Rabbit anti-Human H2AFY Polyclonal Antibody | anti-H2AFY antibody
H2AFY Antibody
Gene Names
H2AFY; H2A.y; H2A/y; mH2A1; H2AF12M; MACROH2A1.1; macroH2A1.2
Reactivity
Human
Applications
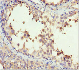
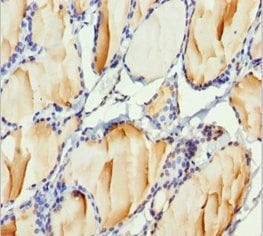
Immunohistochemistry, ELISA
Purity
Antigen Affinity Purified
Synonyms
H2AFY, Antibody; H2AFY Antibody; Core histone macro-H2A.1; Histone macroH2A1; mH2A1; Histone H2A.y; H2A/y; Medulloblastoma antigen MU-MB-50.205; H2AFY; MACROH2A1; anti-H2AFY antibody
Host
Rabbit
Reactivity
Human
Clonality
Polyclonal
Isotype
IgG
Purity/Purification
Antigen Affinity Purified
Form/Format
Liquid
Sequence Length
371
Applicable Applications for anti-H2AFY antibody
IHC (Immunohistochemistry), ELISA
Species
Human
Immunogen
Recombinant human Core histone macro-H2A.1 protein (C-250AA)
Conjugate
Non-conjugated
Buffer
PBS with 0.02% sodium azide, 50% glycerol, pH7.3.
Santa Cruz Alternative
Potential replacement for Santa Cruz Biotechnology antibody catalog# sc-161812 / sc-161813
Preparation and Storage
Shipped at 4 degree C. Upon delivery aliquot and store at -20 degree C or -80 degree C. Avoid repeated freeze.
Related Product Information for anti-H2AFY antibody
Variant histone H2A which replaces conventional H2A in a subset of nucleosomes where it represses transcription. Nucleosomes wrap and compact DNA into chromatin, limiting DNA accessibility to the cellular machineries which require DNA as a template. Histones thereby play a central role in transcription regulation, DNA repair, DNA replication and chromosomal stability. DNA accessibility is regulated via a complex set of post-translational modifications of histones, also called histone code, and nucleosome remodeling. Involved in stable X chromosome inactivation. Inhibits the binding of transcription factors and interferes with the activity of remodeling SWI/SNF complexes. Inhibits histone acetylation by EP300 and recruits class I HDACs, which induces a hypoacetylated state of chromatin. In addition, isoform 1, but not isoform 2, binds ADP-ribose and O-acetyl-ADP-ribose, and may be involved in ADP-ribose-mediated chromatin modulation.
NCBI and Uniprot Product Information
NCBI GI #
NCBI GeneID
NCBI Accession #
NCBI GenBank Nucleotide #
Molecular Weight
39,489 Da
NCBI Official Full Name
core histone macro-H2A.1 isoform 2
NCBI Official Synonym Full Names
H2A histone family member Y
NCBI Official Symbol
H2AFY
NCBI Official Synonym Symbols
H2A.y; H2A/y; mH2A1; H2AF12M; MACROH2A1.1; macroH2A1.2
NCBI Protein Information
core histone macro-H2A.1
UniProt Protein Name
Core histone macro-H2A.1
UniProt Gene Name
H2AFY
UniProt Synonym Gene Names
MACROH2A1; Histone macroH2A1; mH2A1; H2A/y
UniProt Entry Name
H2AY_HUMAN
Customer Reviews
Loading reviews...
Share Your Experience
Similar Products
Product Notes
The H2AFY h2afy (Catalog #AAA232333) is an Antibody produced from Rabbit and is intended for research purposes only. The product is available for immediate purchase. The H2AFY Antibody reacts with Human and may cross-react with other species as described in the data sheet. AAA Biotech's H2AFY can be used in a range of immunoassay formats including, but not limited to, IHC (Immunohistochemistry), ELISA. Researchers should empirically determine the suitability of the H2AFY h2afy for an application not listed in the data sheet. Researchers commonly develop new applications and it is an integral, important part of the investigative research process. It is sometimes possible for the material contained within the vial of "H2AFY, Polyclonal Antibody" to become dispersed throughout the inside of the vial, particularly around the seal of said vial, during shipment and storage. We always suggest centrifuging these vials to consolidate all of the liquid away from the lid and to the bottom of the vial prior to opening. Please be advised that certain products may require dry ice for shipping and that, if this is the case, an additional dry ice fee may also be required.Precautions
All products in the AAA Biotech catalog are strictly for research-use only, and are absolutely not suitable for use in any sort of medical, therapeutic, prophylactic, in-vivo, or diagnostic capacity. By purchasing a product from AAA Biotech, you are explicitly certifying that said products will be properly tested and used in line with industry standard. AAA Biotech and its authorized distribution partners reserve the right to refuse to fulfill any order if we have any indication that a purchaser may be intending to use a product outside of our accepted criteria.Disclaimer
Though we do strive to guarantee the information represented in this datasheet, AAA Biotech cannot be held responsible for any oversights or imprecisions. AAA Biotech reserves the right to adjust any aspect of this datasheet at any time and without notice. It is the responsibility of the customer to inform AAA Biotech of any product performance issues observed or experienced within 30 days of receipt of said product. To see additional details on this or any of our other policies, please see our Terms & Conditions page.Item has been added to Shopping Cart
If you are ready to order, navigate to Shopping Cart and get ready to checkout.
