HINT1 Polyclonal Antibody | anti-HINT1 antibody
Anti-HINT1 Antibody
IHC (Immunohistochemistry)
(Anti- HINT1 Picoband antibody, AAA46429, IHC(P)IHC(P): Human Intestinal Cancer Tissue)
IHC (Immunohistochemisry)
(Anti- HINT1 Picoband antibody, AAA46429, IHC(P)IHC(P): Rat Kidney Tissue)
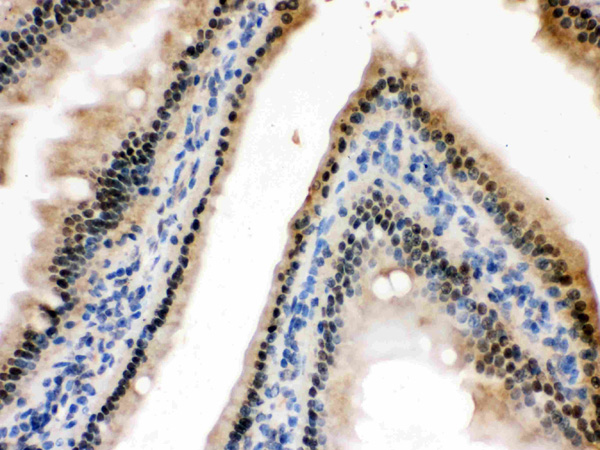
IHC (Immunohiostchemistry)
(Anti- HINT1 Picoband antibody, AAA46429, IHC(P)IHC(P): Mouse Intestine Tissue)
WB (Western Blot)
(Anti- HINT1 Picoband antibody, AAA46429, Western blottingAll lanes: Anti HINT1 (AAA46429) at 0.5ug/mlLane 1: Rat Liver Tissue Lysate at 50ugLane 2: Rat Thymus Tissue Lysate at 50ugLane 3: Rat Testis Tissue Lysate at 50ugLane 4: Rat Skeletal Muscle Tissue Lysate at 50ugLane 5: HELA Whole Cell Lysate at 40ugLane 6: 22RV1 Whole Cell Lysate at 40ugPredicted bind size: 14KDObserved bind size: 14KD)
Background: Histidine triad nucleotide-binding protein 1 is a protein that in humans is encoded by the HINT1 gene. It is a haploinsufficient tumor suppressor gene that inhibits the Wnt/beta-catenin pathway in colon cancer cells and Microphthalmia-associated transcription factor (MITF) activity in human mast cells. The protein encoded by this gene can hydrolyze substrates such as AMP-morpholidate, AMP-N-alanine methyl ester, AMP-alpha-acetyl lysine methyl ester, and AMP-NH2. The encoded protein interacts with these substrates via a histidine triad motif, which is part of the loop that binds to the substrate. Several transcript variants, but only one of them protein-coding, have been found for this gene.
NCBI and Uniprot Product Information
Customer Reviews
Loading reviews...
Share Your Experience
Similar Products
Product Notes
The HINT1 hint1 (Catalog #AAA46429) is an Antibody and is intended for research purposes only. The product is available for immediate purchase. The Anti-HINT1 Antibody reacts with Human, Mouse, Rat and may cross-react with other species as described in the data sheet. AAA Biotech's HINT1 can be used in a range of immunoassay formats including, but not limited to, IHC (Immunohistochemistry), WB (Western Blot). Researchers should empirically determine the suitability of the HINT1 hint1 for an application not listed in the data sheet. Researchers commonly develop new applications and it is an integral, important part of the investigative research process. It is sometimes possible for the material contained within the vial of "HINT1, Polyclonal Antibody" to become dispersed throughout the inside of the vial, particularly around the seal of said vial, during shipment and storage. We always suggest centrifuging these vials to consolidate all of the liquid away from the lid and to the bottom of the vial prior to opening. Please be advised that certain products may require dry ice for shipping and that, if this is the case, an additional dry ice fee may also be required.Precautions
All products in the AAA Biotech catalog are strictly for research-use only, and are absolutely not suitable for use in any sort of medical, therapeutic, prophylactic, in-vivo, or diagnostic capacity. By purchasing a product from AAA Biotech, you are explicitly certifying that said products will be properly tested and used in line with industry standard. AAA Biotech and its authorized distribution partners reserve the right to refuse to fulfill any order if we have any indication that a purchaser may be intending to use a product outside of our accepted criteria.Disclaimer
Though we do strive to guarantee the information represented in this datasheet, AAA Biotech cannot be held responsible for any oversights or imprecisions. AAA Biotech reserves the right to adjust any aspect of this datasheet at any time and without notice. It is the responsibility of the customer to inform AAA Biotech of any product performance issues observed or experienced within 30 days of receipt of said product. To see additional details on this or any of our other policies, please see our Terms & Conditions page.Item has been added to Shopping Cart
If you are ready to order, navigate to Shopping Cart and get ready to checkout.
