Rabbit HDAC1 Polyclonal Antibody | anti-HDAC1 antibody
HDAC1 Polyclonal Antibody
Gene Names
HDAC1; HD1; RPD3; GON-10; RPD3L1
Reactivity
Human, Mouse, Rat
Applications
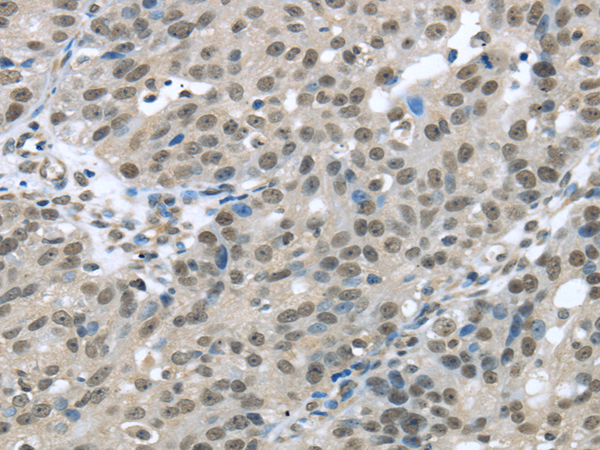
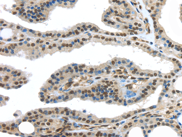
Immunohistochemistry, ELISA
Purity
Antigen Affinity Purification
Synonyms
HDAC1, Antibody; HDAC1 Polyclonal Antibody; HD1; RPD3; GON-10; RPD3L1; anti-HDAC1 antibody
Host
Rabbit
Reactivity
Human, Mouse, Rat
Clonality
Polyclonal
Isotype
IgG
Purity/Purification
Antigen Affinity Purification
Concentration
1.2mg/ml (varies by lot)
Sequence Length
482
Applicable Applications for anti-HDAC1 antibody
IHC (Immunohistochemistry), ELISA
Immunogen
Fusion protein of human HDAC1
Buffer
PBS with 0.05% sodium azide, 50% glycerol, pH7.3
Santa Cruz Alternative
Potential replacement for Santa Cruz Biotechnology antibody catalog# sc-6298 / sc-6299 / sc-7872
Preparation and Storage
Store at -20 degree C. Avoid freeze/thaw cycles.
Related Product Information for anti-HDAC1 antibody
Histone acetylation and deacetylation, catalyzed by multisubunit complexes, play a key role in the regulation of eukaryotic gene expression. The protein encoded by this gene belongs to the histone deacetylase/acuc/apha family and is a component of the histone deacetylase complex. It also interacts with retinoblastoma tumor-suppressor protein and this complex is a key element in the control of cell proliferation and differentiation. Together with metastasis-associated protein-2, it deacetylates p53 and modulates its effect on cell growth and apoptosis.
NCBI and Uniprot Product Information
NCBI GI #
NCBI GeneID
NCBI Accession #
NCBI GenBank Nucleotide #
Molecular Weight
55,103 Da
NCBI Official Full Name
histone deacetylase 1
NCBI Official Synonym Full Names
histone deacetylase 1
NCBI Official Symbol
HDAC1
NCBI Official Synonym Symbols
HD1; RPD3; GON-10; RPD3L1
NCBI Protein Information
histone deacetylase 1
UniProt Protein Name
Histone deacetylase 1
UniProt Gene Name
HDAC1
UniProt Synonym Gene Names
RPD3L1; HD1
UniProt Entry Name
HDAC1_HUMAN
Similar Products
Product Notes
The HDAC1 hdac1 (Catalog #AAA173000) is an Antibody produced from Rabbit and is intended for research purposes only. The product is available for immediate purchase. The HDAC1 Polyclonal Antibody reacts with Human, Mouse, Rat and may cross-react with other species as described in the data sheet. AAA Biotech's HDAC1 can be used in a range of immunoassay formats including, but not limited to, IHC (Immunohistochemistry), ELISA. Researchers should empirically determine the suitability of the HDAC1 hdac1 for an application not listed in the data sheet. Researchers commonly develop new applications and it is an integral, important part of the investigative research process. It is sometimes possible for the material contained within the vial of "HDAC1, Polyclonal Antibody" to become dispersed throughout the inside of the vial, particularly around the seal of said vial, during shipment and storage. We always suggest centrifuging these vials to consolidate all of the liquid away from the lid and to the bottom of the vial prior to opening. Please be advised that certain products may require dry ice for shipping and that, if this is the case, an additional dry ice fee may also be required.Precautions
All products in the AAA Biotech catalog are strictly for research-use only, and are absolutely not suitable for use in any sort of medical, therapeutic, prophylactic, in-vivo, or diagnostic capacity. By purchasing a product from AAA Biotech, you are explicitly certifying that said products will be properly tested and used in line with industry standard. AAA Biotech and its authorized distribution partners reserve the right to refuse to fulfill any order if we have any indication that a purchaser may be intending to use a product outside of our accepted criteria.Disclaimer
Though we do strive to guarantee the information represented in this datasheet, AAA Biotech cannot be held responsible for any oversights or imprecisions. AAA Biotech reserves the right to adjust any aspect of this datasheet at any time and without notice. It is the responsibility of the customer to inform AAA Biotech of any product performance issues observed or experienced within 30 days of receipt of said product. To see additional details on this or any of our other policies, please see our Terms & Conditions page.Item has been added to Shopping Cart
If you are ready to order, navigate to Shopping Cart and get ready to checkout.
