Rabbit Heparanase 1 Polyclonal Antibody | anti-HPSE antibody
Heparanase 1 Polyclonal Antibody
Gene Names
HPSE; HPA; HPA1; HPR1; HSE1; HPSE1
Applications
ELISA, Immunocytochemistry, Immunofluorescence, Immunohistochemistry, Western Blot
Purity
Affinity Purification
Synonyms
Heparanase 1, Antibody; Heparanase 1 Polyclonal Antibody; HPA; HPA1; HPR1; HSE1; HPSE1; Heparanase 1; anti-HPSE antibody
Host
Rabbit
Clonality
Polyclonal
Isotype
IgG
Purity/Purification
Affinity Purification
Form/Format
PBS with 0.09% Sodium azide,50% glycerol,pH7.3.
Sequence Length
543
Applicable Applications for anti-HPSE antibody
ELISA, ICC (Immunocytochemistry), IF (Immunofluorescence), IHC (Immunohistochemistry), WB (Western Blot)
Immunogen
Recombinant fusion protein containing a sequence corresponding to amino acids 36-275 of human Heparanase 1 (NP_001092010.1).
Species/Cross Reactivity
Human, Mouse, Rat
Preparation and Storage
Store at -20 degree C. Avoid freeze / thaw cycles.
Related Product Information for anti-HPSE antibody
Heparan sulfate proteoglycans are major components of the basement membrane and extracellular matrix. The protein encoded by this gene is an enzyme that cleaves heparan sulfate proteoglycans to permit cell movement through remodeling of the extracellular matrix. In addition, this cleavage can release bioactive molecules from the extracellular matrix. Several transcript variants encoding different isoforms have been found for this gene.
NCBI and Uniprot Product Information
NCBI GI #
NCBI GeneID
UniProt Accession #
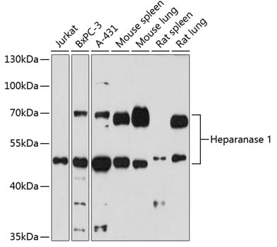
Molecular Weight
Observed MW: 50kDa/65kDa
Calculated MW: 61kDa
Calculated MW: 61kDa
NCBI Official Full Name
heparanase
NCBI Official Synonym Full Names
heparanase
NCBI Official Symbol
HPSE
NCBI Official Synonym Symbols
HPA; HPA1; HPR1; HSE1; HPSE1
NCBI Protein Information
heparanase
UniProt Protein Name
Heparanase
UniProt Gene Name
HPSE
UniProt Synonym Gene Names
HEP; HPA; HPA1; HPR1; HPSE1; HSE1; Hpa1
UniProt Entry Name
HPSE_HUMAN
Customer Reviews
Loading reviews...
Share Your Experience
Similar Products
Product Notes
The HPSE hpse (Catalog #AAA281472) is an Antibody produced from Rabbit and is intended for research purposes only. The product is available for immediate purchase. AAA Biotech's Heparanase 1 can be used in a range of immunoassay formats including, but not limited to, ELISA, ICC (Immunocytochemistry), IF (Immunofluorescence), IHC (Immunohistochemistry), WB (Western Blot). Researchers should empirically determine the suitability of the HPSE hpse for an application not listed in the data sheet. Researchers commonly develop new applications and it is an integral, important part of the investigative research process. It is sometimes possible for the material contained within the vial of "Heparanase 1, Polyclonal Antibody" to become dispersed throughout the inside of the vial, particularly around the seal of said vial, during shipment and storage. We always suggest centrifuging these vials to consolidate all of the liquid away from the lid and to the bottom of the vial prior to opening. Please be advised that certain products may require dry ice for shipping and that, if this is the case, an additional dry ice fee may also be required.Precautions
All products in the AAA Biotech catalog are strictly for research-use only, and are absolutely not suitable for use in any sort of medical, therapeutic, prophylactic, in-vivo, or diagnostic capacity. By purchasing a product from AAA Biotech, you are explicitly certifying that said products will be properly tested and used in line with industry standard. AAA Biotech and its authorized distribution partners reserve the right to refuse to fulfill any order if we have any indication that a purchaser may be intending to use a product outside of our accepted criteria.Disclaimer
Though we do strive to guarantee the information represented in this datasheet, AAA Biotech cannot be held responsible for any oversights or imprecisions. AAA Biotech reserves the right to adjust any aspect of this datasheet at any time and without notice. It is the responsibility of the customer to inform AAA Biotech of any product performance issues observed or experienced within 30 days of receipt of said product. To see additional details on this or any of our other policies, please see our Terms & Conditions page.Item has been added to Shopping Cart
If you are ready to order, navigate to Shopping Cart and get ready to checkout.
