Rabbit HGS Polyclonal Antibody | anti-HGS antibody
HGS Antibody
Phosphate buffered saline, pH 7.4, 150mM NaCl, 0.02% sodium azide and 50% glycerol.
IF (Immunofluorescence)
(AAA323729 staining HepG2 cells by IF/ICC. The sample were fixed with PFA and permeabilized in 0.1% Triton X-100, then blocked in 10% serum for 45 minutes at 25 degree C. The primary antibody was diluted at 1/200 and incubated with the sample for 1 hour at 37 degree C. An Alexa Fluor 594 conjugated goat anti-rabbit IgG (H+L) antibody, diluted at 1/600, was used as secondary antibody.)
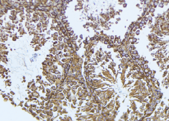
IHC (Immunohistochemistry)
(AAA323729 at 1/100 staining Mouse testis tissue by IHC-P. The sample was formaldehyde fixed and a heat mediated antigen retrieval step in citrate buffer was performed. The sample was then blocked and incubated with the antibody for 1.5 hours at 22 degree C. An HRP conjugated goat anti-rabbit antibody was used as the secondary.)
Subunit Structure: Component of the ESCRT-0 complex composed of STAM or STAM2 and HGS. Part of a complex at least composed of HSG, STAM2 (or probably STAM) and EPS15 (PubMed:12551915). Interacts with STAM (PubMed:9407053). Interacts with STAM2 (By similarity). Interacts with EPS15; the interaction is direct, calcium-dependent and inhibited by SNAP25 (By similarity). Identified in a complex with STAM and LITAF (PubMed:23166352). Found in a complex with STAM and E3 ligase ITCH and DTX3L (PubMed:24790097). Interacts with E3 ligase DTX3L; the interaction brings together STAM and HSG, promotes their recruitment to early endosomes and decreases STAM and HGS ubiquitination by ITCH (PubMed:24790097). Interacts with NF2; the interaction is direct (PubMed:10861283). Interacts with ubiquitin; the interaction is direct (By similarity). Interacts with VPS37C (PubMed:15509564). Interacts with SMAD1, SMAD2 and SMAD3 (By similarity). Interacts with TSG101; the interaction mediates the association with the ESCRT-I complex (PubMed:21070952). Interacts with SNAP25; the interaction is direct and decreases with addition of increasing concentrations of free calcium (By similarity). Interacts with SNX1; the interaction is direct (By similarity). Component of a 550 kDa membrane complex at least composed of HGS and SNX1 but excluding EGFR (By similarity). Interacts with TRAK1 (PubMed:18675823). Interacts with TRAK2 (By similarity). Component of the CART complex, at least composed of ACTN4, HGS/HRS, MYO5B and TRIM3 (PubMed:15772161). Interacts (via UIM domain) with UBQLN1 (via ubiquitin-like domain) (By similarity). Interacts with ARRDC3 (PubMed:23208550). Identified in a complex containing at least ARRDC4, AVPR2 and HGS (PubMed:23236378). Interacts with LAPTM4B; promotes HGS ubiquitination (PubMed:25588945).
Post-translational Modifications: Phosphorylated on Tyr-334. A minor site of phosphorylation on Tyr-329 is detected (By similarity). Phosphorylation occurs in response to EGF, IL-2, GM-CSF and HGF. Ubiquitinated (PubMed:25588945). Ubiquitinated by ITCH (PubMed:14602072, PubMed:24790097).
Similarity: Has a double-sided UIM that can bind 2 ubiquitin molecules, one on each side of the helix.The FYVE-type zinc finger domain mediates interactions with phosphatidylinositol 3-phosphate in membranes of early endosomes and penetrates bilayers. The FYVE domain insertion into PtdIns3P-enriched membranes is substantially increased in acidic conditions.
NCBI and Uniprot Product Information
Predicted: 87 kDa
Customer Reviews
Loading reviews...
Share Your Experience
Similar Products
Product Notes
The HGS hgs (Catalog #AAA323729) is an Antibody produced from Rabbit and is intended for research purposes only. The product is available for immediate purchase. The HGS Antibody reacts with Human, Mouse, Rat and may cross-react with other species as described in the data sheet. AAA Biotech's HGS can be used in a range of immunoassay formats including, but not limited to, ELISA, ICC (Immunocytochemistry), IF (Immunofluorescence), IHC (Immunohistochemistry), WB (Western Blot). Researchers should empirically determine the suitability of the HGS hgs for an application not listed in the data sheet. Researchers commonly develop new applications and it is an integral, important part of the investigative research process. It is sometimes possible for the material contained within the vial of "HGS, Polyclonal Antibody" to become dispersed throughout the inside of the vial, particularly around the seal of said vial, during shipment and storage. We always suggest centrifuging these vials to consolidate all of the liquid away from the lid and to the bottom of the vial prior to opening. Please be advised that certain products may require dry ice for shipping and that, if this is the case, an additional dry ice fee may also be required.Precautions
All products in the AAA Biotech catalog are strictly for research-use only, and are absolutely not suitable for use in any sort of medical, therapeutic, prophylactic, in-vivo, or diagnostic capacity. By purchasing a product from AAA Biotech, you are explicitly certifying that said products will be properly tested and used in line with industry standard. AAA Biotech and its authorized distribution partners reserve the right to refuse to fulfill any order if we have any indication that a purchaser may be intending to use a product outside of our accepted criteria.Disclaimer
Though we do strive to guarantee the information represented in this datasheet, AAA Biotech cannot be held responsible for any oversights or imprecisions. AAA Biotech reserves the right to adjust any aspect of this datasheet at any time and without notice. It is the responsibility of the customer to inform AAA Biotech of any product performance issues observed or experienced within 30 days of receipt of said product. To see additional details on this or any of our other policies, please see our Terms & Conditions page.Item has been added to Shopping Cart
If you are ready to order, navigate to Shopping Cart and get ready to checkout.
