Host
Rabbit
Reactivity
Human
Clonality
Polyclonal
Specificity
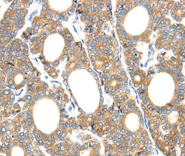
The antibody detects endogenous levels of total GZMK protein.
Purity/Purification
Antigen affinity purification.
Form/Format
Rabbit IgG in pH7.4 PBS, 0.05% NaN3, 40% Glycerol.
Concentration
1.2 mg/ml (varies by lot)
Sequence Length
264
Applicable Applications for anti-GZMK antibody
IHC (Immunohistochemistry)
Immunogen Type
Peptide
Immunogen Description
Synthetic peptide corresponding to a region derived from internal residues of human granzyme K (granzyme 3; tryptase II)
Target Name
GZMK
Preparation and Storage
Store at -20 degree C
Related Product Information for anti-GZMK antibody
This gene product is a member of a group of related serine proteases from the cytoplasmic granules of cytotoxic lymphocytes. Cytolytic T lymphocytes (CTL) and natural killer (NK) cells share the remarkable ability to recognize, bind, and lyse specific target cells. They are thought to protect their host by lysing cells bearing on their surface 'nonself' antigens, usually peptides or proteins resulting from infection by intracellular pathogens. The protein described here lacks consensus sequences for N-glycosylation present in other granzymes.
Product Categories/Family for anti-GZMK antibody
NCBI and Uniprot Product Information
NCBI GI #
NCBI GeneID
NCBI Accession #
NCBI GenBank Nucleotide #
Molecular Weight
28,882 Da
NCBI Official Full Name
granzyme K
NCBI Official Synonym Full Names
granzyme K (granzyme 3; tryptase II)
NCBI Official Symbol
GZMK
NCBI Official Synonym Symbols
TRYP2
NCBI Protein Information
granzyme K
UniProt Protein Name
Granzyme K
UniProt Gene Name
GZMK
UniProt Synonym Gene Names
TRYP2; NK-Tryp-2
UniProt Entry Name
GRAK_HUMAN
Customer Reviews
Loading reviews...
Share Your Experience
Similar Products
Product Notes
The GZMK gzmk (Catalog #AAA308170) is an Antibody produced from Rabbit and is intended for research purposes only. The product is available for immediate purchase. The GZMK Antibody reacts with Human and may cross-react with other species as described in the data sheet. AAA Biotech's GZMK can be used in a range of immunoassay formats including, but not limited to, IHC (Immunohistochemistry). Researchers should empirically determine the suitability of the GZMK gzmk for an application not listed in the data sheet. Researchers commonly develop new applications and it is an integral, important part of the investigative research process. It is sometimes possible for the material contained within the vial of "GZMK, Polyclonal Antibody" to become dispersed throughout the inside of the vial, particularly around the seal of said vial, during shipment and storage. We always suggest centrifuging these vials to consolidate all of the liquid away from the lid and to the bottom of the vial prior to opening. Please be advised that certain products may require dry ice for shipping and that, if this is the case, an additional dry ice fee may also be required.Precautions
All products in the AAA Biotech catalog are strictly for research-use only, and are absolutely not suitable for use in any sort of medical, therapeutic, prophylactic, in-vivo, or diagnostic capacity. By purchasing a product from AAA Biotech, you are explicitly certifying that said products will be properly tested and used in line with industry standard. AAA Biotech and its authorized distribution partners reserve the right to refuse to fulfill any order if we have any indication that a purchaser may be intending to use a product outside of our accepted criteria.Disclaimer
Though we do strive to guarantee the information represented in this datasheet, AAA Biotech cannot be held responsible for any oversights or imprecisions. AAA Biotech reserves the right to adjust any aspect of this datasheet at any time and without notice. It is the responsibility of the customer to inform AAA Biotech of any product performance issues observed or experienced within 30 days of receipt of said product. To see additional details on this or any of our other policies, please see our Terms & Conditions page.Item has been added to Shopping Cart
If you are ready to order, navigate to Shopping Cart and get ready to checkout.
