Rabbit HDAC2 Polyclonal Antibody | anti-HDAC2 antibody
HDAC2 Antibody
Phosphate buffered saline, pH 7.4, 150mM NaCl, 0.02% sodium azide and 50% glycerol.
WB (Western Blot)
(Western blot analysis of HDAC2 expression in HeLa whole cell lysates, The lane on the left is treated with the antigen-specific peptide.)
WB (Western Blot)
(Western blot analysis of extracts of various tissue sample, using HDAC2 antibody.)
IF (Immunofluorescence)
(AAA322443 staining HeLa cells by IF/ICC. The sample were fixed with PFA and permeabilized in 0.1% Triton X-100, then blocked in 10% serum for 45 minutes at 25 degree C. The primary antibody was diluted at 1/200 and incubated with the sample for 1 hour at 37 degree C. An Alexa Fluor 594 conjugated goat anti-rabbit IgG (H+L) antibody, diluted at 1/600, was used as secondary antibody.)
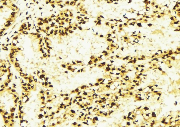
IHC (Immunohistochemistry)
(AAA322443 at 1/100 staining Human lung tissue by IHC-P. The sample was formaldehyde fixed and a heat mediated antigen retrieval step in citrate buffer was performed. The sample was then blocked and incubated with the antibody for 1.5 hours at 22 degree C. An HRP conjugated goat anti-rabbit antibody was used as the secondary.)
Function: Responsible for the deacetylation of lysine residues on the N-terminal part of the core histones (H2A, H2B, H3 and H4). Histone deacetylation gives a tag for epigenetic repression and plays an important role in transcriptional regulation, cell cycle progression and developmental events. Histone deacetylases act via the formation of large multiprotein complexes. Forms transcriptional repressor complexes by associating with MAD, SIN3, YY1 and N-COR. Interacts in the late S-phase of DNA-replication with DNMT1 in the other transcriptional repressor complex composed of DNMT1, DMAP1, PCNA, CAF1. Deacetylates TSHZ3 and regulates its transcriptional repressor activity. Component of a RCOR/GFI/KDM1A/HDAC complex that suppresses, via histone deacetylase (HDAC) recruitment, a number of genes implicated in multilineage blood cell development. May be involved in the transcriptional repression of circadian target genes, such as PER1, mediated by CRY1 through histone deacetylation. Involved in MTA1-mediated transcriptional corepression of TFF1 and CDKN1A.
Subunit Structure: Part of the core histone deacetylase (HDAC) complex composed of HDAC1, HDAC2, RBBP4 and RBBP7. The core complex associates with MTA2, MBD3, MTA1L1, CHD3 and CHD4 to form the nucleosome remodeling and histone deacetylation (NuRD) complex, or with SIN3, SAP18 and SAP30 to form the SIN3 HDAC complex. Component of a RCOR/GFI/KDM1A/HDAC complex. Interacts directly with GFI1 and GFI1B. Interacts with SNW1, HDAC7, PRDM6, SAP30, SETDB1 and SUV39H1. Interacts with the H2AFY (via the non-histone region). Component of a BHC histone deacetylase complex that contains HDAC1, HDAC2, HMG20B, KDM1A, RCOR1 and PHF21A. The BHC complex may also contain ZMYM2, ZNF217, ZMYM3, GSE1 and GTF2I. Part of a complex containing the core histones H2A, H2B, H3 and H4, DEK and unphosphorylated DAXX. Part of a complex containing ATR and CHD4. Forms a heterologous complex at least with YY1. Interacts with ATR, CBFA2T3, DNMT1, MINT, HDAC10, HCFC1, NRIP1, KDM4A and PELP1. Component of a mSin3A corepressor complex that contains SIN3A, SAP130, SUDS3, ARID4B, HDAC1 and HDAC2. Interacts with CHFR and SAP30L. Interacts (CK2 phosphorylated form) with SP3. Interacts with TSHZ3 (via its N-terminus). Interacts with APEX1; the interaction is not dependent on the acetylated status of APEX1. Part of a complex composed of TRIM28, HDAC1, HDAC2 and EHMT2. Interacts with PIMREG. Interacts with BCL6 (non-acetylated form). Part of a complex containing at least CDYL, MIER1, MIER2, HDAC1 and HDAC2. Interacts with CRY1, INSM1 and ZNF431. Interacts with NACC2. Interacts with MTA1, with a preference for sumoylated MTA1. Interacts with SIX3 (By similarity). Interacts with BEND3. Component of a histone deacetylase complex containing DNTTIP1, ZNF541, HDAC1 and HDAC2 (PubMed:21573134).
Post-translational Modifications: S-nitrosylated by GAPDH. In neurons, S-Nitrosylation at Cys-262 and Cys-274 does not affect the enzyme activity but abolishes chromatin-binding, leading to increases acetylation of histones and activate genes that are associated with neuronal development. In embryonic cortical neurons, S-Nitrosylation regulates dendritic growth and branching.
Similarity: Belongs to the histone deacetylase family. HD type 1 subfamily.
NCBI and Uniprot Product Information
Predicted: 56 kDa
Customer Reviews
Loading reviews...
Share Your Experience
Similar Products
Product Notes
The HDAC2 hdac2 (Catalog #AAA322443) is an Antibody produced from Rabbit and is intended for research purposes only. The product is available for immediate purchase. The HDAC2 Antibody reacts with Human, Mouse, Rat and may cross-react with other species as described in the data sheet. AAA Biotech's HDAC2 can be used in a range of immunoassay formats including, but not limited to, ELISA, ICC (Immunocytochemistry), IF (Immunofluorescence), IHC (Immunohistochemistry), WB (Western Blot). Researchers should empirically determine the suitability of the HDAC2 hdac2 for an application not listed in the data sheet. Researchers commonly develop new applications and it is an integral, important part of the investigative research process. It is sometimes possible for the material contained within the vial of "HDAC2, Polyclonal Antibody" to become dispersed throughout the inside of the vial, particularly around the seal of said vial, during shipment and storage. We always suggest centrifuging these vials to consolidate all of the liquid away from the lid and to the bottom of the vial prior to opening. Please be advised that certain products may require dry ice for shipping and that, if this is the case, an additional dry ice fee may also be required.Precautions
All products in the AAA Biotech catalog are strictly for research-use only, and are absolutely not suitable for use in any sort of medical, therapeutic, prophylactic, in-vivo, or diagnostic capacity. By purchasing a product from AAA Biotech, you are explicitly certifying that said products will be properly tested and used in line with industry standard. AAA Biotech and its authorized distribution partners reserve the right to refuse to fulfill any order if we have any indication that a purchaser may be intending to use a product outside of our accepted criteria.Disclaimer
Though we do strive to guarantee the information represented in this datasheet, AAA Biotech cannot be held responsible for any oversights or imprecisions. AAA Biotech reserves the right to adjust any aspect of this datasheet at any time and without notice. It is the responsibility of the customer to inform AAA Biotech of any product performance issues observed or experienced within 30 days of receipt of said product. To see additional details on this or any of our other policies, please see our Terms & Conditions page.Item has been added to Shopping Cart
If you are ready to order, navigate to Shopping Cart and get ready to checkout.
