Rabbit HSP90A Polyclonal Antibody | anti-HSP90A antibody
HSP90A Antibody
Phosphate buffered saline, pH 7.4, 150mM NaCl, 0.02% sodium azide and 50% glycerol.
IF (Immunofluorescence)
(AAA322019 staining NIH-3T3 by IF/ICC. The sample were fixed with PFA and permeabilized in 0.1% Triton X-100, then blocked in 10% serum for 45 minutes at 25 degree C. The primary antibody was diluted at 1/200 and incubated with the sample for 1 hour at 37 degree C. An Alexa Fluor 594 conjugated goat anti-rabbit IgG (H+L) Ab, diluted at 1/600, was used as the secondary antibody.)
IF (Immunofluorescence)
(AAA322019 staining HeLa cells by IF/ICC. The sample were fixed with PFA and permeabilized in 0.1% Triton X-100, then blocked in 10% serum for 45 minutes at 25 degree C. The primary antibody was diluted at 1/200 and incubated with the sample for 1 hour at 37 degree C. An Alexa Fluor 594 conjugated goat anti-rabbit IgG (H+L) antibody, diluted at 1/600, was used as secondary antibody.)
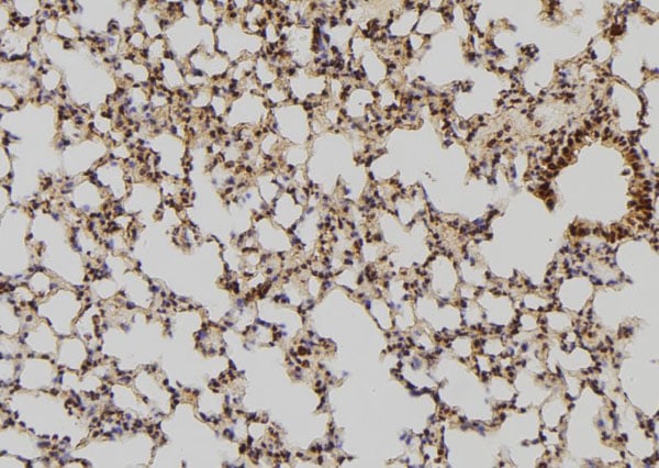
IHC (Immunohistochemistry)
(AAA322019 at 1/100 staining Mouse lung tissue by IHC-P. The sample was formaldehyde fixed and a heat mediated antigen retrieval step in citrate buffer was performed. The sample was then blocked and incubated with the antibody for 1.5 hours at 22 degree C. An HRP conjugated goat anti-rabbit antibody was used as the secondary.)
Subunit Structure: Homodimer (PubMed:7588731, PubMed:8289821, PubMed:18400751, PubMed:29127155). Identified in NR3C1/GCR steroid receptor-chaperone complexes formed at least by NR3C1, HSP90AA1 and a variety of proteins containing TPR repeats such as FKBP4, FKBP5, PPID, PPP5C or STIP1 (PubMed:15383005, PubMed:9195923). Forms a complex containing HSP90AA1, TSC1 and TSC2; TSC1 is required to recruit TCS2 to the complex (PubMed:29127155). The closed form interacts (via the middle domain and TPR repeat-binding motif) with co-chaperone TSC1 (via C-terminus) (PubMed:29127155). Interacts with TOM34 (PubMed:9660753). Interacts with TERT; the interaction, together with PTGES3, is required for correct assembly and stabilization of the TERT holoenzyme complex (PubMed:11274138, PubMed:9817749). Interacts with CHORDC1 and DNAJC7 (PubMed:12853476, PubMed:19875381). Interacts with STUB1 and UBE2N; may couple the chaperone and ubiquitination systems (PubMed:16307917, PubMed:27353360). Interacts (via TPR repeat-binding motif) with PPP5C (via TPR repeats); the interaction is direct and activates PPP5C phosphatase activity (PubMed:15383005, PubMed:15577939, PubMed:16531226, PubMed:27353360). Following LPS binding, may form a complex with CXCR4, GDF5 and HSPA8 (PubMed:11276205). Interacts with KSR1 (PubMed:10409742). Interacts with co-chaperone CDC37 (via C-terminus); the interaction inhibits HSP90AA1 ATPase activity (PubMed:23569206, PubMed:27353360). May interact with NWD1 (PubMed:24681825). Interacts with FNIP1 and FNIP2; the interaction inhibits HSP90AA1 ATPase activity (PubMed:17028174, PubMed:27353360). Interacts with co-chaperone AHSA1 (phosphorylated on 'Tyr-223'); the interaction activates HSP90AA1 ATPase activity and results in the dissociation of TSC1 from HSP90AA1 (PubMed:12604615, PubMed:27353360, PubMed:29127155). Interacts with FLCN in the presence of FNIP1 (PubMed:27353360). Interacts with HSP70, STIP1 and PTGES3 (PubMed:27353360). Interacts with SMYD3; this interaction enhances SMYD3 histone-lysine N-methyltransferase (PubMed:15235609, PubMed:25738358). Interacts with SGTA (via TPR repeats) (PubMed:15708368). Interacts with TTC1 (via TPR repeats) (PubMed:15708368). Interacts with HSF1 in an ATP-dependent manner (PubMed:11583998. PubMed:26517842). Interacts with MET; the interaction suppresses MET kinase activity (PubMed:26517842). Interacts with ERBB2 in an ATP-dependent manner; the interaction suppresses ERBB2 kinase activity (PubMed:26517842). Interacts with HIF1A, KEAP1 and RHOBTB2 (PubMed:26517842). Interacts with HSF1; this interaction is decreased in a IER5-dependent manner, promoting HSF1 accumulation in the nucleus, homotrimerization and DNA-binding activities (PubMed:26754925). Interacts with STUB1 and SMAD3 (PubMed:24613385). Interacts with HSP90AB1; interaction is constitutive (PubMed:20353823). Interacts with HECTD1 (via N-terminus) (By similarity).
Post-translational Modifications: ISGylated. S-nitrosylated; negatively regulates the ATPase activity and the activation of eNOS by HSP90AA1. Ubiquitinated via 'Lys-63'-linked polyubiquitination by HECTD1. Ubiquitination promotes translocation into the cytoplasm away from the membrane and secretory pathways.
Similarity: The TPR repeat-binding motif mediates interaction with TPR repeat-containing proteins like the co-chaperone STUB1. Belongs to the heat shock protein 90 family.
NCBI and Uniprot Product Information
Predicted: 85 kDa
Customer Reviews
Loading reviews...
Share Your Experience
Similar Products
Product Notes
The HSP90A hsp90aa1 (Catalog #AAA322019) is an Antibody produced from Rabbit and is intended for research purposes only. The product is available for immediate purchase. The HSP90A Antibody reacts with Human, Mouse, Rat and may cross-react with other species as described in the data sheet. AAA Biotech's HSP90A can be used in a range of immunoassay formats including, but not limited to, ELISA, ICC (Immunocytochemistry), IF (Immunofluorescence), IHC (Immunohistochemistry), WB (Western Blot). Researchers should empirically determine the suitability of the HSP90A hsp90aa1 for an application not listed in the data sheet. Researchers commonly develop new applications and it is an integral, important part of the investigative research process. It is sometimes possible for the material contained within the vial of "HSP90A, Polyclonal Antibody" to become dispersed throughout the inside of the vial, particularly around the seal of said vial, during shipment and storage. We always suggest centrifuging these vials to consolidate all of the liquid away from the lid and to the bottom of the vial prior to opening. Please be advised that certain products may require dry ice for shipping and that, if this is the case, an additional dry ice fee may also be required.Precautions
All products in the AAA Biotech catalog are strictly for research-use only, and are absolutely not suitable for use in any sort of medical, therapeutic, prophylactic, in-vivo, or diagnostic capacity. By purchasing a product from AAA Biotech, you are explicitly certifying that said products will be properly tested and used in line with industry standard. AAA Biotech and its authorized distribution partners reserve the right to refuse to fulfill any order if we have any indication that a purchaser may be intending to use a product outside of our accepted criteria.Disclaimer
Though we do strive to guarantee the information represented in this datasheet, AAA Biotech cannot be held responsible for any oversights or imprecisions. AAA Biotech reserves the right to adjust any aspect of this datasheet at any time and without notice. It is the responsibility of the customer to inform AAA Biotech of any product performance issues observed or experienced within 30 days of receipt of said product. To see additional details on this or any of our other policies, please see our Terms & Conditions page.Item has been added to Shopping Cart
If you are ready to order, navigate to Shopping Cart and get ready to checkout.
