Hsc70 Polyclonal Antibody | anti-Hsc70 antibody
Anti-Hsc70 Antibody
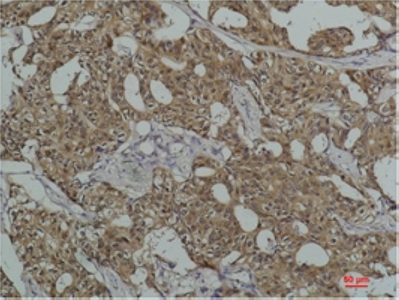
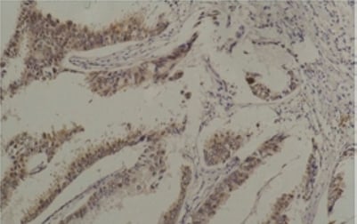
IHC (Immunohistochemistry)
(Anti- Hsc70 Picoband antibody, AAA46228,IHC(P)IHC(P): Human Mammary Cancer Tissue)
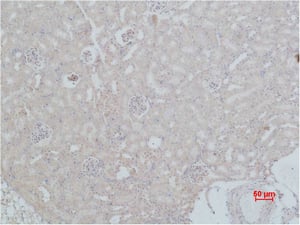
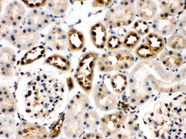
IHC (Immunohiostchemistry)
(Anti- Hsc70 Picoband antibody, AAA46228,IHC(P)IHC(P): Mouse Kidney Tissue)
WB (Western Blot)
(Anti- Hsc70 Picoband antibody, AAA46228, Western blottingAll lanes: Anti Hsc70 (AAA46228) at 0.5ug/mlLane 1: Rat Liver Tissue Lysate at 50ugLane 2: Rat Thymus Tissue Lysate at 50ugLane 3: Rat Testis Tissue Lysate at 50ugLane 4: Mouse Liver Tissue Lysate at 50ugLane 5: Mouse Thymus Tissue Lysate at 50ugLane 6: Mouse Testis Tissue Lysate at 50ugLane 7: HELA Whole Cell Lysate at 40ugLane 8: MCF-7 Whole Cell Lysate at 40ugLane 9: 293T Whole Cell Lysate at 40ugPredicted bind size: 71KDObserved bind size: 71KD)
Background: HSPA8 (heat shock 70kDa protein 8) also known as HSC70, HSC71, HSP73, HSPA10, FORMERLY, LAP1 or LPS-ASSOCIATED PROTEIN 1, is a heat shock protein that in humans is encoded by the HSPA8 gene. The HSPA8 gene contains 9 exons and spans 5 kb. The deduced HSPA8 protein has 646 amino acids and a predicted molecular mass of 70,899 Da. And the HSPA8 gene is mapped on 11q24.1. HSPA8 plays an important role in cells by transiently associating with nascent polypeptides to facilitate correct folding. HSP73 also functions as an ATPase in the disassembly of clathrin-coated vesicles during transport of membrane components through the cell. Rapid decay involves AU-rich binding protein AUF1, which complexes with heat-shock proteins HSC70 and HSP70, translation initiation factor EIF4G, and poly (A)-binding protein. In the absence of Il3, Hsc70 formed a complex with Hsp40 and Hip, and this complex, in association with Eif4g and Pabp, formed a high-stability complex with Bim mRNA that protected it from ribonucleases.
NCBI and Uniprot Product Information
Customer Reviews
Loading reviews...
Share Your Experience
Similar Products
Product Notes
The Hsc70 hspa8 (Catalog #AAA46228) is an Antibody and is intended for research purposes only. The product is available for immediate purchase. The Anti-Hsc70 Antibody reacts with Human, Mouse, Rat and may cross-react with other species as described in the data sheet. AAA Biotech's Hsc70 can be used in a range of immunoassay formats including, but not limited to, IHC (Immunohistochemistry), WB (Western Blot). Researchers should empirically determine the suitability of the Hsc70 hspa8 for an application not listed in the data sheet. Researchers commonly develop new applications and it is an integral, important part of the investigative research process. It is sometimes possible for the material contained within the vial of "Hsc70, Polyclonal Antibody" to become dispersed throughout the inside of the vial, particularly around the seal of said vial, during shipment and storage. We always suggest centrifuging these vials to consolidate all of the liquid away from the lid and to the bottom of the vial prior to opening. Please be advised that certain products may require dry ice for shipping and that, if this is the case, an additional dry ice fee may also be required.Precautions
All products in the AAA Biotech catalog are strictly for research-use only, and are absolutely not suitable for use in any sort of medical, therapeutic, prophylactic, in-vivo, or diagnostic capacity. By purchasing a product from AAA Biotech, you are explicitly certifying that said products will be properly tested and used in line with industry standard. AAA Biotech and its authorized distribution partners reserve the right to refuse to fulfill any order if we have any indication that a purchaser may be intending to use a product outside of our accepted criteria.Disclaimer
Though we do strive to guarantee the information represented in this datasheet, AAA Biotech cannot be held responsible for any oversights or imprecisions. AAA Biotech reserves the right to adjust any aspect of this datasheet at any time and without notice. It is the responsibility of the customer to inform AAA Biotech of any product performance issues observed or experienced within 30 days of receipt of said product. To see additional details on this or any of our other policies, please see our Terms & Conditions page.Item has been added to Shopping Cart
If you are ready to order, navigate to Shopping Cart and get ready to checkout.
