Rabbit hnRNP C1/2 Polyclonal Antibody | anti-HNRNPC antibody
Phospho-hnRNP C1/2 (Ser260) Antibody
Phosphate buffered saline, pH 7.4, 150mM NaCl, 0.02% sodium azide and 50% glycerol.
IF (Immunofluorescence)
(AAA321495 staining 293 by IF/ICC. The sample were fixed with PFA and permeabilized in 0.1% Triton X-100, then blocked in 10% serum for 45 minutes at 25 degree C. The primary antibody was diluted at 1/200 and incubated with the sample for 1 hour at 37 degree C. An Alexa Fluor 594 conjugated goat anti-rabbit IgG (H+L) Ab, diluted at 1/600, was used as the secondary antibody.)
WB (Western Blot)
(Western blot analysis of Phospho-hnRNP C1/2 (Ser260) expression in various lysates)
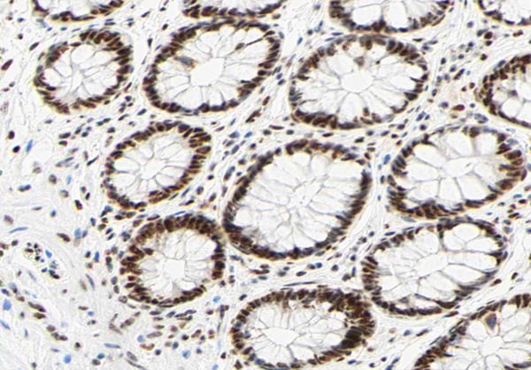
IHC (Immunohiostchemistry)
(AAA321495 at 1/200 staining human colon carcinoma tissue sections by IHC-P. The tissue was formaldehyde fixed and a heat mediated antigen retrieval step in citrate buffer was performed. The tissue was then blocked and incubated with the antibody for 1.5 hours at 22 degree C. An HRP conjugated goat anti-rabbit antibody was used as the secondary.)
WB (Western Blot)
(Western blot analysis of hnRNP C1/2 phosphorylation expression in H2O2 treated 293 whole cell lysates, The lane on the left is treated with the antigen-specific peptide.)
Function: Binds pre-mRNA and nucleates the assembly of 40S hnRNP particles (PubMed:8264621). Interacts with poly-U tracts in the 3'-UTR or 5'-UTR of mRNA and modulates the stability and the level of translation of bound mRNA molecules (PubMed:12509468, PubMed:16010978, PubMed:7567451, PubMed:8264621). Single HNRNPC tetramers bind 230-240 nucleotides. Trimers of HNRNPC tetramers bind 700 nucleotides (PubMed:8264621). May play a role in the early steps of spliceosome assembly and pre-mRNA splicing. N6-methyladenosine (m6A) has been shown to alter the local structure in mRNAs and long non-coding RNAs (lncRNAs) via a mechanism named 'm6A-switch', facilitating binding of HNRNPC, leading to regulation of mRNA splicing (PubMed:25719671).
Subunit Structure: Tetramer composed of 3 copies of isoform C1 and 1 copy of isoform C2. Assembly of 3 tetramers with bound pre-mRNA gives rise to a 19S complex that interacts with HNRNPA2B1 tetramers. Component of the 40S hnRNP particle. Identified in the spliceosome C complex. Interacts with IGF2BP1. Interacts with DHX9; this interaction is direct, enhanced probably by their concomitant binding to RNA and mediates the attachment to actin filaments (PubMed:11687588).
Post-translational Modifications: Phosphorylated on Ser-260 and Ser-299 in resting cells. Phosphorylated on Ser-253 and on 1 serine residue in the poly-Ser stretch at position 238 in response to hydrogen peroxide. Sumoylated. Sumoylation reduces affinity for mRNA.
Similarity: Belongs to the RRM HNRPC family. RALY subfamily.
NCBI and Uniprot Product Information
Predicted: 34 kDa
Customer Reviews
Loading reviews...
Share Your Experience
Similar Products
Product Notes
The HNRNPC hnrnpc (Catalog #AAA321495) is an Antibody produced from Rabbit and is intended for research purposes only. The product is available for immediate purchase. The Phospho-hnRNP C1/2 (Ser260) Antibody reacts with Human, Mouse, Rat and may cross-react with other species as described in the data sheet. AAA Biotech's hnRNP C1/2 can be used in a range of immunoassay formats including, but not limited to, ELISA, ICC (Immunocytochemistry), IF (Immunofluorescence), IHC (Immunohistochemistry), WB (Western Blot). Researchers should empirically determine the suitability of the HNRNPC hnrnpc for an application not listed in the data sheet. Researchers commonly develop new applications and it is an integral, important part of the investigative research process. It is sometimes possible for the material contained within the vial of "hnRNP C1/2, Polyclonal Antibody" to become dispersed throughout the inside of the vial, particularly around the seal of said vial, during shipment and storage. We always suggest centrifuging these vials to consolidate all of the liquid away from the lid and to the bottom of the vial prior to opening. Please be advised that certain products may require dry ice for shipping and that, if this is the case, an additional dry ice fee may also be required.Precautions
All products in the AAA Biotech catalog are strictly for research-use only, and are absolutely not suitable for use in any sort of medical, therapeutic, prophylactic, in-vivo, or diagnostic capacity. By purchasing a product from AAA Biotech, you are explicitly certifying that said products will be properly tested and used in line with industry standard. AAA Biotech and its authorized distribution partners reserve the right to refuse to fulfill any order if we have any indication that a purchaser may be intending to use a product outside of our accepted criteria.Disclaimer
Though we do strive to guarantee the information represented in this datasheet, AAA Biotech cannot be held responsible for any oversights or imprecisions. AAA Biotech reserves the right to adjust any aspect of this datasheet at any time and without notice. It is the responsibility of the customer to inform AAA Biotech of any product performance issues observed or experienced within 30 days of receipt of said product. To see additional details on this or any of our other policies, please see our Terms & Conditions page.Item has been added to Shopping Cart
If you are ready to order, navigate to Shopping Cart and get ready to checkout.
