Rabbit anti-Human, Mouse hnRNP A2/B1 Polyclonal Antibody | anti-HNRNPA2B1 antibody
hnRNP A2/B1 Antibody
Phosphate buffered saline, pH 7.4, 150mM NaCl, 0.02% sodium azide and 50% glycerol.
IF (Immunofluorescence)
(AAA323831 staining HepG2 by IF/ICC. The sample were fixed with PFA and permeabilized in 0.1% Triton X-100, then blocked in 10% serum for 45 minutes at 25 degree C. The primary antibody was diluted at 1/200 and incubated with the sample for 1 hour at 37 degree C. An Alexa Fluor 594 conjugated goat anti-rabbit IgG (H+L) Ab, diluted at 1/600, was used as the secondary antibody.)
Subunit Structure: Identified in the spliceosome C complex (PubMed:11991638). Identified in a IGF2BP1-dependent mRNP granule complex containing untranslated mRNAs (PubMed:17289661). Interacts with IGF2BP1 (PubMed:17289661). Interacts with C9orf72 (PubMed:24549040). Interacts with DGCR8 (PubMed:26321680). Interacts with TARDBP (PubMed:19429692). Interacts with CKAP5 (PubMed:15703215).
Post-translational Modifications: Sumoylated in exosomes, promoting miRNAs-binding. Asymmetric dimethylation at Arg-266 constitutes the major methylation site (By similarity). According to a report, methylation affects subcellular location and promotes nuclear localization (PubMed:10772824). According to another report, methylation at Arg-266 does not influence nucleocytoplasmic shuttling (By similarity).
Similarity: The low complexity (LC) region is intrinsically disordered. When incubated at high concentration, it is able to polymerize into labile, amyloid-like fibers and form cross-beta polymerization structures, probably driving the formation of hydrogels. In contrast to irreversible, pathogenic amyloids, the fibers polymerized from LC regions disassemble upon dilution. A number of evidences suggest that formation of cross-beta structures by LC regions mediate the formation of RNA granules, liquid-like droplets, and hydrogels.
NCBI and Uniprot Product Information
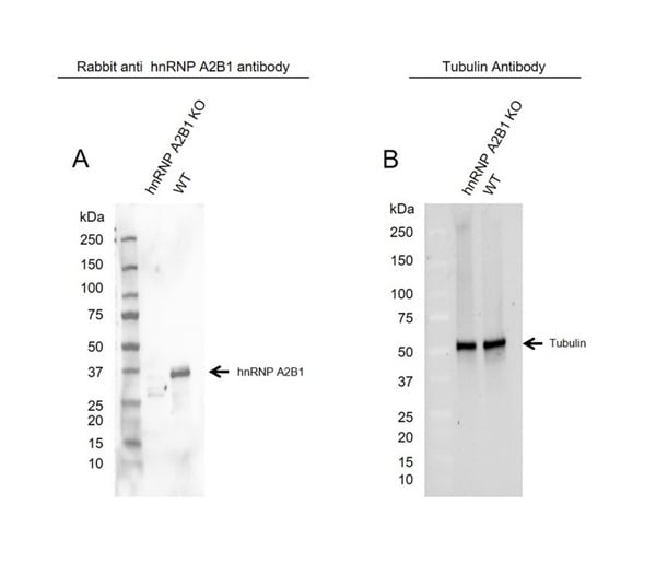
Predicted: 38 kDa
Customer Reviews
Loading reviews...
Share Your Experience
Similar Products
Product Notes
The HNRNPA2B1 hnrnpa2b1 (Catalog #AAA323831) is an Antibody produced from Rabbit and is intended for research purposes only. The product is available for immediate purchase. The hnRNP A2/B1 Antibody reacts with Human, Mouse and may cross-react with other species as described in the data sheet. AAA Biotech's hnRNP A2/B1 can be used in a range of immunoassay formats including, but not limited to, ELISA, ICC (Immunocytochemistry), IF (Immunofluorescence), WB (Western Blot). Researchers should empirically determine the suitability of the HNRNPA2B1 hnrnpa2b1 for an application not listed in the data sheet. Researchers commonly develop new applications and it is an integral, important part of the investigative research process. It is sometimes possible for the material contained within the vial of "hnRNP A2/B1, Polyclonal Antibody" to become dispersed throughout the inside of the vial, particularly around the seal of said vial, during shipment and storage. We always suggest centrifuging these vials to consolidate all of the liquid away from the lid and to the bottom of the vial prior to opening. Please be advised that certain products may require dry ice for shipping and that, if this is the case, an additional dry ice fee may also be required.Precautions
All products in the AAA Biotech catalog are strictly for research-use only, and are absolutely not suitable for use in any sort of medical, therapeutic, prophylactic, in-vivo, or diagnostic capacity. By purchasing a product from AAA Biotech, you are explicitly certifying that said products will be properly tested and used in line with industry standard. AAA Biotech and its authorized distribution partners reserve the right to refuse to fulfill any order if we have any indication that a purchaser may be intending to use a product outside of our accepted criteria.Disclaimer
Though we do strive to guarantee the information represented in this datasheet, AAA Biotech cannot be held responsible for any oversights or imprecisions. AAA Biotech reserves the right to adjust any aspect of this datasheet at any time and without notice. It is the responsibility of the customer to inform AAA Biotech of any product performance issues observed or experienced within 30 days of receipt of said product. To see additional details on this or any of our other policies, please see our Terms & Conditions page.Item has been added to Shopping Cart
If you are ready to order, navigate to Shopping Cart and get ready to checkout.
