lumenal Ca(2+)-binding protein grp78
UniProt Protein Name
78 kDa glucose-regulated protein
UniProt Gene Name
HSPA5
UniProt Synonym Gene Names
GRP78; GRP-78; BiP
UniProt Entry Name
GRP78_HUMAN
Customer Reviews
Loading reviews...
Share Your Experience
Similar Products
Product Notes
The GRP78BiP hspa5 (Catalog #AAA296515) is an Antibody produced from Rabbit and is intended for research purposes only. The product is available for immediate purchase. The GRP78 BiP Polyclonal Antibody reacts with Human, Mouse, Rat and may cross-react with other species as described in the data sheet. AAA Biotech's GRP78 BiP can be used in a range of immunoassay formats including, but not limited to, IHC (Immunohistochemistry), WB (Western Blot). Researchers should empirically determine the suitability of the GRP78BiP hspa5 for an application not listed in the data sheet. Researchers commonly develop new applications and it is an integral, important part of the investigative research process. It is sometimes possible for the material contained within the vial of "GRP78 BiP, Polyclonal Antibody" to become dispersed throughout the inside of the vial, particularly around the seal of said vial, during shipment and storage. We always suggest centrifuging these vials to consolidate all of the liquid away from the lid and to the bottom of the vial prior to opening. Please be advised that certain products may require dry ice for shipping and that, if this is the case, an additional dry ice fee may also be required.Precautions
All products in the AAA Biotech catalog are strictly for research-use only, and are absolutely not suitable for use in any sort of medical, therapeutic, prophylactic, in-vivo, or diagnostic capacity. By purchasing a product from AAA Biotech, you are explicitly certifying that said products will be properly tested and used in line with industry standard. AAA Biotech and its authorized distribution partners reserve the right to refuse to fulfill any order if we have any indication that a purchaser may be intending to use a product outside of our accepted criteria.Disclaimer
Though we do strive to guarantee the information represented in this datasheet, AAA Biotech cannot be held responsible for any oversights or imprecisions. AAA Biotech reserves the right to adjust any aspect of this datasheet at any time and without notice. It is the responsibility of the customer to inform AAA Biotech of any product performance issues observed or experienced within 30 days of receipt of said product. To see additional details on this or any of our other policies, please see our Terms & Conditions page.Item has been added to Shopping Cart
If you are ready to order, navigate to Shopping Cart and get ready to checkout.
