Rabbit HK2 Polyclonal Antibody | anti-HK2 antibody
HK2 Polyclonal Antibody
Gene Names
ATP2A2; DD; DAR; ATP2B; SERCA2
Reactivity
Human, Mouse, Rat
Applications
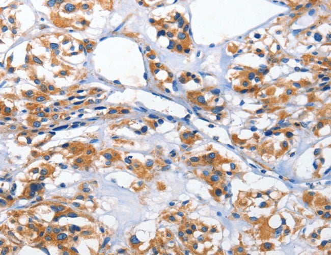
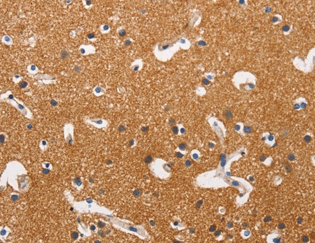
Immunohistochemistry, ELISA
Purity
Antigen affinity purification
Synonyms
HK2, Antibody; HK2 Polyclonal Antibody; HKII; HXK2; anti-HK2 antibody
Host
Rabbit
Reactivity
Human, Mouse, Rat
Clonality
Polyclonal
Isotype
IgG
Purity/Purification
Antigen affinity purification
Concentration
1.9mg/mL (varies by lot)
Sequence Length
997
Applicable Applications for anti-HK2 antibody
IHC (Immunohistochemistry), ELISA
Immunogen
Recombinant protein of human HK2
Buffer
PBS with 0.05% sodium azide, 50% glycerol, pH7.3
Preparation and Storage
Store at -20 degree C (regular) and -80 degree C (long term). Avoid freeze / thaw cycles.
Related Product Information for anti-HK2 antibody
Hexokinases phosphorylate glucose to produce glucose-6-phosphate, the first step in most glucose metabolism pathways. This gene encodes hexokinase 2, the predominant form found in skeletal muscle. It localizes to the outer membrane of mitochondria. Expression of this gene is insulin-responsive, and studies in rat suggest that it is involved in the increased rate of glycolysis seen in rapidly growing cancer cells.
Product Categories/Family for anti-HK2 antibody
NCBI and Uniprot Product Information
NCBI GI #
NCBI GeneID
Molecular Weight
109,734 Da
NCBI Official Full Name
HK2
NCBI Official Synonym Full Names
ATPase, Ca++ transporting, cardiac muscle, slow twitch 2
NCBI Official Symbol
ATP2A2
NCBI Official Synonym Symbols
DD; DAR; ATP2B; SERCA2
NCBI Protein Information
sarcoplasmic/endoplasmic reticulum calcium ATPase 2; ATPase, Ca++ dependent, slow-twitch, cardiac muscle-2; SR Ca(2+)-ATPase 2; calcium pump 2; calcium-transporting ATPase sarcoplasmic reticulum type, slow twitch skeletal muscle isoform; cardiac Ca2+ ATPase; endoplasmic reticulum class 1/2 Ca(2+) ATPase
UniProt Protein Name
Sarcoplasmic/endoplasmic reticulum calcium ATPase 2
UniProt Gene Name
ATP2A2
UniProt Synonym Gene Names
ATP2B; SERCA2; SR Ca(2+)-ATPase 2
UniProt Entry Name
AT2A2_HUMAN
Customer Reviews
Loading reviews...
Share Your Experience
Similar Products
Product Notes
The HK2 atp2a2 (Catalog #AAA170778) is an Antibody produced from Rabbit and is intended for research purposes only. The product is available for immediate purchase. The HK2 Polyclonal Antibody reacts with Human, Mouse, Rat and may cross-react with other species as described in the data sheet. AAA Biotech's HK2 can be used in a range of immunoassay formats including, but not limited to, IHC (Immunohistochemistry), ELISA. Researchers should empirically determine the suitability of the HK2 atp2a2 for an application not listed in the data sheet. Researchers commonly develop new applications and it is an integral, important part of the investigative research process. It is sometimes possible for the material contained within the vial of "HK2, Polyclonal Antibody" to become dispersed throughout the inside of the vial, particularly around the seal of said vial, during shipment and storage. We always suggest centrifuging these vials to consolidate all of the liquid away from the lid and to the bottom of the vial prior to opening. Please be advised that certain products may require dry ice for shipping and that, if this is the case, an additional dry ice fee may also be required.Precautions
All products in the AAA Biotech catalog are strictly for research-use only, and are absolutely not suitable for use in any sort of medical, therapeutic, prophylactic, in-vivo, or diagnostic capacity. By purchasing a product from AAA Biotech, you are explicitly certifying that said products will be properly tested and used in line with industry standard. AAA Biotech and its authorized distribution partners reserve the right to refuse to fulfill any order if we have any indication that a purchaser may be intending to use a product outside of our accepted criteria.Disclaimer
Though we do strive to guarantee the information represented in this datasheet, AAA Biotech cannot be held responsible for any oversights or imprecisions. AAA Biotech reserves the right to adjust any aspect of this datasheet at any time and without notice. It is the responsibility of the customer to inform AAA Biotech of any product performance issues observed or experienced within 30 days of receipt of said product. To see additional details on this or any of our other policies, please see our Terms & Conditions page.Item has been added to Shopping Cart
If you are ready to order, navigate to Shopping Cart and get ready to checkout.
