Rabbit HSD17B8 Polyclonal Antibody | anti-HSD17B8 antibody
HSD17B8 Rabbit Polyclonal Antibody
Gene Names
HSD17B8; KE6; FABG; HKE6; FABGL; RING2; H2-KE6; SDR30C1; D6S2245E; dJ1033B10.9
Reactivity
Human, Mouse, Rat
Applications
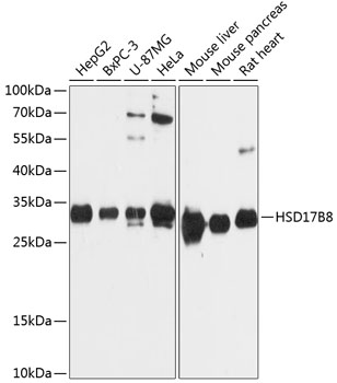
Immunofluorescence, Immunohistochemistry, Western Blot
Purity
Affinity purification
Synonyms
HSD17B8, Antibody; HSD17B8 Rabbit Polyclonal Antibody; HSD17B8; D6S2245E; FABG; FABGL; H2-KE6; HKE6; KE6; RING2; SDR30C1; dJ1033B10.9; anti-HSD17B8 antibody
Host
Rabbit
Reactivity
Human, Mouse, Rat
Clonality
Polyclonal
Isotype
IgG
Purity/Purification
Affinity purification
Form/Format
Buffer: PBS with 0.02% sodium azide, 50% glycerol, pH7.3.
Applicable Applications for anti-HSD17B8 antibody
IF (Immunofluorescence), IHC (Immunohistochemistry), WB (Western Blot)
Immunogen
Recombinant fusion protein of human HSD17B8 (NP_055049.1).
Preparation and Storage
Store at -20 degree C. Avoid freeze/thaw cycles.
Related Product Information for anti-HSD17B8 antibody
In mice, the Ke6 protein is a 17-beta-hydroxysteroid dehydrogenase that can regulate the concentration of biologically active estrogens and androgens. It is preferentially an oxidative enzyme and inactivates estradiol, testosterone, and dihydrotestosterone. However, the enzyme has some reductive activity and can synthesize estradiol from estrone. The protein encoded by this gene is similar to Ke6 and is a member of the short-chain dehydrogenase superfamily. An alternatively spliced transcript of this gene has been detected, but the full-length nature of this variant has not been determined.
Product Categories/Family for anti-HSD17B8 antibody
NCBI and Uniprot Product Information
NCBI GI #
NCBI GeneID
NCBI Accession #
NCBI GenBank Nucleotide #
Molecular Weight
26,974 Da
NCBI Official Full Name
estradiol 17-beta-dehydrogenase 8
NCBI Official Synonym Full Names
hydroxysteroid (17-beta) dehydrogenase 8
NCBI Official Symbol
HSD17B8
NCBI Official Synonym Symbols
KE6; FABG; HKE6; FABGL; RING2; H2-KE6; SDR30C1; D6S2245E; dJ1033B10.9
NCBI Protein Information
estradiol 17-beta-dehydrogenase 8; 17-beta-HSD 8; 17-beta-hydroxysteroid dehydrogenase 8; 3-oxoacyl-[acyl-carrier-protein] reductase; estrogen 17-oxidoreductase; ke-6; protein Ke6; really interesting new gene 2 protein; short chain dehydrogenase/reductase
UniProt Protein Name
Estradiol 17-beta-dehydrogenase 8
UniProt Gene Name
HSD17B8
UniProt Synonym Gene Names
FABGL; HKE6; RING2; 17-beta-HSD 8; Ke-6
UniProt Entry Name
DHB8_HUMAN
Customer Reviews
Loading reviews...
Share Your Experience
Similar Products
Product Notes
The HSD17B8 hsd17b8 (Catalog #AAA313360) is an Antibody produced from Rabbit and is intended for research purposes only. The product is available for immediate purchase. The HSD17B8 Rabbit Polyclonal Antibody reacts with Human, Mouse, Rat and may cross-react with other species as described in the data sheet. AAA Biotech's HSD17B8 can be used in a range of immunoassay formats including, but not limited to, IF (Immunofluorescence), IHC (Immunohistochemistry), WB (Western Blot). Researchers should empirically determine the suitability of the HSD17B8 hsd17b8 for an application not listed in the data sheet. Researchers commonly develop new applications and it is an integral, important part of the investigative research process. It is sometimes possible for the material contained within the vial of "HSD17B8, Polyclonal Antibody" to become dispersed throughout the inside of the vial, particularly around the seal of said vial, during shipment and storage. We always suggest centrifuging these vials to consolidate all of the liquid away from the lid and to the bottom of the vial prior to opening. Please be advised that certain products may require dry ice for shipping and that, if this is the case, an additional dry ice fee may also be required.Precautions
All products in the AAA Biotech catalog are strictly for research-use only, and are absolutely not suitable for use in any sort of medical, therapeutic, prophylactic, in-vivo, or diagnostic capacity. By purchasing a product from AAA Biotech, you are explicitly certifying that said products will be properly tested and used in line with industry standard. AAA Biotech and its authorized distribution partners reserve the right to refuse to fulfill any order if we have any indication that a purchaser may be intending to use a product outside of our accepted criteria.Disclaimer
Though we do strive to guarantee the information represented in this datasheet, AAA Biotech cannot be held responsible for any oversights or imprecisions. AAA Biotech reserves the right to adjust any aspect of this datasheet at any time and without notice. It is the responsibility of the customer to inform AAA Biotech of any product performance issues observed or experienced within 30 days of receipt of said product. To see additional details on this or any of our other policies, please see our Terms & Conditions page.Item has been added to Shopping Cart
If you are ready to order, navigate to Shopping Cart and get ready to checkout.
