Rabbit anti-Human, Rat HDAC7 Polyclonal Antibody | anti-HDAC7 antibody
HDAC7 Polyclonal Antibody
Gene Names
HDAC7; HD7A; HDAC7A
Reactivity
Human, Rat
Applications
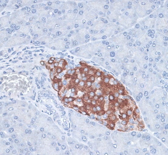
Immunohistochemistry
Purity
Affinity purification
Synonyms
HDAC7, Antibody; HDAC7 Polyclonal Antibody; HDAC7; HD7; HD7A; HDAC7A; anti-HDAC7 antibody
Host
Rabbit
Reactivity
Human, Rat
Clonality
Polyclonal
Isotype
IgG
Purity/Purification
Affinity purification
Form/Format
PBS with 0.02% sodium azide, 50% glycerol, pH7.3
Concentration
1mg/mL (varies by lot)
Applicable Applications for anti-HDAC7 antibody
IHC (Immunohistochemistry)
Immunogen
A synthetic peptide of human HDAC7 (NP_0562162)
Conjugation
Unconjugated
Preparation and Storage
Store at -20 degree C. Avoid freeze/thaw cycles.
Related Product Information for anti-HDAC7 antibody
Histones play a critical role in transcriptional regulation, cell cycle progression, and developmental events. Histone acetylation/deacetylation alters chromosome structure and affects transcription factor access to DNA. The protein encoded by this gene has sequence homology to members of the histone deacetylase family. This gene is orthologous to mouse HDAC7 gene whose protein promotes repression mediated via the transcriptional corepressor SMRT. Alternatively spliced transcript variants encoding different isoforms have been found for this gene.
Product Categories/Family for anti-HDAC7 antibody
NCBI and Uniprot Product Information
NCBI GI #
NCBI GeneID
NCBI Accession #
NCBI GenBank Nucleotide #
UniProt Accession #
Molecular Weight
102,927 Da
NCBI Official Full Name
histone deacetylase 7 isoform d
NCBI Official Synonym Full Names
histone deacetylase 7
NCBI Official Symbol
HDAC7
NCBI Official Synonym Symbols
HD7A; HDAC7A
NCBI Protein Information
histone deacetylase 7; HD7; histone deacetylase 7A
UniProt Protein Name
Histone deacetylase 7
UniProt Gene Name
HDAC7
UniProt Synonym Gene Names
HDAC7A; HD7; HD7a
UniProt Entry Name
HDAC7_HUMAN
Similar Products
Product Notes
The HDAC7 hdac7 (Catalog #AAA177391) is an Antibody produced from Rabbit and is intended for research purposes only. The product is available for immediate purchase. The HDAC7 Polyclonal Antibody reacts with Human, Rat and may cross-react with other species as described in the data sheet. AAA Biotech's HDAC7 can be used in a range of immunoassay formats including, but not limited to, IHC (Immunohistochemistry). Researchers should empirically determine the suitability of the HDAC7 hdac7 for an application not listed in the data sheet. Researchers commonly develop new applications and it is an integral, important part of the investigative research process. It is sometimes possible for the material contained within the vial of "HDAC7, Polyclonal Antibody" to become dispersed throughout the inside of the vial, particularly around the seal of said vial, during shipment and storage. We always suggest centrifuging these vials to consolidate all of the liquid away from the lid and to the bottom of the vial prior to opening. Please be advised that certain products may require dry ice for shipping and that, if this is the case, an additional dry ice fee may also be required.Precautions
All products in the AAA Biotech catalog are strictly for research-use only, and are absolutely not suitable for use in any sort of medical, therapeutic, prophylactic, in-vivo, or diagnostic capacity. By purchasing a product from AAA Biotech, you are explicitly certifying that said products will be properly tested and used in line with industry standard. AAA Biotech and its authorized distribution partners reserve the right to refuse to fulfill any order if we have any indication that a purchaser may be intending to use a product outside of our accepted criteria.Disclaimer
Though we do strive to guarantee the information represented in this datasheet, AAA Biotech cannot be held responsible for any oversights or imprecisions. AAA Biotech reserves the right to adjust any aspect of this datasheet at any time and without notice. It is the responsibility of the customer to inform AAA Biotech of any product performance issues observed or experienced within 30 days of receipt of said product. To see additional details on this or any of our other policies, please see our Terms & Conditions page.Item has been added to Shopping Cart
If you are ready to order, navigate to Shopping Cart and get ready to checkout.
