Rabbit HS1BP3 Polyclonal Antibody | anti-HS1BP3 antibody
HS1BP3 Polyclonal Antibody
Gene Names
HS1BP3; ETM2; HS1-BP3; FLJ14249
Reactivity
Human, Mouse, Rat
Applications
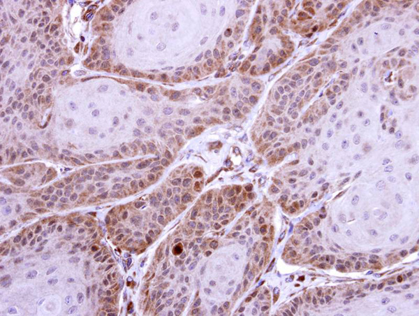
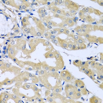
Immunofluorescence, Immunohistochemistry, Western Blot
Purity
Affinity purification
Synonyms
HS1BP3, Antibody; HS1BP3 Polyclonal Antibody; HS1BP3; ETM2; HS1-BP3; HCLS1-binding protein 3; anti-HS1BP3 antibody
Host
Rabbit
Reactivity
Human, Mouse, Rat
Clonality
Polyclonal
Isotype
IgG
Purity/Purification
Affinity purification
Form/Format
PBS with 50% glycerol, pH7.4
Applicable Applications for anti-HS1BP3 antibody
IF (Immunofluorescence), IHC (Immunohistochemistry), WB (Western Blot)
Immunogen
Recombinant fusion protein of human HS1BP3 (NP_071905.3).
Conjugation
Unconjugated
Preparation and Storage
Store at -20 degree C. Avoid freeze/thaw cycles.
Related Product Information for anti-HS1BP3 antibody
The protein encoded by this gene shares similarity with mouse Hs1bp3, an Hcls1/Hs1-interacting protein that may be involved in lymphocyte activation.
Product Categories/Family for anti-HS1BP3 antibody
NCBI and Uniprot Product Information
NCBI GI #
NCBI GeneID
NCBI Accession #
NCBI GenBank Nucleotide #
Molecular Weight
42,780 Da
NCBI Official Full Name
HCLS1-binding protein 3
NCBI Official Synonym Full Names
HCLS1 binding protein 3
NCBI Official Symbol
HS1BP3
NCBI Official Synonym Symbols
ETM2; HS1-BP3; FLJ14249
NCBI Protein Information
HCLS1-binding protein 3; HSP1BP-3; OTTHUMP00000151187; HS1-binding protein 3
UniProt Protein Name
HCLS1-binding protein 3
UniProt Gene Name
HS1BP3
UniProt Entry Name
H1BP3_HUMAN
Customer Reviews
Loading reviews...
Share Your Experience
Similar Products
Product Notes
The HS1BP3 hs1bp3 (Catalog #AAA311638) is an Antibody produced from Rabbit and is intended for research purposes only. The product is available for immediate purchase. The HS1BP3 Polyclonal Antibody reacts with Human, Mouse, Rat and may cross-react with other species as described in the data sheet. AAA Biotech's HS1BP3 can be used in a range of immunoassay formats including, but not limited to, IF (Immunofluorescence), IHC (Immunohistochemistry), WB (Western Blot). Researchers should empirically determine the suitability of the HS1BP3 hs1bp3 for an application not listed in the data sheet. Researchers commonly develop new applications and it is an integral, important part of the investigative research process. It is sometimes possible for the material contained within the vial of "HS1BP3, Polyclonal Antibody" to become dispersed throughout the inside of the vial, particularly around the seal of said vial, during shipment and storage. We always suggest centrifuging these vials to consolidate all of the liquid away from the lid and to the bottom of the vial prior to opening. Please be advised that certain products may require dry ice for shipping and that, if this is the case, an additional dry ice fee may also be required.Precautions
All products in the AAA Biotech catalog are strictly for research-use only, and are absolutely not suitable for use in any sort of medical, therapeutic, prophylactic, in-vivo, or diagnostic capacity. By purchasing a product from AAA Biotech, you are explicitly certifying that said products will be properly tested and used in line with industry standard. AAA Biotech and its authorized distribution partners reserve the right to refuse to fulfill any order if we have any indication that a purchaser may be intending to use a product outside of our accepted criteria.Disclaimer
Though we do strive to guarantee the information represented in this datasheet, AAA Biotech cannot be held responsible for any oversights or imprecisions. AAA Biotech reserves the right to adjust any aspect of this datasheet at any time and without notice. It is the responsibility of the customer to inform AAA Biotech of any product performance issues observed or experienced within 30 days of receipt of said product. To see additional details on this or any of our other policies, please see our Terms & Conditions page.Item has been added to Shopping Cart
If you are ready to order, navigate to Shopping Cart and get ready to checkout.
