Rabbit HER2 Polyclonal Antibody | anti-HER2 antibody
HER2 Antibody
Gene Names
ERBB2; HER2; erb2
Applications
Immunofluorescence, Immunohistochemistry, Western Blot
Purity
Affinity Chromatography
Synonyms
HER2, Antibody; HER2 Antibody; Rabbit Polyclonal HER2 Antibody; Polyclonal HER2 antibody; Anti-HER2 antibody; Metastatic lymph node gene 19 protein antibody; MLN 19 antibody; MLN19 antibody; NEU antibody; neuroblastoma/glioblastoma derived oncogene homolog antibody; NGL antibody; p185erbB2 antibody; Proto-oncogene c-ErbB-2 antibody; Proto-oncogene Neu antibody; Receptor tyrosine-protein kinase erbB-2 antibody; TKR1 antibody; Tyrosine kinase-type cell surface receptor HER2 antibody; v-erb-b2 avian erythroblastic leukemia viral oncogene homolog 2 (neuro/glioblastoma derived oncogene homolog) antibody; v-erb-b2 erythroblastic leukemia viral oncogene homolog 2 neuro/glioblastoma derived oncogene homolog (avian) antibody; c-erb B2/neu protein antibody; CD340 antibody; erbB-2 antibody; ERBB2 antibody; HER-2 antibody; HER-2/neu antibody; HER2 antibody; herstatin antibody; anti-HER2 antibody
Host
Rabbit
Clonality
Polyclonal
Isotype
IgG
Specificity
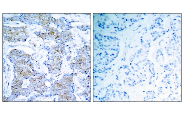
HER2 antibody detects endogenous levels of total HER2 protein
Purity/Purification
Affinity Chromatography
Form/Format
Supplied in PBS buffer (without Mg2+ and Ca2+), pH 7.4, 150mM NaCl, 0.02% Sodium Azide and 50% Glycerol
Concentration
1 mg/ml (varies by lot)
Sequence Length
304
Applicable Applications for anti-HER2 antibody
IF (Immunofluorescence), IHC (Immunohistochemistry), WB (Western Blot)
Immunogen
HER2 antibody was raised in Rabbit using a synthesized non-phosphopeptide derived from human HER2 around the phosphorylation site of tyrosine 1248 (P-E-YP-L-G) as the immunogen.
Cross-Reactivity
Mouse, Rat
Preparation and Storage
Store at -20 degree C in small aliquots. Avoid repeat freeze/thaw cycles.
Related Product Information for anti-HER2 antibody
The exact causes of breast cancer are largely unknown, but both environmental and genetic factors are involved. Specific mutations in genes called HER2, BRCA1, BRCA2, CHEK2, and p53 have been linked to breast cancer; these mutations may be inherited or acquired.
Product Categories/Family for anti-HER2 antibody
NCBI and Uniprot Product Information
Customer Reviews
Loading reviews...
Share Your Experience
Similar Products
Product Notes
The HER2 (Catalog #AAA226191) is an Antibody produced from Rabbit and is intended for research purposes only. The product is available for immediate purchase. AAA Biotech's HER2 can be used in a range of immunoassay formats including, but not limited to, IF (Immunofluorescence), IHC (Immunohistochemistry), WB (Western Blot). Researchers should empirically determine the suitability of the HER2 for an application not listed in the data sheet. Researchers commonly develop new applications and it is an integral, important part of the investigative research process. It is sometimes possible for the material contained within the vial of "HER2, Polyclonal Antibody" to become dispersed throughout the inside of the vial, particularly around the seal of said vial, during shipment and storage. We always suggest centrifuging these vials to consolidate all of the liquid away from the lid and to the bottom of the vial prior to opening. Please be advised that certain products may require dry ice for shipping and that, if this is the case, an additional dry ice fee may also be required.Precautions
All products in the AAA Biotech catalog are strictly for research-use only, and are absolutely not suitable for use in any sort of medical, therapeutic, prophylactic, in-vivo, or diagnostic capacity. By purchasing a product from AAA Biotech, you are explicitly certifying that said products will be properly tested and used in line with industry standard. AAA Biotech and its authorized distribution partners reserve the right to refuse to fulfill any order if we have any indication that a purchaser may be intending to use a product outside of our accepted criteria.Disclaimer
Though we do strive to guarantee the information represented in this datasheet, AAA Biotech cannot be held responsible for any oversights or imprecisions. AAA Biotech reserves the right to adjust any aspect of this datasheet at any time and without notice. It is the responsibility of the customer to inform AAA Biotech of any product performance issues observed or experienced within 30 days of receipt of said product. To see additional details on this or any of our other policies, please see our Terms & Conditions page.Item has been added to Shopping Cart
If you are ready to order, navigate to Shopping Cart and get ready to checkout.
