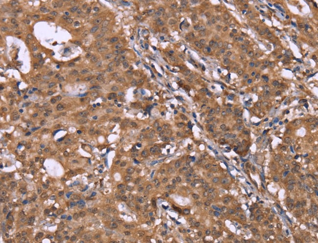
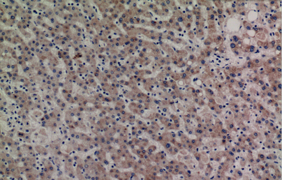
Rabbit HLTF Polyclonal Antibody | anti-HLTF antibody
HLTF Polyclonal Antibody
Gene Names
HLTF; ZBU1; HLTF1; RNF80; HIP116; SNF2L3; HIP116A; SMARCA3
Reactivity
Human, Mouse, Rat
Applications
Immunohistochemistry, ELISA
Purity
Antigen affinity purification
Synonyms
HLTF, Antibody; HLTF Polyclonal Antibody; ZBU1; HLTF1; RNF80; HIP116; SNF2L3; HIP116A; SMARCA3; anti-HLTF antibody
Host
Rabbit
Reactivity
Human, Mouse, Rat
Clonality
Polyclonal
Isotype
IgG
Purity/Purification
Antigen affinity purification
Concentration
2.8mg/mL (varies by lot)
Sequence Length
1009
Applicable Applications for anti-HLTF antibody
IHC (Immunohistochemistry), ELISA
Immunogen
Synthetic peptide of human HLTF
Buffer
PBS with 0.05% sodium azide, 50% glycerol, pH7.3
Preparation and Storage
Store at -20 degree C (regular) and -80 degree C (long term). Avoid freeze / thaw cycles.
Related Product Information for anti-HLTF antibody
This gene encodes a member of the SWI/SNF family. Members of this family have helicase and ATPase activities and are thought to regulate transcription of certain genes by altering the chromatin structure around those genes. The encoded protein contains a RING finger DNA binding motif. Two transcript variants encoding the same protein have been found for this gene. However, use of an alternative translation start site produces an isoform that is truncated at the N-terminus compared to the full-length protein.
Product Categories/Family for anti-HLTF antibody
NCBI and Uniprot Product Information
NCBI GI #
NCBI GeneID
NCBI Accession #
NCBI GenBank Nucleotide #
Molecular Weight
99,919 Da
NCBI Official Full Name
helicase-like transcription factor
NCBI Official Synonym Full Names
helicase-like transcription factor
NCBI Official Symbol
HLTF
NCBI Official Synonym Symbols
ZBU1; HLTF1; RNF80; HIP116; SNF2L3; HIP116A; SMARCA3
NCBI Protein Information
helicase-like transcription factor; DNA-binding protein/plasminogen activator inhibitor 1 regulator; DNA-binding protein/plasminogen activator inhibitor-1 regulator; RING finger protein 80; SNF2-like 3; SWI/SNF related, matrix associated, actin dependent regulator of chromatin, subfamily a, member 3; SWI/SNF-related matrix-associated actin-dependent regulator of chromatin subfamily A member 3; sucrose nonfermenting protein 2-like 3; sucrose nonfermenting-like 3
UniProt Protein Name
Helicase-like transcription factor
UniProt Gene Name
HLTF
UniProt Synonym Gene Names
HIP116A; RNF80; SMARCA3; SNF2L3; ZBU1
UniProt Entry Name
HLTF_HUMAN
Customer Reviews
Loading reviews...
Share Your Experience
Similar Products
Product Notes
The HLTF hltf (Catalog #AAA166738) is an Antibody produced from Rabbit and is intended for research purposes only. The product is available for immediate purchase. The HLTF Polyclonal Antibody reacts with Human, Mouse, Rat and may cross-react with other species as described in the data sheet. AAA Biotech's HLTF can be used in a range of immunoassay formats including, but not limited to, IHC (Immunohistochemistry), ELISA. Researchers should empirically determine the suitability of the HLTF hltf for an application not listed in the data sheet. Researchers commonly develop new applications and it is an integral, important part of the investigative research process. It is sometimes possible for the material contained within the vial of "HLTF, Polyclonal Antibody" to become dispersed throughout the inside of the vial, particularly around the seal of said vial, during shipment and storage. We always suggest centrifuging these vials to consolidate all of the liquid away from the lid and to the bottom of the vial prior to opening. Please be advised that certain products may require dry ice for shipping and that, if this is the case, an additional dry ice fee may also be required.Precautions
All products in the AAA Biotech catalog are strictly for research-use only, and are absolutely not suitable for use in any sort of medical, therapeutic, prophylactic, in-vivo, or diagnostic capacity. By purchasing a product from AAA Biotech, you are explicitly certifying that said products will be properly tested and used in line with industry standard. AAA Biotech and its authorized distribution partners reserve the right to refuse to fulfill any order if we have any indication that a purchaser may be intending to use a product outside of our accepted criteria.Disclaimer
Though we do strive to guarantee the information represented in this datasheet, AAA Biotech cannot be held responsible for any oversights or imprecisions. AAA Biotech reserves the right to adjust any aspect of this datasheet at any time and without notice. It is the responsibility of the customer to inform AAA Biotech of any product performance issues observed or experienced within 30 days of receipt of said product. To see additional details on this or any of our other policies, please see our Terms & Conditions page.Item has been added to Shopping Cart
If you are ready to order, navigate to Shopping Cart and get ready to checkout.
