Rabbit HEXA Polyclonal Antibody | anti-HEXA antibody
Anti-HEXA antibody
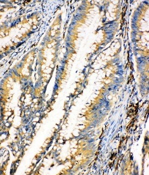
IHC (Immunohiostchemistry)
(Anti-HEXA antibody, AAA45070, IHC(P)IHC(P):Human Intestinal Cancer Tissue)
WB (Western Blot)
(Anti-HEXA antibody, AAA45070, Western blottingAll lanes: Anti HEXA (AAA45070) at 0.5ug/mlLane 1: Rat Liver Tissue Lysate at 50ugLane 2: HELA Whole Cell Lysate at 40ugLane 3: SMMC Whole Cell Lysate at 40ugPredicted bind size: 61KDObserved bind size: 61KD)
Background: HEXA(hexosaminidase A(alpha polypeptide)) is an enzyme that in humans is encoded by the HEXA gene. Hexosaminidase A and the cofactor GM2 activator protein catalyze the degradation of the GM2 gangliosides and other molecules containing terminal N-acetyl hexosamines The HEXA gene encodes the alpha subunit of hexosaminidase A, a lysosomal enzyme involved in the breakdown of gangliosides. The HEXA gene is mapped on 15q23. Even though the alpha and beta subunits of hexosaminidase A can both cleave GalNAc residues, only the alpha subunit is able to hydrolyze GM2 gangliosides. The alpha subunit contains a key residue, Arg-424, which is essential for binding the N-acetyl-neuramanic residue of GM2 gangliosides. Chimeric constructs were expressed in HeLa cells and selected constructs were produced in the baculovirus expression system to determine their ability to degrade GM2 ganglioside in the presence of GM2 activator protein. Their results allowed them to define 2 noncontiguous sequences in the alpha subunit(amino acids 1-191 and 403-529) which, when substituted into analogous positions in the beta subunit, conferred activity against the sulfated substrate.
NCBI and Uniprot Product Information
Customer Reviews
Loading reviews...
Share Your Experience
Similar Products
Product Notes
The HEXA hexa (Catalog #AAA45070) is an Antibody produced from Rabbit and is intended for research purposes only. The product is available for immediate purchase. The Anti-HEXA antibody reacts with Human, Mouse, Rat and may cross-react with other species as described in the data sheet. AAA Biotech's HEXA can be used in a range of immunoassay formats including, but not limited to, IHC (Immunohistochemistry), WB (Western Blot). Researchers should empirically determine the suitability of the HEXA hexa for an application not listed in the data sheet. Researchers commonly develop new applications and it is an integral, important part of the investigative research process. It is sometimes possible for the material contained within the vial of "HEXA, Polyclonal Antibody" to become dispersed throughout the inside of the vial, particularly around the seal of said vial, during shipment and storage. We always suggest centrifuging these vials to consolidate all of the liquid away from the lid and to the bottom of the vial prior to opening. Please be advised that certain products may require dry ice for shipping and that, if this is the case, an additional dry ice fee may also be required.Precautions
All products in the AAA Biotech catalog are strictly for research-use only, and are absolutely not suitable for use in any sort of medical, therapeutic, prophylactic, in-vivo, or diagnostic capacity. By purchasing a product from AAA Biotech, you are explicitly certifying that said products will be properly tested and used in line with industry standard. AAA Biotech and its authorized distribution partners reserve the right to refuse to fulfill any order if we have any indication that a purchaser may be intending to use a product outside of our accepted criteria.Disclaimer
Though we do strive to guarantee the information represented in this datasheet, AAA Biotech cannot be held responsible for any oversights or imprecisions. AAA Biotech reserves the right to adjust any aspect of this datasheet at any time and without notice. It is the responsibility of the customer to inform AAA Biotech of any product performance issues observed or experienced within 30 days of receipt of said product. To see additional details on this or any of our other policies, please see our Terms & Conditions page.Item has been added to Shopping Cart
If you are ready to order, navigate to Shopping Cart and get ready to checkout.
