Rabbit HSD17B13 Polyclonal Antibody | anti-HSD17B13 antibody
HSD17B13 Polyclonal Antibody
Reactivity
Human, Mouse, Rat
Applications
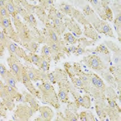
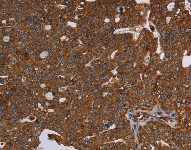
Immunohistochemistry, ELISA
Purity
Antigen affinity purification
Synonyms
HSD17B13, Antibody; HSD17B13 Polyclonal Antibody; SCDR9; NIIL497; SDR16C3; HMFN0376; anti-HSD17B13 antibody
Host
Rabbit
Reactivity
Human, Mouse, Rat
Clonality
Polyclonal
Isotype
IgG
Purity/Purification
Antigen affinity purification
Concentration
1.5mg/mL (varies by lot)
Sequence Length
300
Applicable Applications for anti-HSD17B13 antibody
IHC (Immunohistochemistry), ELISA
Immunogen
Recombinant protein of human HSD17B13
Buffer
PBS with 0.05% sodium azide, 50% glycerol, pH7.3
Preparation and Storage
Store at -20 degree C (regular) and -80 degree C (long term). Avoid freeze / thaw cycles.
Related Product Information for anti-HSD17B13 antibody
Hydroxysteroid (17-beta) dehydrogenase 13, also designated Short-chain dehydrogenase/reductase 9 (SCDR9), which regulate the availability of steroids within various tissues throughout the body. HSD17B13 is a 300 amino acid secreted protein that is highly expressed in liver and is also detected in ovary, bone marrow, kidney, brain, lung, skeletal muscle, bladder and testis. The gene encoding HSD17B13 maps to chromosome 4, which houses nearly 6% of the human genome and has the largest gene deserts (regions of the genome with no protein encoding genes) of all of the human chromosomes. Defects in some of the genes located on chromosome 4 are associated with Huntington's disease, Ellis-van Creveld syndrome, methylmalonic acidemia and polycystic kidney disease.
NCBI and Uniprot Product Information
NCBI GI #
NCBI Official Full Name
HSD17B13, partial
Customer Reviews
Loading reviews...
Share Your Experience
Similar Products
Product Notes
The HSD17B13 (Catalog #AAA166153) is an Antibody produced from Rabbit and is intended for research purposes only. The product is available for immediate purchase. The HSD17B13 Polyclonal Antibody reacts with Human, Mouse, Rat and may cross-react with other species as described in the data sheet. AAA Biotech's HSD17B13 can be used in a range of immunoassay formats including, but not limited to, IHC (Immunohistochemistry), ELISA. Researchers should empirically determine the suitability of the HSD17B13 for an application not listed in the data sheet. Researchers commonly develop new applications and it is an integral, important part of the investigative research process. It is sometimes possible for the material contained within the vial of "HSD17B13, Polyclonal Antibody" to become dispersed throughout the inside of the vial, particularly around the seal of said vial, during shipment and storage. We always suggest centrifuging these vials to consolidate all of the liquid away from the lid and to the bottom of the vial prior to opening. Please be advised that certain products may require dry ice for shipping and that, if this is the case, an additional dry ice fee may also be required.Precautions
All products in the AAA Biotech catalog are strictly for research-use only, and are absolutely not suitable for use in any sort of medical, therapeutic, prophylactic, in-vivo, or diagnostic capacity. By purchasing a product from AAA Biotech, you are explicitly certifying that said products will be properly tested and used in line with industry standard. AAA Biotech and its authorized distribution partners reserve the right to refuse to fulfill any order if we have any indication that a purchaser may be intending to use a product outside of our accepted criteria.Disclaimer
Though we do strive to guarantee the information represented in this datasheet, AAA Biotech cannot be held responsible for any oversights or imprecisions. AAA Biotech reserves the right to adjust any aspect of this datasheet at any time and without notice. It is the responsibility of the customer to inform AAA Biotech of any product performance issues observed or experienced within 30 days of receipt of said product. To see additional details on this or any of our other policies, please see our Terms & Conditions page.Item has been added to Shopping Cart
If you are ready to order, navigate to Shopping Cart and get ready to checkout.
