Rabbit HSP90B1 Polyclonal Antibody | anti-HSP90B1 antibody
HSP90B1 Antibody (Center)
FCM/FACS (Flow Cytometry)
(HSP90B1 Antibody (Center) flow cytometric analysis of A549 cells (right histogram) compared to a negative control cell (left histogram).FITC-conjugated goat-anti-rabbit secondary antibodies were used for the analysis.)
IHC (Immunohiostchemistry)
(HSP90B1 Antibody (Center) immunohistochemistry analysis in formalin fixed and paraffin embedded human stomach tissue followed by peroxidase conjugation of the secondary antibody and DAB staining.This data demonstrates the use of HSP90B1 Antibody (Center) for immunohistochemistry. Clinical relevance has not been evaluated.)
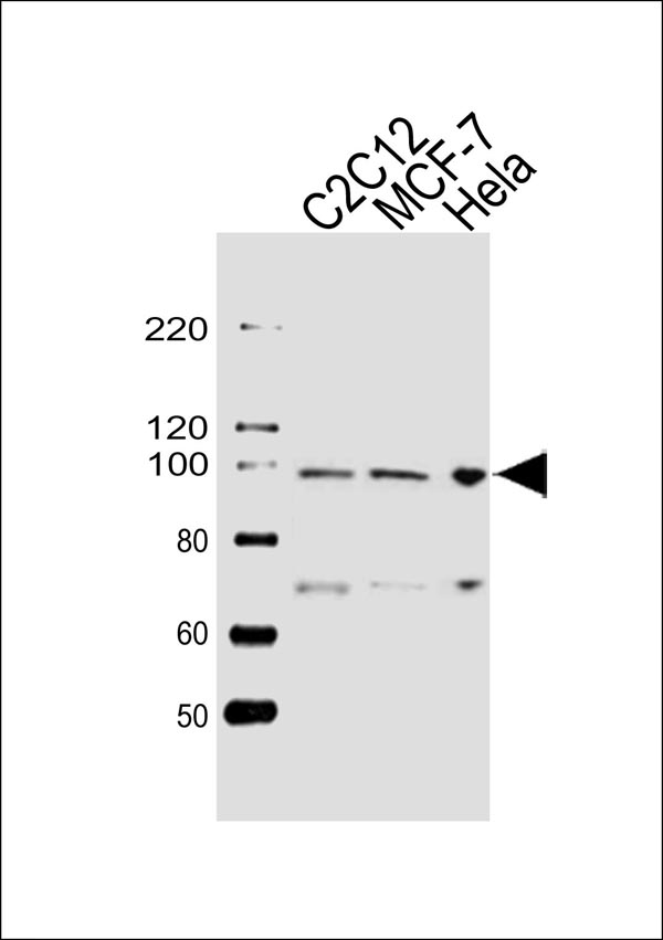
WB (Western Blot)
(Western blot analysis of lysates from C2C12, MCF-7, Hela cell line (from left to right), using HSP90B1 Antibody (Center). AAA286912 was diluted at 1:1000 at each lane. A goat anti-rabbit IgG H&L(HRP) at 1:10000 dilution was used as the secondary antibody. Lysates at 20ug per lane.)
that have key roles in signal transduction, protein folding,
protein degradation, and morphologic evolution. HSP90 proteins
normally associate with other cochaperones and play important roles
in folding newly synthesized proteins or stabilizing and refolding
denatured proteins after stress. HSP90B1 is an endoplasmic
reticulum HSP90 protein. Other HSP90 proteins are found in cytosol
(see HSP90AA1; MIM 140571) and mitochondria (TRAP1; MIM 606219)
(Chen et al., 2005 [PubMed 16269234]).
Suzuki, S., et al. Biochem. Biophys. Res. Commun. 398(3):525-531(2010)
Bloor, S., et al. Proc. Natl. Acad. Sci. U.S.A. 107(15):6970-6975(2010)
Davila, S., et al. Genes Immun. 11(3):232-238(2010)
Wang, X., et al. Clin. Dev. Immunol. 2010, 212537 (2010) :
NCBI and Uniprot Product Information
Customer Reviews
Loading reviews...
Share Your Experience
Similar Products
Product Notes
The HSP90B1 hsp90b1 (Catalog #AAA286912) is an Antibody produced from Rabbit and is intended for research purposes only. The product is available for immediate purchase. The immunogen sequence is 460-487. The HSP90B1 Antibody (Center) reacts with Human (Predicted Reactivity: Monkey) and may cross-react with other species as described in the data sheet. AAA Biotech's HSP90B1 can be used in a range of immunoassay formats including, but not limited to, WB (Western Blot), FCM/FACS (Flow Cytometry), IHC (Immunohistochemistry), ELISA. Researchers should empirically determine the suitability of the HSP90B1 hsp90b1 for an application not listed in the data sheet. Researchers commonly develop new applications and it is an integral, important part of the investigative research process. It is sometimes possible for the material contained within the vial of "HSP90B1, Polyclonal Antibody" to become dispersed throughout the inside of the vial, particularly around the seal of said vial, during shipment and storage. We always suggest centrifuging these vials to consolidate all of the liquid away from the lid and to the bottom of the vial prior to opening. Please be advised that certain products may require dry ice for shipping and that, if this is the case, an additional dry ice fee may also be required.Precautions
All products in the AAA Biotech catalog are strictly for research-use only, and are absolutely not suitable for use in any sort of medical, therapeutic, prophylactic, in-vivo, or diagnostic capacity. By purchasing a product from AAA Biotech, you are explicitly certifying that said products will be properly tested and used in line with industry standard. AAA Biotech and its authorized distribution partners reserve the right to refuse to fulfill any order if we have any indication that a purchaser may be intending to use a product outside of our accepted criteria.Disclaimer
Though we do strive to guarantee the information represented in this datasheet, AAA Biotech cannot be held responsible for any oversights or imprecisions. AAA Biotech reserves the right to adjust any aspect of this datasheet at any time and without notice. It is the responsibility of the customer to inform AAA Biotech of any product performance issues observed or experienced within 30 days of receipt of said product. To see additional details on this or any of our other policies, please see our Terms & Conditions page.Item has been added to Shopping Cart
If you are ready to order, navigate to Shopping Cart and get ready to checkout.
