Rabbit HERC5 Polyclonal Antibody | anti-HERC5 antibody
HERC5 antibody - middle region
WB (Western Blot)
(WB Suggested Anti-HERC5 Antibody Titration: 0.2-1 ug/mlELISA Titer: 1:312500Positive Control: HepG2 cell lysate)
WB (Western Blot)
(HERC5 antibody - middle region validated by WB using hek293 cell lysate at 1:1000.HERC5 is supported by BioGPS gene expression data to be expressed in HEK293)
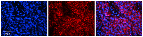
IHC (Immunohistochemistry)
(Rabbit Anti-HERC5 AntibodyFormalin Fixed Paraffin Embedded Tissue: Human Pineal TissueObserved Staining: Cytoplasmic in cell bodies and processes of pinealocytesPrimary Antibody Concentration: 1:100Other Working Concentrations: 1/600Secondary Antibody: Donkey anti-Rabbit-Cy3Secondary Antibody Concentration: 1:200Magnification: 20XExposure Time: 0.5 - 2.0 sec)
Target Description: HERC5 is a member of the HERC family of ubiquitin ligases.It contains a HECT domain and five RCC1 repeats. Pro-inflammatory cytokines upregulates expression of HERC5 protein in endothelial cells. The protein localizes to the cytoplasm and perinuclear region and functions as an interferon-induced E3 protein ligase that mediates ISGylation of protein targets.This gene is a member of the HERC family of ubiquitin ligases and encodes a protein with a HECT domain and five RCC1 repeats. Pro-inflammatory cytokines upregulate expression of this gene in endothelial cells. The protein localizes to the cytoplasm and perinuclear region and functions as an interferon-induced E3 protein ligase that mediates ISGylation of protein targets. The gene lies in a cluster of HERC family genes on chromosome 4.
NCBI and Uniprot Product Information
Customer Reviews
Loading reviews...
Share Your Experience
Similar Products
Product Notes
The HERC5 (Catalog #AAA199242) is an Antibody produced from Rabbit and is intended for research purposes only. The product is available for immediate purchase. The HERC5 antibody - middle region reacts with Cow, Horse, Human, Pig, Rabbit, Rat and may cross-react with other species as described in the data sheet. AAA Biotech's HERC5 can be used in a range of immunoassay formats including, but not limited to, WB (Western Blot), IHC (Immunohistochemistry). Researchers should empirically determine the suitability of the HERC5 for an application not listed in the data sheet. Researchers commonly develop new applications and it is an integral, important part of the investigative research process. The amino acid sequence is listed below: Synthetic peptide located within the following region: FHPEELKDVI VGNTDYDWKT FEKNARYEPG YNSSHPTIVM FWKAFHKLTL. It is sometimes possible for the material contained within the vial of "HERC5, Polyclonal Antibody" to become dispersed throughout the inside of the vial, particularly around the seal of said vial, during shipment and storage. We always suggest centrifuging these vials to consolidate all of the liquid away from the lid and to the bottom of the vial prior to opening. Please be advised that certain products may require dry ice for shipping and that, if this is the case, an additional dry ice fee may also be required.Precautions
All products in the AAA Biotech catalog are strictly for research-use only, and are absolutely not suitable for use in any sort of medical, therapeutic, prophylactic, in-vivo, or diagnostic capacity. By purchasing a product from AAA Biotech, you are explicitly certifying that said products will be properly tested and used in line with industry standard. AAA Biotech and its authorized distribution partners reserve the right to refuse to fulfill any order if we have any indication that a purchaser may be intending to use a product outside of our accepted criteria.Disclaimer
Though we do strive to guarantee the information represented in this datasheet, AAA Biotech cannot be held responsible for any oversights or imprecisions. AAA Biotech reserves the right to adjust any aspect of this datasheet at any time and without notice. It is the responsibility of the customer to inform AAA Biotech of any product performance issues observed or experienced within 30 days of receipt of said product. To see additional details on this or any of our other policies, please see our Terms & Conditions page.Item has been added to Shopping Cart
If you are ready to order, navigate to Shopping Cart and get ready to checkout.
