Rabbit Histone H3K4ac Polyclonal Antibody | anti-H3K4ac antibody
Histone H3K4ac antibody (pAb)
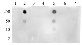
DB (Dot Blot)
(Histone H3K4ac antibody (pAb) tested by dot blot analysis. Dot blot analysis was used to confirm the specificity of Histone H3K4ac antibody. Acetylated peptides corresponding to the immunogen and related peptides were spotted onto PVDF and probed with the antibody at 1:1,000. The amount of peptide (picomoles) spotted is indicated next to each row. Column 1: H3K4ac peptide. Column 2: unmodified H3K9 peptide. Column 3: H3K9ac peptide. Column 4: unmodified H3K14 peptide. Column 5: H3K14ac peptide. Column 6: H3K18ac peptide. Column 7: H3K23ac peptide. Column 8: H3K27ac peptide.)
WB (Western Blot)
(Histone H3K4ac antibody (pAb) tested by Western blot. Western Blot: A549 whole-cell extract (20 ug per lane) probed with Histone H3 acetyl Lys4 pAb (1:2,000 dilution). Lane 1: Untreated cells. Lane 2: Cells treated with Trichostatin A.)
IF (Immunofluorescence)
(Histone H3K4ac antibody (pAb) tested by immunofluorescence. Top left: HeLa cells stained with Histone H3 acetyl Lys4 pAb (1:1,000). Top right: Same cells stained with alpha Tubulin mAb (Clone 5-B-1-2). Bottom left: Same cells stained with DAPI. Bottom right: Merge of all 3 images.)
ChIP (Chromatin Immunoprecipitation)
(Histone H3K4ac antibody (pAb) tested by ChIP analysis. Chromatin IP performed using the ChIP-IT Express Kit and HeLa Chromatin (1.5 x 106 cell equivalents per ChIP) using 10 ul of Histone H3 acetyl Lys4 pAb or the equivalent amount of rabbit IgG as a negative control. Real time, quantitative PCR (RT-qPCR) was performed on DNA purified from each of the ChIP reactions using a primer pair specific for the indicated gene. Data are presented as Fold Enrichment of the ChIP antibody signal versus the negative control IgG using the ddCT method.)
ChIP (Chromatin Immunoprecipitation)
(Histone H3K4ac antibody (pAb) tested by ChIP-Seq. ChIP was performed using the ChIP-IT High Sensitivity Kit with 30 ug of chromatin from a human medulloblastoma cell line and 4 ul of antibody. ChIP DNA was sequenced on the Illumina HiSeq and 15 million sequence tags were mapped to identify Histone H3K4ac binding sites. The image shows binding of GAPDH on chromosome 12.)
Background: Histone H3 is one of the core components of the nucleosome. The nucleosome is the smallest subunit of chromatin and consists of 147 base pairs of DNA wrapped around an octamer of core histone proteins (two each of Histone H2A, Histone H2B, Histone H3 and Histone H4). Chromatin is subject to a variety of chemical modifications, including post-translational modifications of the histone proteins and the methylation of cytosine residues in the DNA. Reported histone modifications include acetylation, methylation, phosphorylation, ubiquitylation, glycosylation, ADP-ribosylation, carbonylation and SUMOylation; these modifications play a major role in regulating gene expression. Lysine N-epsilon-acetylation is a dynamic, reversible and tightly regulated protein and histone modification that plays a major role in chromatin remodeling and in the regulation of gene expression in various cellular functions. Histone acetylation is often associated with transcriptional activation. Lysine 4 of histone H3 can also be mono-, di- or trimethylated. This methylation is associated with transcriptional activation.
NCBI and Uniprot Product Information
Customer Reviews
Loading reviews...
Share Your Experience
Similar Products
Product Notes
The H3K4ac (Catalog #AAA59867) is an Antibody produced from Rabbit and is intended for research purposes only. The product is available for immediate purchase. The Histone H3K4ac antibody (pAb) reacts with Human, Wide Range Predicted and may cross-react with other species as described in the data sheet. AAA Biotech's Histone H3K4ac can be used in a range of immunoassay formats including, but not limited to, WB (Western Blot), IF (Immunofluorescence), ICC (Immunocytochemistry), DB (Dot Blot), ChIP (Chromatin immunoprecipitation), ChIP (Chromatin immunoprecipitation). Researchers should empirically determine the suitability of the H3K4ac for an application not listed in the data sheet. Researchers commonly develop new applications and it is an integral, important part of the investigative research process. It is sometimes possible for the material contained within the vial of "Histone H3K4ac, Polyclonal Antibody" to become dispersed throughout the inside of the vial, particularly around the seal of said vial, during shipment and storage. We always suggest centrifuging these vials to consolidate all of the liquid away from the lid and to the bottom of the vial prior to opening. Please be advised that certain products may require dry ice for shipping and that, if this is the case, an additional dry ice fee may also be required.Precautions
All products in the AAA Biotech catalog are strictly for research-use only, and are absolutely not suitable for use in any sort of medical, therapeutic, prophylactic, in-vivo, or diagnostic capacity. By purchasing a product from AAA Biotech, you are explicitly certifying that said products will be properly tested and used in line with industry standard. AAA Biotech and its authorized distribution partners reserve the right to refuse to fulfill any order if we have any indication that a purchaser may be intending to use a product outside of our accepted criteria.Disclaimer
Though we do strive to guarantee the information represented in this datasheet, AAA Biotech cannot be held responsible for any oversights or imprecisions. AAA Biotech reserves the right to adjust any aspect of this datasheet at any time and without notice. It is the responsibility of the customer to inform AAA Biotech of any product performance issues observed or experienced within 30 days of receipt of said product. To see additional details on this or any of our other policies, please see our Terms & Conditions page.Item has been added to Shopping Cart
If you are ready to order, navigate to Shopping Cart and get ready to checkout.
